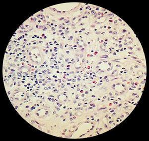
A 74-year-old man from Huanuco, Peru, was seen in the dermatology department of Hospital Nacional Hipólito Unanue for a solitary angiomatous mass that had arisen 20 years earlier in the left gluteal region. The tumor measured 21×13×1cm and bled on contact (Fig. 1). It was not painful or pruritic. The differential diagnosis included Kimura disease, bacillary angiomatosis, angioma, epithelioid hemangioendothelioma, and Kaposi sarcoma. Histology of a biopsy of the tumor showed a lesion of benign characteristics, with intense vascular proliferation with prominent endothelial cells that projected into the lumina of the blood vessels. A chronic interstitial infiltrate with a predominance of lymphocytes and eosinophils was also observed (Fig. 2). Based on these findings we made a diagnosis of angiolymphoid hyperplasia with eosinophilia. As recurrence of this disease is typically around 30%, whatever the treatment, and as it is a benign disease, conservative treatment was recommended.
Please cite this article as: Nakandakari MD, de la Rosa DN, Arias J. Hiperplasia angiolinfoide con eosinofilia. Actas Dermosifiliogr. 2017;108:586.




