La urticaria neutrofílica (UN), descrita por Winkelmann en 1985, es una entidad que no está aún completamente definida y de una relevancia clínica desconocida. No obstante, ha sido considerada en la literatura reciente como marcador de enfermedad reumatológica. El objetivo principal de nuestro estudio es comparar la proporción de enfermedad reumatológica en urticarias con infiltrado predominantemente neutrofílico (UN) respecto a la encontrada en urticarias con infiltrado predominantemente no neutrofílico o convencionales.
Material y métodosDe manera retrospectiva hemos revisado todas las urticarias biopsiadas en nuestro centro entre el 1 de enero de 1999 y el 28 de junio de 2009. Las hemos englobado en varios patrones morfológicos histopatológicos definidos. En los 84 pacientes incluidos hemos comparado las características clínicas e histológicas de las UN con las de las urticarias con infiltrados predominantemente no neutrofílicos o convencionales.
ResultadosDe nuestros 84 pacientes un 57,1% padecían UN. No hemos encontrado diferencias significativas en cuanto a la proporción de enfermedad reumatológica en las UN respecto a las convencionales. Sí hemos encontrado diferencias estadísticamente significativas respecto a la proporción de urticarias agudas con histopatología de UN en relación con aquellas con histopatología convencional, así como un mayor recuento de leucocitos en la UN.
ConclusionesEn nuestra serie la proporción de UN encontradas (57,1%) es mayor que la descrita en la literatura, dato que puede deberse a nuestra tendencia a biopsiar lesiones recientes. Como conclusión de nuestro estudio cabe resaltar que la presencia de neutrófilos en las biopsias de urticaria es un hecho frecuente que no parece asociarse a otras comorbilidades.
Neutrophilic urticaria, described by Winkelmann in 1985, has yet to be completely defined and its clinical significance is poorly understood. Nevertheless, recent publications suggest that it could be a marker for rheumatic disease. The primary objective of this study was to compare the prevalence of rheumatic disease in 2 groups of patients with urticaria: those with conventional urticaria (non-neutrophilic inflammatory infiltrate) and those with neutrophilic urticaria.
Material and methodsWe retrospectively reviewed all biopsy samples taken from urticarial lesions in our hospital between January 1, 1999 and June 28, 2009. Urticaria was classified according to predefined morphologic and histopathologic patterns. We compared the clinical and histologic characteristics of neutrophilic urticaria with those of conventional urticarias in the 84 patients included.
ResultsOf the 84 patients, 57.1% had neutrophilic urticaria. We did not find significant differences between the percentages of patients with rheumatic disease between the neutrophilic and nonneutrophilic urticaria groups. In patients with acute urticaria, we found a significantly higher proportion of samples with histopathologic signs of neutrophilic urticaria as opposed to conventional histopathology. Patients with neutrophilic urticaria also had higher white blood cell counts.
ConclusionsThe percentage of samples with neutrophilic urticaria in this series (57.1%) is higher than the percentages reported in the literature, possibly because we tended to biopsy recent lesions. We highlight that the presence of neutrophils in the biopsies of urticaria is a common finding and does not appear to be associated with other diseases.
La urticaria y el angioedema afectan al menos al 20% de la población en algún momento de sus vidas1 y pueden clasificarse en función de sus características clínicas, de sus factores desencadenantes o de su asociación a diversas enfermedades2–4.
La lesión clínicamente característica de la urticaria es el habón, una placa edematosa, de coloración entre rosada y rojiza, con centro pálido, evanescente y con tamaño variable, que puede confluir dando lugar a morfologías redondeadas o arciformes2.
Las descripciones histopatológicas clásicas de la urticaria incluyen la presencia de edema dérmico, vasodilatación y de un infiltrado perivascular de células mononucleares, principalmente linfocitario, junto con neutrófilos y eosinófilos, en número variable, dispuestos preferentemente entre los haces de colágeno de la dermis3,5. Sin embargo, debido al pequeño número de pacientes estudiados histopatológicamente, a la dificultad para establecer la duración de las lesiones biopsiadas y, tal vez, a otros factores de confusión, las descripciones realizadas son muy variables6.
Los primeros autores en describir la presencia de neutrófilos en las biopsias de urticaria fueron Montgomery et al. en su libro Dermatopathology, en el año 1967, y posteriormente Jones et al. en un artículo publicado en el British Journal of Dermatology en 19837,8. Ya en 1985 Peters y Winkelmann consideraron la existencia de una entidad diferente, a la que denominaron urticaria neutrofílica (UN), caracterizada clínicamente por habones en los que el estudio histopatológico mostraba neutrófilos dentro y en la pared de las vénulas dérmicas en ausencia de leucocitoclasia, hemorragia y necrosis fibrinoide9. En un estudio retrospectivo posterior Winkelmann et al. observaron un infiltrado neutrofílico dérmico difuso en 23 casos (8,7%) o la presencia de neutrófilos tapizando o invadiendo la pared de las vénulas en otros 19 casos (7,1%), con lo que hasta en un 15,8% de sus 265 casos de urticaria crónica se observaban infiltrados predominantemente neutrofílicos, ampliándose así el concepto histopatológico de UN8.
En estudios posteriores sobre histopatología de la urticaria el número de neutrófilos parece estar aumentado en la dermis de la urticaria aguda respecto a otros tipos de urticaria y en la dermis reticular de los pacientes afectos por urticaria por presión6. Además, parece existir una relación directa entre el número de neutrófilos y el de eosinófilos6.
En cuanto a las características clínicas o a las comorbilidades de los pacientes con UN, en 8 de los pacientes inicialmente descritos por Winkelmann se estudiaron, sin encontrar datos concluyentes respecto a la existencia de alteraciones en el hemograma, en el proteinograma o en cuanto a la presencia de signos de autoinmunidad5. En artículos posteriores se menciona que las urticarias con infiltrado predominantemente neutrofílico o UN podrían caracterizarse por brotes de menor duración y por un aumento de los reactantes de fase aguda, en cuya patogenia parecen implicados la interleucina 3 (IL-3) y el factor de necrosis tumoral alfa (FNT-α)10, aunque existen pocos estudios centrados en sus características diferenciales respecto a las urticarias con infiltrado predominantemente no neutrofílico.
Más recientemente, en 2009, Kieffer et al. definieron un subgrupo de urticarias neutrofílicas caracterizadas por presentar lesiones de hasta 48 horas de evolución, no edematosas, en el que la distribución del infiltrado y la presencia de escaso edema lo hacía, según dichos autores, más similar a una dermatosis neutrofílica aguda11. Este subgrupo, que denominaron dermatosis neutrofílica urticarial y del que recopilaron 9 casos, presentaba infiltrados neutrofílicos intersticiales en hileras o aislados sin daño vascular, y estaría especialmente asociado a enfermedad reumatológica11.
El principal diagnóstico diferencial histopatológico de la UN es la urticaria vasculitis (UV). En teoría la UN se distinguiría de la UV por la presencia en esta última de daño vascular, determinado por áreas de necrosis fibrinoide en las vénulas poscapilares1. No obstante, en la mayoría de publicaciones sobre UV no se usan criterios diagnósticos rigurosos, y así en las series publicadas de UV se observa fibrina solo en el 9,9% de los casos12, y muchos casos presentan un infiltrado predominantemente neutrofílico con alteraciones vasculares sutiles o inexistentes1. Así, algunos casos publicados como UV hipocomplementémica mostraban hallazgos clínicos e histopatológicos de las lesiones de urticaria totalmente superponibles a los descritos como UN13 e incluso, en un estudio prospectivo de lesiones clínicamente sugestivas de UV, se observó que no existía vasculitis en la mayoría de los casos y que las lesiones que estaban histopatológicamente caracterizadas por un predominio de polimorfonucleares estaban más asociadas con la presencia de fibrina, leucocitoclasia, hipocomplementemia o anemia12. Este problema de solapamiento entre ambas entidades ya fue señalado por Winkelmann en su descripción inicial de la UN, cuando comentó que su histopatología peculiar podía sugerir una vasculitis subyacente5, aunque esta hipótesis no ha sido explorada posteriormente. Para complicar aún más el panorama no se conoce la incidencia real de vasculitis leucocitoclásica ni su significado pronóstico en otros tipos de urticaria en los que ha sido descrita, como por ejemplo en la urticaria solar14,15 o en la urticaria a frigore16–18.
Por tanto, la urticaria con infiltrado inflamatorio predominantemente neutrofílico o UN es una entidad clinicopatológica que se solapa parcialmente con la UV, y sobre la que existen numerosas incógnitas, entre ellas su incidencia real y su asociación o no a una mayor incidencia de enfermedades sistémicas, especialmente reumatológicas.
El objetivo principal del presente trabajo ha sido comparar la presencia de enfermedades reumatológicas asociadas a los casos de urticaria englobados bajo el término urticaria neutrofílica (entendida como urticaria con infiltrado inflamatorio predominantemente neutrofílico) respecto a la urticaria con infiltrado sin predominio neutrofílico o linfocítica.
Nuestros objetivos secundarios han sido analizar los datos epidemiológicos e histopatológicos de la UN y compararlos con los del resto de urticarias no englobadas en dicha clasificación, así como con los hallazgos previamente descritos en la literatura.
Material y métodosEl diseño del estudio es retrospectivo y descriptivo, localizando los casos de urticaria biopsiados a través de la base de datos del Servicio de Anatomía Patológica de nuestro centro durante el período comprendido entre el 1 de enero de 1999 y el 28 de junio de 2009.
Los criterios de inclusión y exclusión considerados se hallan referidos en la tabla 1.
Criterios de inclusión y exclusión usados en el estudio
| Criterios de inclusión | Criterios de exclusión |
| Casos de UN: pacientes con hallazgos histopatológicos diagnósticos de urticaria en los que se observa un predominio de neutrófilos en el infiltrado.Casos de urticaria con infiltrado sinpredominio neutrofílico:pacientes con hallazgoshistopatológicos sugestivos deurticaria en los que la célulapredominante en el infiltradono es el neutrófilo | Pacientes en los que la historia o las preparaciones histopatológicas no estaban disponibles para la realización del estudioPacientes embarazadas o en período de lactancia en el momento de realización de la biopsiaPacientes en los que el estudio histopatológico condujo a un diagnóstico distinto al de urticaria. Se descartaron específicamente casos de penfigoide ampolloso, urticaria papular y dermatosis neutrofílicas, por sus criterios diagnósticos y clínico-evolutivos aceptados. También se descartaron los casos con clara vasculitis leucocitoclásica con necrosis fibrinoide |
UN: urticaria con infiltrado inflamatorio de predominio neutrofílico.
Se han analizado 84 pacientes en los que tanto el acceso a los datos clínicos como histopatológicos pudo ser completo, y en los que se descartó con seguridad que no correspondían a otras entidades.
Análisis histopatológicoLas muestras se fijaron en formaldehído tamponado al 10% durante al menos 24 horas y se procesaron rutinariamente con secciones de 5 micrómetros de grosor teñidas con hematoxilina-eosina. Cada muestra fue examinada a distintos aumentos (hasta x400) y evaluada por dos especialistas, un patólogo y un dermatólogo (JFF y MLV) de manera independiente. Las discrepancias existentes entre ambos se resolvieron con la colaboración de un tercer especialista (un dermatólogo, JSP). En cada caso se analizaron una serie de aspectos que se encuentran reflejados en la tabla 2.
Aspectos histopatológicos analizados
| Variable histopatológica | Modo de codificación |
| Grado de edemaIntensidad del infiltrado inflamatorioLeucocitoclasia | Leve, leve-moderado, moderado, moderado-intenso, muy intenso |
| Distribución predominante del infiltrado | Perivascular superficial, perivascular superficial y profundo, intersticial |
| Hallazgos vasculares | Ninguno, vasodilatación, infiltración de la pared vascular sin desestructuración de la misma, infiltración de la pared vascular con desestructuración de la misma |
| Dermatitis de la interfase | Ausente o presente |
Según los hallazgos histopatológicos la biopsia más representativa de cada paciente se incluyó dentro de uno de los siguientes grupos:
- 1)
Urticaria con infiltrado predominantemente no neutrofílico, llamado de ahora en adelante también caso control.
- 2)
Urticaria con infiltrado inflamatorio predominantemente neutrofílico, que incluye varios subapartados: a) neutrofilia dérmica difusa; b) venulitis neutrofílica; c) mixto (neutrofilia dérmica difusa más venulitis neutrofílica); y d) neutrofilia predominantemente intravascular.
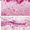
Las definiciones utilizadas en las categorías antes citadas aparecen especificadas en la tabla 3. En las figuras 1-4 se ilustran ejemplos prototipo de cada una de ellas.
Definiciones histopatológicas de los diferentes tipos de urticaria usadas en este estudio
| Nombre del grupo | Definición histológica |
| Urticaria con infiltrado sin predominio neutrofílico | Existencia de edema e infiltrado inflamatorio de intensidad variable, formado mayoritariamente por linfocitos y/o leucocitos polimorfonucleares eosinófilos en diversas proporciones |
| Urticaria neutrofílica (4 subgrupos) | |
| Neutrofilia dérmica difusa o intersticial | Presencia de un número significativo de neutrófilosa en el intersticio |
| Venulitis neutrofílica | Existencia de neutrófilos de localización en la pared de los vasos independientemente de la desestructuración o no de la misma |
| Mixto | Presencia en un mismo corte de características de venulitis neutrofílica y de neutrofilia dérmica difusa |
| Neutrofilia predominantemente intravascular | Existencia de una proporción significativa (>40%) de vasos caracterizados por vasodilatación y presencia mayoritaria >70% de neutrófilos en su luz o por la existencia de uno o más vasos de calibre moderado (a partir de vénula o arteriola) con luz completamente ocupada por neutrófilos |
De las historias clínicas de todos los pacientes se recogieron: edad, género, antecedentes personales, historia presente o pasada de tabaquismo, ingesta crónica de fármacos, fecha de la primera visita, tiempo de evolución de la enfermedad, frecuencia de los brotes, localización de los mismos, tipo de lesión (lesión elemental, duración de la misma, presencia o no de lesión residual tras su resolución y sintomatología), sintomatología sistémica asociada, valor de hemoglobina, recuento de leucocitos con fórmula, glucemia, transaminasas, velocidad de sedimentación globular (VSG), presencia de autoanticuerpos, alteraciones del complemento, parásitos en heces y niveles séricos de IgE. Pueden verse ejemplos de las lesiones de los pacientes incluidos en la figura 5.
Los datos obtenidos fueron analizados usando el paquete estadístico SPSS, en su decimoctava versión. El análisis de significación estadística se realizó con G-Stat, versión 2.0.
ResultadosPacientes estudiadosDe los 84 pacientes estudiados un 58,3% eran mujeres. La edad media en el momento de la biopsia fue de 46,49 años (rango: 12-79 años).
La mediana de duración de los brotes de urticaria previa a la realización de la biopsia fue de 45 días. Un 42,9% de urticarias biopsiadas eran agudas, es decir, de menos de 6 semanas de evolución en el momento de la biopsia. Dos pacientes tenían urticaria física desencadenada por frío. La mayoría de las lesiones biopsiadas fueron habones (64,9%) y placas (22,1%), con distribución generalizada (34,7%). Un 55,7% de los pacientes refería que las lesiones duraban más de 24 horas, aunque solo en un 14,3% dejaban lesión residual. La histopatología de los pacientes con lesiones de más de 24 horas de duración (n=39) mostró un 56,4% de casos con infiltrado predominantemente no neutrofílico. En los 17 casos restantes (43,5%) con infiltrado predominantemente neutrofílico, la inflamación era sobre todo perivascular en 10 casos (marcada neutrofilia intravascular en 7, venulitis neutrofílica en 2 y mixta en uno). La sintomatología más frecuente era prurito (80%), seguido por dolor (5,3%) o coexistencia de ambos síntomas (5,3%).
Un 51,2% de pacientes presentaron síntomas generales asociados al brote. El 81% de los 84 pacientes incluidos no presentaba enfermedades reumatológicas y entre los restantes se observaron: enfermedad de Still del adulto (n=3), lupus eritematoso (n=3; 2 lupus eritematoso sistémico y un lupus crónico discoide), artritis reumatoide (n=2), fibromialgia (n=2), artralgias migratorias sin filiar (n=2) y síndrome de superposición, polimialgia reumática, síndrome de Sjögren, artropatía seronegativa y PAN microscópica (un caso cada uno). Un paciente estaba diagnosticado simultáneamente de lupus eritematoso sistémico y de artritis reumatoide.
Analíticamente el 23,2% de los pacientes presentaba aumento ligero de los reactantes de fase aguda y solo uno (1,2%) tenía hipergammaglobulinemia monoclonal asociada al cuadro urticarial.
Comparación de ambos grupos: urticaria neutrofílica respecto a urticarias con infiltrado sin predominio neutrofílicoLa distribución por edades y sexos de los grupos UN y urticaria con infiltrado sin predominio neutrofílico fue similar, por lo que pueden considerarse comparables. Respecto al objetivo primario del estudio no hemos encontrado diferencias significativas en el porcentaje de enfermedad reumatológica asociada a UN respecto a urticaria con infiltrado sin predominio neutrofílico, ni en el análisis global, ni al analizar por subgrupos histopatológicos (Chi cuadrado de Pearson; p=0,585) (tabla 4).
Tabla de contingencia de presencia o ausencia de enfermedad reumatológica en los diferentes subgrupos histológicos
| p=0,585 | Urticaria con infiltrado sin predominio neutrofílico | Neutrofilia dérmica intersticial | Venulitis neutrofílica | Mixto | Neutrofilia predominantemente intravascular |
| No ER | 28 | 12 | 10 | 5 | 13 |
| Sí ER | 8 | 3 | 0 | 2 | 3 |
ER: enfermedad reumatológica.
El test de Chi cuadrado no mostró diferencias estadísticamente significativas entre los grupos.
Entre los datos clínicos comparados destaca la mayor frecuencia de histopatología diagnóstica de UN en las biopsias de urticarias agudas, mientras que no hubo diferencias entre las UN y las urticarias con infiltrado sin predominio neutrofílico respecto a la duración habitual de las lesiones (mayor o menor de 24 horas) o a la presencia de hiperpigmentación residual.
La comparación de diversos parámetros analíticos (hemoglobina, recuento de leucocitos con fórmula, VSG, presencia de autoanticuerpos, alteraciones del complemento y niveles séricos de IgE) solo mostró diferencias estadísticamente significativas en cuanto a los niveles medios de leucocitos en sangre, que estaban más elevados en pacientes con UN.
Cada biopsia se clasificó en los patrones histopatológicos previamente enumerados, siendo en 36 pacientes (42,9% del total) urticarias con infiltrado predominantemente no neutrofílico y en 48 (57,1%) UN. Dentro de las UN los patrones más frecuentemente encontrados fueron: neutrofilia intravascular con un 19% y neutrofilia dérmica difusa con un 17,9% del total. La distribución en subgrupos se muestra en la figura 6.
Las urticarias con infiltrado predominantemente no neutrofílico mostraron una distribución del infiltrado perivascular superficial (75%) o perivascular superficial y profundo (25%), generalmente sin leucocitoclasia (97,2%). Además, mientras que en la UN hasta un 45,8% de las biopsias presentaba una distribución intersticial del infiltrado, en las urticarias con infiltrado predominantemente no neutrofílico no se observó este patrón (diferencia estadísticamente significativa) (tabla 5).
Comparación de datos clínicos, analíticos e histopatológicos entre los grupos
| Parámetro | Urticarias neutrofílicas | n | Urticarias no neutrofílicas | n | p valor |
| Género: % de mujeres/hombres | 64,6%/35,5% | 48 | 50%/50% | 36 | 0,0674 |
| Tipo de biopsia: % sacabocados/incisional | 56,3%/53,7% | 48 | 36,1%/36,9% | 36 | 0,1797 |
| % encontrado en urticarias agudas respecto a crónicas | 66,5% en agudas/41% en crónicas | 40 | 33,3%/59% | 35 | 0,0262* |
| Localización de lesiones | Miembros inferiores31,3%Miembros superiores18,8%Tronco31,3% | 48 | 51,5%27,3%18,2% | 36 | 0,3268 |
| Duración de la lesión>24 horas | 58,2% | 36 | 61,1% | 34 | 0,0862 |
| Hiperpigmentación residual | 14,5% | 46 | 13,9% | 36 | 0,4225 |
| Hemoglobina (g/dl) | Media: 13,8±1,97 | 40 | 14,3±-1,23 | 27 | 0,8706 |
| Leucocitos (miles/mm3) | Media 9.998±3.846,2 | 40 | 8.231±-2.567 | 28 | 0,0184* |
| Neutrófilos (%) | Media: 63,48±16,33 | 40 | 59,32±12,04 | 28 | 0,2624 |
| Linfocitos (%) | Media: 27,87±14,08 | 40 | 30,17±11,63 | 28 | 0,4801 |
| Eosinófilos (%) | Media: 2,03±1,67 | 40 | 2,86±2,06 | 28 | 0,0750 |
| VSG (mm) | Media: 22±27,8 | 21 | 16,7±12 | 20 | 0,5018 |
| Signos de autoinmunidad | Presentes hasta en el 35,1% | 25 | 36,4% | 13 | 0,7654 |
| Nivel de IgE | 222,8±272,3 | 31 | 115,32±117 | 18 | 0,0996 |
| Distribución del infiltrado | Ps 43,8%Ps y profundo 10,4%Intersticial 45,8% | 48 | 75%25%0% | 36 | 0,001* |
| Daño vascular | Ausente 33,3%Vasodilatación 22,9%Daño parietal 37,5%Desestructuración vascularsin necrosis fibrinoide 6,3% | 48 | 63,9%30,6%5,6%0% | 36 | 0,0013* |
%: porcentaje; n: número de pacientes con datos disponibles para el análisis estadístico; Ps: perivascular y superficial; p valor: valor de significación estadística. Para un intervalo de confianza del 95% son estadísticamente significativos valores de p<0,05 (*).
La presencia de alteraciones vasculares en las UN se observaba hasta en un 66,7%, con daño de la pared sin desestructuración en el 43,8%, y con desestructuración en un 6,3%, sin que se evidenciara necrosis fibrinoide en ningún caso. En las urticarias con infiltrado de predominio no neutrofílico no se observaba ningún signo de daño vascular (63,9%) o se evidenciaba únicamente vasodilatación (30,6%). El análisis estadístico también mostró diferencias significativas entre ambos grupos respecto a la afectación vascular, que era más frecuente y de mayor intensidad en el grupo de las UN.
No se observaron anomalías epidérmicas en ningún paciente incluido y solo en uno con UN existía una dermatitis de la interfase con degeneración vacuolar, sin otros datos sugestivos de colagenopatía.
La distribución de otras variables dicotómicas comparadas entre UN y urticaria con infiltrado sin predominio neutrofílico mediante el test de Chi-cuadrado, así como de parte de las variables cuantitativas comparadas mediante la «t» de Student puede observarse en la tabla 5.
DiscusiónRespecto al objetivo principal de nuestro estudio —la existencia o no de enfermedades reumatológicas asociadas a UN— no hemos encontrado una mayor proporción de las mismas ni en el grupo de urticarias neutrofílicas ni en sus subtipos histológicos. De acuerdo con la literatura revisada las diferencias esperadas de incidencia de enfermedades reumatológicas entre UN y urticaria con infiltrado sin predominio neutrofílico se estiman al menos entre el 30 y el 50%. Con ello la potencia de nuestro estudio, realizado con un total de 84 pacientes, para encontrar diferencias no debidas al azar es de aproximadamente un 80%.
En nuestra serie un 14,6% de los pacientes con UN presentaba una enfermedad reumatológica, así como un 22,2% de las urticarias con infiltrado de predominio no neutrofílico. Por el contrario, el grupo de Kieffer et al. encontraba presencia de enfermedad reumatológica hasta en un 77,7% de sus casos. En dicho artículo se definía bajo el término dermatosis neutrofílica urticarial la presencia de lesiones eritematosas de duración inferior a 48 horas, poco pruriginosas e histológicamente caracterizadas por importante afectación neutrofílica intersticial y perivascular con neutrófilos entre los haces de colágeno, aisladamente o en fila india11. Curiosamente, aunque uno de sus criterios de exclusión era la presencia de edema, éste puede observarse en las microfotografías de su trabajo11. Tras la lectura crítica de su artículo consideramos que la entidad que nosotros hemos englobado dentro de la categoría de neutrofilia dérmica difusa sería, al menos histopatológicamente, superponible con su denominada dermatosis neutrofílica urticarial. Además, en el 59% de nuestros pacientes de la categoría de neutrofilia dérmica difusa las lesiones clínicas no eran evanescentes. Por tanto, nuestros resultados discrepan de los descritos previamente por el grupo de Kieffer et al. y refuerzan la ausencia de asociación de la UN con otras patologías, como se ha descrito inicialmente5. No obstante, nuestro estudio no es directamente comparable con el suyo, ya que nuestros criterios no excluían lesiones histopatológicamente edematosas ni requerían presencia de brotes recurrentes.
Aparte del solapamiento existente entre UN y UV, comentado previamente, las revisiones actuales de urticaria no consideran la UN como un subtipo definido2. Estos dos factores nos han obligado a definir unos criterios y unos patrones histopatológicos para clasificar las biopsias de urticaria de nuestro estudio. Por otra parte, el infiltrado inflamatorio que puede observarse en las biopsias de urticaria evidencia un proceso dinámico subyacente y así, Sabroe et al., en un estudio realizado en 22 pacientes con urticaria crónica idiopática a los que se les biopsiaba en dos ocasiones (una lesión de menos de 4 horas y otra de más 12 horas de evolución) demostraron ese dinamismo, observando un predominio de los polimorfonucleares en los vasos y en su pared en las lesiones más recientes, con una tendencia a su distribución intersticial en lesiones de mayor tiempo de evolución19. En nuestro estudio hemos identificado un grupo de pacientes con infiltrado neutrofílico en la dermis a la vez que en la pared de algunos vasos, y ese sería un dato a favor de la teoría del dinamismo del infiltrado inflamatorio en los habones8.
En nuestra serie un 57,1% de pacientes presentaba un patrón de urticaria con predominio de neutrófilos. Un 17,9% correspondía a casos de neutrofilia dérmica difusa. Winkelmann et al. encontraron únicamente un 15,8% de urticarias con predominio de neutrófilos, de ellas un 8,7% de neutrofilia dérmica difusa/intersticial8. En un 26% de los casos observaban acentuación perivascular8, que nosotros hemos encontrado en la mayoría de nuestros casos. Por otra parte, Toppe et al. observaron un patrón de predominio de neutrófilos en un 55% de las urticarias clínicamente agudas y en un 18% de las crónicas. Un 29,1% de sus biopsias mostraban presencia de neutrófilos dentro o en la pared de los vasos10. Como hemos comentado anteriormente, un estudio de Sabroe et al. sugería la dependencia de la distribución de los neutrófilos en función del tiempo de evolución de la lesión19. Aunque en nuestros casos no se conocía con exactitud la duración del habón previa a la realización de la biopsia, en nuestro centro se suelen elegir habones recientes y esto podría tener relación con la mayor incidencia de UN encontrada en nuestra serie. Además, pese a que no se tuvieron en cuenta datos clínicos en nuestros criterios de inclusión, las urticarias biopsiadas en nuestro centro eran aquellas en las que existían hallazgos clínicos sugestivos de la denominada UV y, en menor medida, casos con clínica atípica que producía dudas diagnósticas o con mala evolución con el tratamiento. Nuestro hallazgo de que son más frecuentes los casos de UN en los pacientes con urticaria aguda concuerda también con el aumento de neutrófilos encontrados en la dermis en la urticaria aguda respecto a otros tipos de urticaria descrito por Toppe et al.6.
Winkelmann et al. consideraron que la escasa leucocitoclasia, la ausencia de necrosis fibrinoide y la escasez o ausencia de extravasación hemática en los cortes histopatológicos revisados podían servir para diferenciar los casos de UN de los de vasculitis leucocitoclásica y de UV5. En función de nuestros hallazgos histológicos dicha afirmación no parece tan clara, ya que se han encontrado grados variables de daño vascular. En las biopsias de urticaria, en un porcentaje variable de hasta el 52% de los pacientes, se pueden encontrar densos infiltrados perivasculares con leucocitoclasia, y más raramente pequeños focos de necrosis fibrinoide20. En nuestros pacientes con UN solo en un 6,3% se observaba un claro daño vascular con desestructuración parietal, aunque sin necrosis fibrinoide. Con criterios de daño vascular más laxos hasta un 60,4% de nuestros pacientes con UN podrían considerarse casos de UV. Por el contrario, en las urticarias con infiltrados predominantemente no neutrofílicos no había alteraciones vasculares. Nuestro estudio sugiere que la disparidad en los datos respecto a la frecuencia de daño vascular encontrada entre las diferentes series de urticaria de la literatura podría deberse a la inclusión de un porcentaje variable de UN en las mismas.
Analíticamente la única diferencia estadísticamente significativa fue en los recuentos de leucocitos en sangre periférica, que fueron mayores en UN, hallazgo ya descrito previamente.
Las principales limitaciones de nuestro estudio, derivadas de su diseño retrospectivo, son la falta de homogeneidad en los datos clínicos, analíticos y en la duración del seguimiento clínico de los pacientes, hechos que han impedido el análisis de algunos datos. Además, teniendo en cuenta que el tipo de infiltrado inflamatorio en la urticaria es tiempo-dependiente, al tratarse de un proceso dinámico, la ausencia de información exacta y fiable acerca de las horas de evolución de los habones biopsiados no nos ha permitido estudiar las posibles diferencias de composición del infiltrado y la evolución temporal del mismo. Este hecho, unido a la falta de criterios de UN generalmente aceptados, hace que la selección de los casos de UN y de urticaria con infiltrado sin predominio neutrofílico no nos permita descartar que, en algunos casos, las diferencias encontradas puedan deberse a la realización de biopsias sobre lesiones de diferentes tiempos de evolución, por lo que la interpretación de los datos es aún más compleja.
ConclusionesLa presencia de un infiltrado inflamatorio predominantemente neutrofílico en las biopsias de urticaria es un hecho frecuente (57,1%), especialmente en pacientes con urticaria aguda. Ninguno de los diferentes patrones histopatológicos encontrados en la UN parece asociarse en mayor proporción a enfermedad reumatológica respecto a las urticarias con infiltrados predominantemente no neutrofílicos.
La UN podría ser un patrón de reacción existente entre la urticaria con infiltrado sin predominio neutrofílico y la UV con necrosis fibrinoide, si bien la presencia frecuente de daño vascular en los pacientes con UN, así como su solapamiento con la UV, requeriría la realización de un estudio preferentemente prospectivo comparando UN y UV con la finalidad de comprobar si son o no entidades diferentes.
Conflicto de interesesLos autores declaran no tener ningún conflicto de intereses.













