INTRODUCCIÓN
La sarcoidosis es una enfermedad multisistémica de etiología desconocida que afecta sobre todo a individuos jóvenes y que se caracteriza por la formación de granulomas epitelioides no caseificantes en los órganos afectados, que deforman la arquitectura tisular normal1. Afecta principalmente a los pulmones, ganglios linfáticos mediastínicos y periféricos, ojos y piel2. La afectación cutánea en la sarcoidosis oscila entre el 10% y el 35% de los pacientes con sarcoidosis sistémica2, 3. Las lesiones se clasifican en específicas, con formación de granulomas no caseificantes, o inespecíficas, sin formación de granulomas pero asociadas a sarcoidosis en otros órganos3. Las lesiones específicas se ven con mayor frecuencia en la enfermedad crónica, mientras que las inespecíficas se correlacionan mejor con la enfermedad aguda, siendo el eritema nudoso la manifestación más frecuente3.
Desde el punto de vista clínico, la sarcoidosis cutánea se puede manifestar de forma muy variada3, incluyendo pápulas, placas, nódulos subcutáneos, angiolupoide, máculas hipopigmentadas, lupus pernio, placas psoriasiformes, lesiones ulcerosas, eritrodermia, sarcoidosis ictiosiforme, alopecia cicatricial y sarcoidosis de las cicatrices. Las manifestaciones cutáneas específicas más frecuentes en nuestra raza son el lupus pernio, las placas y la sarcoidosis de las cicatrices4.
DESCRIPCIÓN DEL CASO
Se trata de una paciente de 30 años de edad, con el antecedente de una explosión de gas butano dos años antes de la consulta, por la que sufrió graves quemaduras que afectaban a más del 50% de la superficie corporal. Le fueron realizadas diversas reconstrucciones mediante Z-plastias e injertos cutáneos, a pesar de las cuales presentaba importantes secuelas cicatrizales (fig. 1). Acudió a nuestra consulta por cambios en las cicatrices, que consistían en la aparición reciente de lesiones en el abdomen, con posterior extensión a la espalda y las extremidades, incluyendo palmas de manos. Dichas lesiones producían prurito moderado. No refería otra sintomatología. No presentaba otros antecedentes de interés. Había sido tratada con esteroides tópicos, sin obtener mejoría.
Fig. 1.--Importantes secuelas cicatrizales en la extremidad superior derecha, previa al desarrollo de sarcoidosis.
En la exploración dermatológica se apreciaban lesiones papulosas y placas eritematovioláceas sobre áreas cicatriciales previas y sobre las zonas donantes de piel para realizar injertos (fig. 2). Afectaban al tronco, extremidades superiores e inferiores y presentaba lesiones en placa en la palma de las manos y dedos. Clínicamente, las lesiones de nuestra paciente simulaban queloides (fig. 3). La exploración física general fue normal.
Fig. 2.--Imagen de las lesiones de la paciente. Presentaba pápulas y placas en tronco, de morfología cuadrangular en zonas donantes para realización de injertos cutáneos.
Fig. 3.--Mayor detalle de las lesiones de la espalda, con un aspecto similar a queloides.
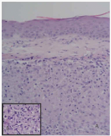
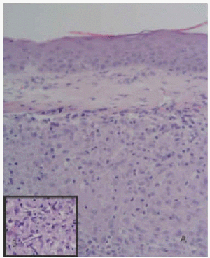
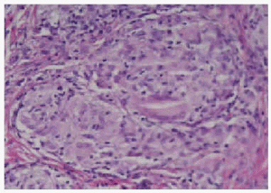
Realizamos biopsia de varias lesiones. El estudio histopatológico mostró, bajo una epidermis normal, la presencia de granulomas que ocupaban prácticamente toda la dermis (fig. 4). Los granulomas estaban constituidos por histiocitos, células gigantes multinucleadas, y no presentaban necrosis (fig. 5). Periféricamente se podía observar en ocasiones una fina corona linfocitaria. Con la técnica de Ziehl-Neelsen no se observaron bacilos ácido-alcohol resistentes. La microscopia de luz polarizada no reveló la presencia de material extraño. La baciloscopia y el cultivo de Lowenstein realizados sobre la muestra de biopsia resultaron negativos.
Fig. 4.--A: granulomas no caseificantes en dermis, con ocasionales células gigantes (hematoxilina-eosina, x40); B: cúmulos de células epitelioides (hematoxilina-eosina, x300).
Fig. 5.--Granuloma no caseificante con infiltrado linfocitario periférico (hematoxilina-eosina x120).
Realizamos los siguientes estudios complementarios: hemograma, velocidad de sedimentación globular (VSG), bioquímica sanguínea que incluye: calcio, función hepática y renal, enzima convertidora de angiotensina (ECA), calciuria de 24 horas, inmunoglobulinas, anticuerpos antinucleares (ANA), serologías de virus de hepatitis B y C, serología de sífilis (RPR) y estudio de coagulación, resultando alterados los siguientes parámetros: linfocitos 950/mm3 (normal: 1.000-4.800/mm3) con unos leucocitos totales de 6.430/mm3; VSG, 56 mm/h; GOT, 52 U/l; GPT, 70 U/l; GGT, 160 U/l; fosfatasa alcalina, 402 U/l; ECA, 186 U/l (normal: 18-55 U/l); IgA, 453 mg/dl (nor-mal: 70-400 mg/dl), e IgM, 233 mg/dl (normal hasta 230 mg/dl). El resto de los estudios mencionados resultaron normales o negativos. La intradermorrea-cción de Mantoux resultó negativa. La radiografía de tórax no mostró alteraciones significativas. Las radiografías de manos y pies sólo mostraron deformidades en relación con el antecedente traumático. La ecografía abdominal identificó un discreto aumento de la ecogenicidad hepática en relación con esteatosis.
Con los datos anteriores llegamos al diagnóstico de sarcoidosis con afectación cutánea y hepática. Cinco meses después del inicio de la clínica cutánea la paciente desarrolló una iridociclitis aguda del ojo derecho que fue tratada con corticoides tópicos, pero que posteriormente requirió corticoides sistémicos. Así, regresaron la uveítis y la afectación hepática, pero no logramos mejoría de las lesiones cutáneas, por lo que rebajamos la dosis de esteroides y asociamos cloroquina, sin respuesta por el momento. Recientemente la paciente ha sufrido un nuevo brote de uveítis y afectación hepática.
DISCUSIÓN
La sarcoidosis de las cicatrices es poco frecuente5. Suele afectar a mujeres de mediana edad y el período que transcurre entre el traumatismo y la transformación sarcoidea suele ser amplio (17-20 años)6. Asienta sobre cicatrices antiguas de etiología variada, habiéndose descrito sobre áreas de traumatismo crónico, tatuajes7, cirugía, biopsias, vacunas antiinfecciosas y desensibilizantes8, venopunción, intradermorreacción de Mantoux, punciones por rituales religiosos 5 y sobre herpes zóster9, 10.
El diagnóstico diferencial se debe realizar con otras enfermedades que cursan con granulomas, como la tuberculosis, por lo que serán útiles los estudios microbiológicos y la intradermorreacción de Mantoux. También es preciso diferenciarlos de los granulomas por cuerpo extraño, y especialmente del granuloma por sílice11. Tradicionalmente, el hallazgo de material extraño polarizable en granulomas epitelioides cutáneos excluía el diagnóstico de sarcoidosis. No obstante, se han publicado varios casos de pacientes con un diagnóstico bien establecido de sarcoidosis sistémica, en los que se observó material extraño en los granulomas cutáneos hasta en un 22% de los casos, lo cual indica que no es un hallazgo tan inusual2. Esto es más frecuente en la sarcoidosis papulosa de las rodillas, la de las cicatrices4 y la subcutánea2. Por ello se considera que el hallazgo de granulomas de cuerpo extraño no excluye el diagnóstico de sarcoidosis, ya que el cuerpo extraño puede actuar como foco localizador del granuloma12, 13. En definitiva, una reacción sarcoidea en la piel, en combinación con la clínica, puede interpretarse como una sarcoidosis con una confianza razonable, sobre todo cuando hay signos sistémicos de la enfermedad2, 9.
La sarcoidosis de las cicatrices puede ser la única manifestación de una sarcoidosis sistémica y ser la primera manifestación clínica de la enfermedad. Generalmente, la sarcoidosis de las cicatrices acontece en dos circunstancias: en la fase aguda de la sarcoidosis, antes que los cambios parenquimatosos pulmonares y asociada a adenopatías hiliares y eritema nudoso, o en fases tardías de la sarcoidosis en pacientes en remisión, indicando estos cambios en las cicatrices una exacerbación de la enfermedad3, 14. De forma excepcional hay casos descritos en los que no aparece en ninguna de estas dos condiciones, sino que la sarcoidosis de las cicatrices puede ser el primer signo de la sarcoidosis sistémica, como el caso que nosotros describimos.
De cara al pronóstico es importante señalar que no hay correlación entre la extensión de las lesiones cutáneas y la presencia o ausencia de lesiones sistémicas4. Sin embargo, sí hay relación entre el tipo de lesión cutánea y la enfermedad sistémica. Así, el lupus pernio, la sarcoidosis de las cicatrices y las lesiones en placa suelen asociarse a enfermedad sistémica grave, mientras que las lesiones papulosas suelen asociarse a sarcoidosis pulmonar en estadio I (adenopatías hiliares)4, con un buen pronóstico.
Los mecanismos patogénicos no están claros. No obstante, se acepta que la sarcoidosis puede representar una respuesta a antígenos infecciosos o a autoantígenos, iniciada por macrófagos y mediada por células T, en individuos genéticamente predispuestos1. Así, tiene lugar una respuesta inmunitaria desproporcionada, constituida por un gran número de macrófagos activados y linfocitos T CD4+, lo que lleva a la formación de granulomas2. Además se cree que en la sarcoidosis se altera la capacidad del sistema inmune para manejar materiales extraños que pueden ser el estímulo para la formación de granulomas2.
La afectación sistémica es la indicación esencial para el tratamiento, si bien algunos pacientes con lesiones cutáneas desfigurantes pueden ser igualmente tratados4. Se han utilizado diversos tratamientos que incluyen corticoides tópicos, intralesionales y sistémicos, antipalúdicos, metotrexato, isotretinoína, alopurinol, talidomida y extirpación quirúrgica de lesiones aisladas, pero ningún tratamiento ha mostrado unos resultados claramente eficaces1, 3, 4.
En conclusión, creemos que el caso que presentamos es excepcional por diversos motivos. En primer lugar, lo es desde el punto de vista clínico debido a su importante extensión. En segundo lugar, sabemos que la afectación de la piel palmoplantar en la sarcoidosis es excepcional15, y nuestra paciente presentaba afectación de la piel de la palma de las manos y de los dedos. En tercer lugar, destacamos que en nuestra paciente las lesiones cutáneas representan la primera manifestación de la sarcoidosis. Por último, queremos destacar que no se asociaron a afectación pulmonar, lo cual es poco frecuente en las formas agudas de la sarcoidosis.
También podemos concluir que el examen de las cicatrices es fundamental para la vigilancia de una sarcoidosis, ya que pueden ser marcadores de reactivación de la enfermedad sistémica6. El enrojecimiento e infiltración de viejas cicatrices debe ser una clave para el diagnóstico de sarcoidosis y nos debe llevar a realizar una biopsia cutánea. Por último, se debe realizar un cuidadoso y prolongado seguimiento de los pacientes con sarcoidosis cutánea debido al riesgo que tienen de desarrollar sarcoidosis sistémica.







