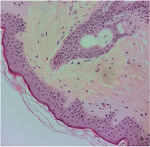
A 39-year-old woman with no relevant past personal or family history presented with facial lesions of 10 days’ duration and mild local pruritus. Physical examination showed depigmented, nonscaling lesions on the cheeks and neck (Fig. 1). No lesions were observed elsewhere. Direct microscopy with potassium hydroxide was negative and laboratory tests (complete blood count, biochemistry, and autoantibodies) were normal or negative. Histopathologic examination of 1 of the lesions showed an absence of melanocytes (Fig. 2). The patient reported that the lesions had appeared 1 week after receiving the second dose of the mRNA BNT162/Comirnaty vaccine (Pfizer-BioNtech).
Several types of skin reactions associated with SARS-CoV-2 infection and COVID-19 vaccination have been reported, the latter mostly since vaccination of the wider population began.
There has been just 1 previous report of vitiligo lesions on the face and it was related to the administration of an mRNA COVID-19 vaccine. We believe that this reaction might be linked to the innate and adaptive immune response, with a key role played by the production of interferon-γ, mainly by plasmacytoid dendritic cells. We also believe that these lesions may be a marker of better immune response to SARS-CoV-2 infection.




