INTRODUCCION
El síndrome del bypass intestinal sin bypass intestinal fue descrito por Jorizzo et al1 en 1983, quienes propusieron el término de síndrome de dermatosis-artritis asociado al intestino. Describieron un cuadro clínico superponible al presentado por un 20 % de los pacientes sometidos a bypass intestinal, pero asociado a otras enfermedades intestinales. Desde esta descripción original, se han publicado únicamente 8 casos de este síndrome. Presentamos 2 nuevos casos detectados en un estudio realizado sobre 139 pacientes con enfermedad inflamatoria intestinal y lesiones cutáneas.
DESCRIPCION DE LOS CASOS
Caso 1
Una mujer de 34 años, sin antecedentes familiares de interés y entre cuyos antecedentes personales destacaba el haber sido diagnosticada 8 meses antes de enfermedad de Crohn con afectación ileocólica de intensidad leve, que controlaba con mesalazina, vitamina B12 y resincolestiramina, acudió a consulta por la aparición, desde hacía una semana, en tronco y extremidades, de pequeñas lesiones rojizas, diseminadas y pruriginosas, en cuyo centro iban apareciendo lesiones sobreelevadas, de contenido líquido claro que se hacían pustulosas en su evolución. Dichas lesiones se resolvían de forma espontánea con formación de costras en 4-5 días, mientras iban apareciendo nuevas lesiones de características y evolución similares. Algunas producían hiperpigmentación residual al resolverse. El inicio del cuadro coincidió con un brote de actividad de su enfermedad de Crohn de grado leve (índice de actividad de Harvey de 5). La paciente refería varios episodios previos similares, menos intensos, siempre coincidiendo con brotes de su enfermedad.
A la exploración dermatológica se observó la presencia, en la parte baja de espalda, de máculas y pápulas eritematoedematosas, de bordes mal definidos, redondeadas, en cuyo centro se observaban vesículas de contenido líquido claro y pústulas puntiformes (fig. 1). En ambas piernas, con carácter bilateral y simétrico, se observaban pápulas excoriadas con costra hemorrágica central y máculas hiperpigmentadas residuales. En ningún momento el paciente presentó fiebre, artromialgias o afectación ocular.
Fig. 1.--Vesiculopústulas aisladas, sobre base eritematoedematosa, en la parte baja de la espalda.
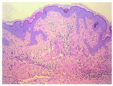
Se realizó estudio histológico de una lesión clínicamente vesiculosa del tronco, que mostró, bajo una epidermis normal, discreto edema en dermis papilar y un infiltrado inflamatorio superficial, perivascular y difuso (fig. 2). Dicho infiltrado estaba formado por linfocitos, histiocitos y abundantes neutrófilos, con fenómenos de leucocitoclastia y edema endotelial sin observarse signos de vasculitis (fig. 3).
Fig. 2.--Discreto edema en dermis papilar con infiltrado inflamatorio perivascular y difuso. La epidermis está respetada. (Hematoxilina-eosina, x10.)
Fig. 3.--Infiltrado inflamatorio mixto, formado por linfocitos, histiocitos y abundantes neutrófilos con leucocitoclastia. (Hematoxilina-eosina, x20.)
El brote intestinal se controló con aumento de la dosis de mesalazina y con enemas de corticoides, y la sintomatología cutánea se resolvió paralelamente.
Caso 2
Una mujer de 41 años de edad, sin antecedentes familiares de interés y entre cuyos antecedentes personales destacaba el haber sido diagnosticada un año antes de pancolitis ulcerosa, para lo cual realizaba tratamiento con 5-ASA y enemas de corticoides, consultó por la aparición en muslos desde hacía 15 días, de pequeñas lesiones diseminadas, rojizas y pruriginosas, que en su evolución se hacían pustulosas. La aparición de estas lesiones había coincidido con la retirada del tratamiento con corticoides orales que realizaba por un brote previo de su enfermedad inflamatoria intestinal, produciéndose una reactivación de la actividad intestinal (índice de actividad Truelove de 15). La paciente refería episodios previos similares, que habían precedido en 1-2 días a su brote de actividad intestinal, y que se habían resuelto con el control del brote. A la exploración se observaba la presencia en ambos muslos, con carácter bilateral y tendencia simétrica, de vesículas de contenido líquido claro y pústulas, aisladas, de 2-5 mm de diámetro que asentaban sobre una base eritematoedematosa. Presentaba febrícula y artromialgias difusas, sin signos de artritis ni afectación ocular.
La biopsia cutánea de una de las lesiones mostró intenso edema en dermis papilar y un denso infiltrado inflamatorio perivascular e intersticial en todo el espesor de la dermis (fig. 4), formado por linfocitos, histiocitos y abundantes neutrófilos. Se observaron también fenómenos de leucocitoclastia y edema de las células endoteliales, sin otros signos de vasculitis. La epidermis se encontraba respetada (fig. 5).
Fig. 4.--Intenso edema en dermis papilar y denso infiltrado inflamatorio perivascular e intersticial, en todo el espesor de la dermis, bajo una epidermis normal. (Hematoxilina-eosina, x10.)
Fig. 5.--Intenso edema en dermis papilar con infiltrado inflamatorio mixto con abundantes neutrófilos y leucocitoclastia sin signos de vasculitis. (Hematoxilina-eosina, x20.)
El brote de actividad intestinal fue controlado con corticoides orales (prednisona 1 mg/kg/día en pauta descendente), y las lesiones cutáneas y articulares se resolvieron paralelamente.
DISCUSION
El síndrome del bypass intestinal sin bypass intestinal, o síndrome de dermatosis-artritis, se ha descrito asociado a diferentes enfermedades intestinales como úlceras gastroduodenales, adherencias intestinales secundarias a cirugía abdominal previa o enfermedad inflamatoria intestinal. Clínicamente se caracteriza por la aparición en tronco y extremidades de máculas eritematosas, menores de 1 cm de diámetro, que progresan hacia la formación de pápulas eritematoedematosas de bordes mal definidos, con formación de vesículas y pústulas centrales en 24-48 h. Las lesiones persisten durante 2-8 días y suelen recurrir durante 1-6 semanas. Habitualmente se acompaña de un cuadro seudogripal2. Hasta el momento sólo se han descrito 8 casos como síndrome del bypass intestinal sin bypass intestinal1-3. Otros casos se han publicado como síndrome de Sweet2, erupción vesiculopustulosa asociada a enfermedad inflamatoria intestinal4 o pioderma gangrenoso abortivo5.
Histológicamente, el síndrome del bypass intestinal sin bypass se incluye dentro de las dermatosis neutrofílicas. Se caracteriza por la presencia de una epidermis respetada, un denso infiltrado inflamatorio mixto con presencia de numerosos neutrófilos en dermis y edema en dermis papilar. Pueden existir fenómenos de leucocitoclasia, pero sin necrosis fibrinoide de los vasos1,2. La superposición observada clínica y/o histológicamente entre las diversas dermatosis neutrofílicas, así como su aparición simultánea o consecutivamente en los pacientes, ha llevado a algunos autores a considerar el término dermatosis neutrofílica como una entidad nosológica individualizada con diferentes presentaciones clínicas6,7.
De los 8 casos descritos, únicamente tres se asociaban a enfermedad inflamatoria intestinal, tanto enfermedad de Crohn como colitis ulcerosa. Se trataba de 3 mujeres, que coincidiendo con un brote intestinal, presentaron lesiones vesiculopustulosas sobre una base eritematosa. Dos casos se acompañaron de eritema nudoso. En todas se produjo la resolución de las lesiones cutáneas tras el control del brote intestinal con corticoides sistémicos. La histología era similar al síndrome de Sweet1,3. O'Laughlin y Perry5 describieron además otros 2 pacientes, un hombre y una mujer, afectados de colitis ulcerosa, que presentaron un cuadro clínico similar, coincidente con exacerbaciones de colitis ulcerosa, que interpretaron como una forma abortiva de pioderma gangrenoso. La asociación con brotes de enfermedad inflamatoria intestinal queda reflejada en la clasificación de Gregory y Ho8 que incluye el síndrome del bypass intestinal sin bypass intestinal dentro de las manifestaciones reactivas de la enfermedad inflamatoria intestinal. En los 2 casos descritos por nosotros también se observa esta asociación con los brotes de actividad intestinal.
Los principales diagnósticos diferenciales del síndrome del bypass intestinal sin bypass intestinal en la enfermedad inflamatoria intestinal son el síndrome de Sweet y la erupción vesiculopustulosa de la enfermedad inflamatoria intestinal, ambas incluidas en el grupo de las dermatosis neutrofílicas. El diagnóstico diferencial frente al síndrome de Sweet se realiza en función de criterios clínicos, ya que histológicamente son indistinguibles. El síndrome de Sweet se diferencia por la presencia en éste de placas de mayor tamaño y superficie seudovesiculosa de predominio en parte alta del tronco y extremidades superiores1,2. El diagnóstico diferencial frente a la erupción vesiculopustulosa asociada a la enfermedad inflamatoria intestinal es fundamentalmente histológico, ya que clínicamente son muy similares y ésta se caracteriza por la presencia de pústulas de neutrófilos intraepidérmicas o subcórneas con infiltrado inflamatorio mixto en la dermis9,10. Otros diagnósticos diferenciales son la enfermedad de Behçet, la meningococemia diseminada, la endocarditis bacteriana subaguda, la candidiasis sistémica, la vasculitis leucocitoclástica, el pioderma gangrenoso y la vasculitis pustulosa primaria idiopática1,2,5,11.
Se cree que su etiopatogenia se debe a un sobrecrecimiento bacteriano en la luz intestinal con paso de antígenos peptidoglucanos a la circulación sanguínea y formación de inmunocomplejos circulantes que se depositarían en las paredes vasculares, produciendo quimiotaxis de neutrófilos12. Debido a este sobrecrecimiento bacteriano se ha defendido el tratamiento con antibióticos sistémicos, fundamentalmente ciprofloxacino y trimetoprima-sulfametoxazol, ya que además de su capacidad bactericida inhibirían la quimiotaxis de los neutrófilos. Incluso se ha considerado que la respuesta a antibióticos sería un criterio diagnóstico diferencial de esta entidad frente al síndrome de Sweet, que por el contrario respondería a corticoides2. Sin embargo, los casos descritos asociados a enfermedad inflamatoria intestinal fueron controlados con corticoides sistémicos, probablemente debido a que éstos son el tratamiento de elección del brote intestinal13.
Queremos destacar que estos 2 casos descritos se diagnosticaron entre 139 pacientes con enfermedad inflamatoria intestinal y lesiones cutáneas, lo que supone un 1,43 % de los pacientes (datos no publicados). Dada esta frecuencia observada en nuestro estudio creemos que se trata de un cuadro infradiagnosticado, que debería ser valorado además como predictor de brotes de actividad intestinal. Creemos que aunque en algunos casos se observe superposición clínica y/o histológica de las lesiones en dermatosis neutrofílicas, en otros, como los dos descritos por nosotros, sí puede alcanzarse un diagnóstico más específico y etiquetarse de síndrome del bypass intestinal sin bypass.







