INTRODUCCIÓN
La práctica del tatuaje es conocida desde la antigüedad y consiste en la introducción en la piel de pigmentos insolubles para crear figuras más o menos permanentes. La mayoría de los pigmentos utilizados son sales metálicas: de cobalto en el color azul, cromo en el verde, cadmio en el amarillo, manganeso en el púrpura, etc., aunque en los últimos años son cada vez más empleados los pigmentos orgánicos, y se han descrito reacciones con todos los colores, aunque el que con más frecuencia da problemas continúa siendo el rojo (1). Se han descrito como complicaciones de los tatuajes la transmisión de enfermedades infecciosas, la aparición en las zonas tatuadas de lesiones de dermatosis subyacentes como parte de un fenómeno de isomorfismo y distintos tipos de «reacciones a tatuaje» (2). Histológicamente los cambios ocurren fundamentalmente en la dermis, aunque también pueden aparecer acantosis, papilomatosis y espongiosis, y están descritas reacciones de tipo liquenoide (1, 3-7), granulomatosas (8-10) (con granulomas de tipo sarcoideo y de tipo cuerpo extraño), pseudolinfomatosas (11), infiltrados inflamatorios perivasculares (12) y casos aislados de granuloma anular perforante (13), colegenosis perforante (14) y reacciones de tipo eccematoso crónico (15). L a clínica en todas ellas es inespecífica y suele cursar con prurito y sobreelevación de las zonas afectas. En general los intentos por atribuir dichas reacciones a distintos elementos han fracasado, teniendo las pruebas epicutáneas escaso valor (1).
DESCRIPCION DE LOS CASOS
Presentamos cinco casos de reacciones al color rojo de los tatuajes. Los datos clínicos se encuentran en las tablas I y II. Las dos primeras pacientes eran hermanas y se habían realizado el tatuaje en la misma fecha en el mismo lugar, comenzando ambas al mes con prurito intenso y sobreelevación de las zonas rojas. En la primera dicha sintomatología no era constante y evolucionaba en brotes, mientras que en la segunda había empeorado de forma progresiva desde el comienzo (Fig. 1).
FIG. 1.--Paciente número 2. Sobreelevación de las zonas coloreadas en rojo.
Nuestra tercera paciente también comenzó con dicha sintomatología al mes de la realización del tatuaje y cuando nos trajo la tinta con la que se le había hecho pudimos comprobar que era la misma que la de las dos anteriores.
El cuarto caso correspondía a un varón, HIV positivo en estadio C3, que se había realizado el tatuaje 4 años antes de la aparición del prurito, presentaba reacción al color rojo en dos tatuajes situados en el antebrazo (Fig. 2).
FIG. 2.--Paciente número 4. En los dos tatuajes que presentaba en el antebrazo se apreciaba elevación de las zonas en rojo.
El quinto paciente refería que desde la realización del tatuaje siempre había tenido una zona que no llegó a cicatrizar, pruriginosa y que al tercer mes comenzó a experimentar un crecimiento inicialmente localizado en las zonas rojas, pero que se había extendido hasta ocupar toda la parte central del tatuaje (Fig. 3). En todos los pacientes la sintomatología se limitaba a las zonas rojas del tatuaje (tabla I).
FIG. 3.--Paciente número 5. Intensa inflamación de las zonas rojas, con erosión de la epidermis.
Todos los pacientes fueron tratados con corticoides tópicos potentes (clobetasol) y en algún caso intralesionales (betametasona) mejorando sólo de forma parcial.
La histología (Figs. 4, 5, 6 y 7) correspondía a un patrón liquenoide en tres de ellos, a una dermatitis espongiótica en otro y una hiperplasia pseudoepiteliomatosa en el restante (tabla II). Realizadas las pruebas epicutáneas, a las pacientes 1 y 2 con la batería estándar del GEIDC, batería de colorantes textiles, mercurio, cadmio y la tinta que ellas aportaron, y al 4 únicamente con su tinta, encontramos una positividad a la tinta la paciente número 2 (++/+++). Hemos realizado 25 controles con dicha tinta, encontrando sólo una positividad, por lo que interpretamos que la reacción de nuestra paciente no es irritativa.
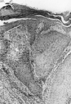
FIG. 4.--Imagen correspondiente a la biopsia tomada a la paciente número 1. Se observa un infiltrado inflamatorio superficial y profundo muy denso en la zona del pigmento rojo.
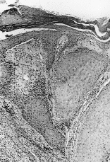
FIG. 5.--Paciente número 3. Se aprecia una dermatitis de interfase con exocitosis y abundante infiltrado inflamatorio superficial y profundo. Se puede ver pigmento tanto intra como extracelular.
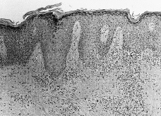
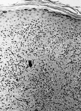
FIG. 6.--Paciente número 4. Epidermis con acantosis, córnea compacta y mínima espongiosis. En la dermis se observa un infiltrado linfocitario perivascular superficial.
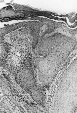
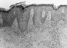
FIG. 7.--Paciente número 5. Hiperplasia pseudoepiteliomatosa con infiltrado inflamatorio y presencia de pigmento.
El suministrador de la tinta de las pacientes 1, 2 y 3 nos informó que el pigmento era un derivado monoazo (3 hidroxi 2 naftalides), conteniendo como pigmento secundario el dióxido de titanio y pequeñas cantidades de varios metales: plomo, 100 partes por millón (ppm); arsénico, 50 ppm; mercurio, 25 ppm; cadmio, 50 ppm; zinc, 1.000 ppm; antimonio, 100 ppm; selenio, 100 ppm; bario, 100 ppm; cromo, 250 ppm; aminas aromáticas, 500 ppm, y cinabrio, 25 ppm.
DISCUSION
Las reacciones al color rojo de los tatuajes son conocidas hace tiempo, encontrándose referencias en la literatura ya en los años treinta. La serie más larga de estos casos iniciales relaciona la aparición de reacciones al color rojo con la utilización de derivados mercuriales como pigmentos. Así, Scutt (1972) (16) presentó una serie de 57 casos con reacciones al color rojo, de los que en 45 encontró positividad en las pruebas epicutáneas a derivados mercuriales.
Debido a esto se comenzaron a emplear otros pigmentos sin mercurio, como sales férricas y de cadmio, y en los últimos tiempos, pigmentos orgánicos (sandalwood, brazilwood derivados monoazo). Pese al uso de estas otras alternativas, las reacciones al color rojo continúan siendo las más frecuentes dentro de las reacciones a tatuajes.
De 48 casos de reacciones al rojo revisados en la literatura entre 1978 y 2000, 27 de ellos presentaban un patrón histológico liquenoide, nueve infiltrados inespecíficos, cuatro de ellos granulomatosos y dos pseudolinfomatosos.
En 26 se realizaron pruebas epicutáneas, encontrándose cinco positividades al mercurio y una a la tinta de un paciente.
En la tabla III se encuentra un resumen de dichas publicaciones; hemos excluido los casos de sarcoidosis sistémica localizados en las zonas rojas de los tatuajes, así como las reacciones a otros colores que no fueran el rojo. Swoden (1) presentó la serie más amplia, con 18 casos, y realizó estudio mediante dispersión de rayos X de muestras de piel de los pacientes y de muestras de tinta para intentar encontrar los elementos responsables de dichas reacciones, hallando gran variedad de metales (Al, Hg, Ti, Cd, Ca, S, P, Si, etc.). Realizó pruebas epicutáneas con dichos elementos a siete de sus pacientes y a seis casos además con las tintas que ellos aportaban. Sólo encuentra una positividad al mercurio, concluyendo que las pruebas epicutáneas tienen escaso valor y que probablemente fueran más sensibles los test intradérmicos.
En nuestros pacientes hemos conseguido la composición de la tinta en tres de ellos, correspondiendo a derivados monoazo y sales de titanio. En otro sólo sabemos la marca de la tinta y que contiene igualmente colorantes monoazídicos, aunque desconocemos cuáles. Bendsoe (12) aporta siete pacientes con reacciones al rojo y dos al violeta y al analizar mediante espectrometría de rayos X el pigmento rojo encuentra que se trata de un derivado azoaromático. Realiza pruebas epicutáneas en cinco, que son negativas, lo que atribuye a la insolubilidad del pigmento.
Las reacciones a los tatuajes constituyen una patología infrecuente, teniendo en consideración la cantidad que se realizan, y aunque están descritas con todos los colores, las asociadas al rojo son las más frecuentes. Todas ellas presentan una clínica similar, con prurito y sobreelevación de las áreas afectadas, pudiendo mostrar histologías diferentes, siendo el patrón liquenoide el más encontrado. En ellas las pruebas epicutáneas tienen baja sensibilidad.












