Introducción
El término pseudosarcoma de Kaposi (PSK) fue empleado por primera vez en la literatura francesa en 1969 para describir las lesiones de un paciente, clínica e histológicamente similares al sarcoma de Kaposi1. Posteriormente fue utilizado por Eahart, en 1974, en la literatura inglesa2.
La acroangiodermatitis o pseudosarcoma de Kaposi es una entidad angioproliferativa autolimitada, que incluye un grupo de enfermedades, congénitas o adquiridas, que cursan con lesiones cutáneas similares al sarcoma de Kaposi. Se han descrito en relación con la insuficiencia venosa crónica (tipo Mali)3, ocasionada por malformaciones arteriovenosas de origen congénito o yatrogénico (tipo Stewart-Bluefarb)4 y con otros problemas vasculares como el daño de los vasos por amputación, prótesis mal colocadas5, déficits vasomotores de miembros paralizados o la mutación del alelo 20210 A del gen de la protrombina6.
La aparición de lesiones de PSK debidas a fístulas arteriovenosas por hemodiálisis es un hecho bien constatado en la literatura y obliga a descartar en primer lugar un SK para posteriormente intentar identificar una causa tratable.
Caso clínico
Se trata de un varón de 67 años visto en nuestro Servicio en noviembre de 2001 por lesiones maculares y papulares de coloración violácea, de 3-6 mm de diámetro, asintomáticas, de 4 meses de evolución, localizadas en el antebrazo portador de una fístula arteriovenosa, y en el otro antebrazo, en el que desconocíamos que tenía otra fístula (fig. 1). El paciente, residente en Reino Unido, había desarrollado en 1988 una insuficiencia renal crónica secundaria a nefropatía por reflujo, necesitando hemodiálisis. En 1989 le realizaron un trasplante renal, pero una estenosis de la arteria del injerto causó la pérdida de éste. En julio del 2001, ya en nuestro país, reinició hemodiálisis, practicándose una fístula arteriovenosa braquiocefálica en antebrazo derecho.
Figura 1. Lesiones maculares y papulares de coloración violácea, que confluyen formando placas en el antebrazo izquierdo (A) y derecho (B).
La analítica de sangre fue normal, con serologías para el virus de la inmunodeficiencia humana (VIH), hepatitis B y C, negativas.
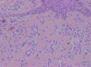
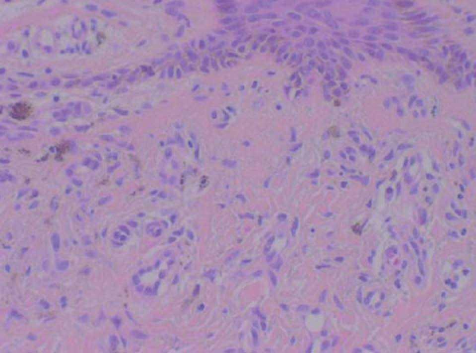
Se realizaron dos biopsias con un intervalo de un año, y ambas mostraban cambios similares, consistentes en neoformación de vasos en la dermis papilar y media, unos de morfología capilar y otros en forma de hendidura (fig. 2). Las células endoteliales que tapizaban los vasos no mostraban atipias y existía una extravasación de eritrocitos y macrófagos, con depósitos de hemosiderina en la dermis e infiltrado inflamatorio de linfocitos, histiocitos, eosinófilos y algunas células plasmáticas (fig. 3). El CD34 fue positivo en las células endoteliales, pero negativo en las células perivasculares. La expresión de ADN del herpesvirus 8 humano (HHV-8) fue negativa.
Figura 2. Neoformación de vasos en dermis papilar y media, unos con morfología capilar y otros con forma de hendidura. Hematoxilina-eosina, x40.
Figura 3. Células endoteliales prominentes y depósitos de hemosiderina. Infiltrado inflamatorio de linfocitos, eosinófilos, células plasmáticas e histiocitos. Hematoxilina-eosina, x200.
La eco-doppler mostraba una fístula arteriovenosa en el antebrazo derecho, sin alteración del flujo y otra parcialmente estenosada en el antebrazo izquierdo.
Discusión
En nuestro paciente planteó problemas diagnósticos la presencia de lesiones bilaterales, puesto que desconocíamos la existencia de una fístula arteriovenosa estenosada que había sido realizada en otro país.
Las lesiones del PSK pueden simular un verdadero SK, tanto clínica como histológicamente. Ambas entidades se caracterizan por proliferación de vasos sanguíneos, extravasación de eritrocitos y depósitos de hemosiderina. Algunas diferencias histológicas pueden ayudar a distinguirlas, como la presencia de células atípicas en el SK y la baja densidad de infiltrado inflamatorio en el PSK, que es además pobre en células plasmáticas. Por otra parte, el PSK no presenta las hendiduras vasculares irregulares entre los haces de colágeno recubiertas por células endoteliales con núcleos atípicos y mitosis, como ocurre en el verdadero SK7.
A pesar de las diferencias histológicas, puede ser complicado diferenciar estas dos entidades8, por lo que se han desarrollado nuevas técnicas de diagnóstico histopatológico. Tanto las células endoteliales vasculares como las células fusiformes del estroma del SK expresan el antígeno CD34, mientras que el PSK sólo muestra positividad para las células endoteliales de los capilares dérmicos, pero no en el estroma circundante9. Además, el ADN del HHV-8 sólo se encuentra en el SK y el antígeno asociado al factor VIII es negativo en las lesiones del SK y positivo en el PSK.
Las técnicas radiológicas ayudan a distinguir esta entidad de otras malformaciones arteriovenosas: eco, eco-doppler, tomografía computarizada (TC), resonancia magnética (RM), angiografía y flebografía10.
El diagnóstico diferencial es importante, debido al diferente comportamiento biológico y tratamiento de las dos entidades. Mientras que el PSK permanece limitado a la piel y tiene un curso indolente, el SK puede extenderse a otros órganos, requiriendo un tratamiento más agresivo.
Los mecanismos patogénicos no se conocen por completo. Tanto en la insuficiencia venosa crónica, como en los cortocircuitos arteriovenosos, existe una elevación de la presión venosa y capilar con edema, que puede estimular una proliferación de células endoteliales y fibroblastos. La hipoxia distal también puede inducir proliferación endotelial a través del aumento local del factor de crecimiento endotelial vascular11,12. En otras situaciones se ha considerado un traumatismo menor como el factor desencadenante de las lesiones cutáneas.
El tratamiento suele ser conservador, elevación del miembro afectado, tratamiento quirúrgico de la fístula arteriovenosa, escleroterapia de las malformaciones arteriovenosas, etc. La corrección de la fístula arteriovenosa disminuye las lesiones cutáneas y ayuda a prevenir la progresión.
Conflicto de intereses
Declaramos no tener ningún conflicto de intereses.
Correspondencia:
Rosa Fernández.
Servicio de Dermatología. Hospital Abente y Lago.
C/ Sir John Moore, s/n. 15001 A Coruña.
Correo elctrónico: rosaftorres1980@hotmail.com
Aceptado el 15 de septiembre de 2006.





