Sr. Director:
La pseudoangiomatosis eruptiva se caracteriza por la aparición de pequeñas pápulas de color rojo brillante, que recuerdan a los angiomas, rodeadas de un halo pálido característico y que se resuelven de forma espontánea pasados unos días.
Un varón de 43 años de edad consultó por la aparición de pequeñas lesiones eritematosas, asintomáticas, en antebrazos, de 7 días de evolución. Entre sus antecedentes personales destacaban: hipertensión arterial, hipercolesterolemia, obesidad mórbida, enolismo, tabaquismo y una enfermedad pulmonar obstructiva que, reagudizada por un proceso infeccioso respiratorio del que no se llegó a filiar la causa, requirió ingreso en la unidad de cuidados intensivos hasta 2 semanas antes de ser visto en nuestro servicio.
En la exploración física presentaba lesiones maculopapulosas de color rojo vivo, de unos 2-3 mm de diámetro, no confluentes, rodeadas de un halo claro, que blanqueaban a la diascopia, distribuidas por ambos antebrazos, en número cercano a 20 lesiones (fig. 1).
Figura 1. Lesiones maculopapulosas, de color rojo, bien delimitadas, rodeadas de un halo pálido en el antebrazo.
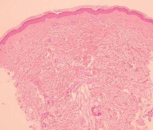
La biopsia mostraba un ligero edema dérmico y un discreto infiltrado linfocitario, perivascular en la dermis superficial y media; los vasos de la dermis superficial estaban dilatados, congestivos, sin extravasación eritrocitaria, proliferación capilar ni vasculitis (fig. 2). Las exploraciones complementarias, incluyendo hemograma, bioquímica elemetal, serologías para citomegalovirus, virus de Epstein-Barr, parvovirus, virus de la inmunodeficiencia humana (VIH), virus de la hepatitis C fueron normales o negativas. Las lesiones desaparecieron de forma espontánea tras 10 días de evolución.
Figura 2. Imagen histológica de una de las lesiones en la que se aprecia dilatación capilar y edema endotelial, acompañada del infiltrado linfocitario perivascular, sin extravasación ni vasculitis. (Hematoxilina-eosina, x10.)
La pseudoangiomatosis eruptiva es un proceso poco frecuente, descrito por Cherry en 19691, aunque el término fue acuñado por Prose en 19932. Su etiología es desconocida. La causa viral se ha sospechado por la presencia en niños de un cuadro prodrómico con fiebre, diarrea o síntomas respiratorios3,4, por la asociación del cuadro con una infección por Echovirus en 4 casos1 y por la publicación de algunos casos familiares4,5 y otros epidémicos en comunidades cerradas6; otros datos a favor de la infección viral son la presencia en el estudio ultraestructural de un caso de apoptosis y de grupos de partículas similares a las virales en los linfocitos del infiltrado perivascular7. Asimismo se han descrito casos asociados a leucemia linfocítica aguda8 y tras un trasplante renal9, sin demostrarse infección viral. Otros autores consideran las picaduras de insecto como causa10. El eritema punctatum de Higuchi se caracteriza por lesiones eritematosas no pruriginosas rodeadas de un halo claro, autolimitadas, con histología similar a la pseudoangiomatosis eruptiva; es posible que este cuadro sea la misma entidad que la que nos ocupa, al encontrar Ban en Japón una epidemia, en 26 pacientes, de lesiones iguales a la pseudoangiomatosis eruptiva tras la aparición de mosquitos en su hospital11.
Nuestro paciente estuvo ingresado en la unidad de cuidados intensivos debido a una reagudización infecciosa de su enfermedad pulmonar obstructiva. No se pudo demostrar su causa, pues los cultivos fueron negativos; tampoco se pudo demostrar una infección viral. Una semana después del alta hospitalaria aparecieron las lesiones cutáneas.
Pensamos que en este caso, a pesar de la ausencia de confirmación, la posibilidad de un agente infeccioso es lo más probable, dados los antecedentes y su historia en las semanas previas a la aparición de las lesiones.




