Sr. Director:
El histiocitoma fibroso epitelioide benigno (HFEB) es una variedad de dermatofibroma descrito por primera vez por Wilson-Jones en 19891.
La frecuencia de HFEB oscila entre el 0,5-1,4 % de todos los histiocitomas fibrosos benignos de la piel en las diferentes series publicadas1-3.
Presentamos el caso de un varón de 33 años de edad que consultó por una lesión estable y asintomática de 2 años de evolución localizada en el glúteo derecho.
Como antecedentes personales de interés, 5 años antes tuvo un melanoma maligno in situ localizado en la región clavicular izquierda con un seguimiento clínico anual posterior sin evidencias de recidiva local o a distancia.
A la exploración física se trataba de una lesión tumoral exofítica de 0,6 cm de diámetro máximo localizada en el glúteo derecho, de color rojo vinoso, que no se modificaba con la presión y de tacto fibroso más o menos duro sin apreciarse infiltración en profundidad.
El estudio de la lesión mediante dermatoscopia (fig. 1) mostró vasos ramificados de predominio periférico y estructuras blanquecinas que recordaban un retículo blanco sobre un fondo de estructuras homogéneas eritemato-violáceas y ausencia total de retículo pigmentado, puntos, glóbulos o velo azul-blanco.
Figura 1. Vasos ramificados de predominio periférico y estructuras blanquecinas que recuerdan un retículo blanco sobre un fondo de estructuras homogéneas rosa-violáceas y ausencia total de estructuras de lesión pigmentada.
Se realizó una biopsia escisional de la lesión que se estudió con una tinción de hematoxilina-eosina y diferentes técnicas inmunohistoquímicas. Se trataba de una lesión exofítica, bien circunscrita, localizada fundamentalmente en la dermis papilar que no tenía anejos cutáneos. La epidermis que la cubría carecía de crestas y formaba un collarete que delimitaba la lesión sin conectar con ella.
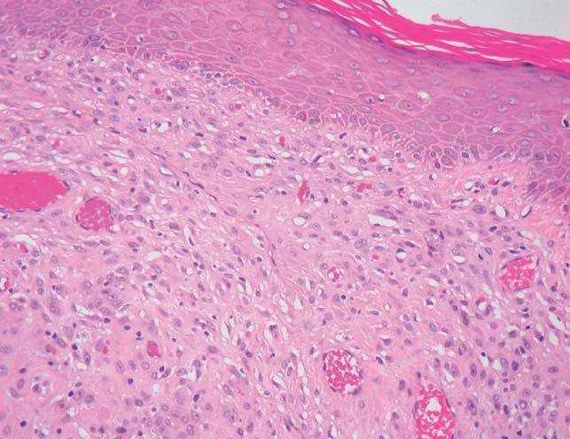
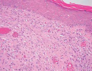
A mayor aumento se apreciaba que estaba constituida por un denso componente celular acompañado de una rica vascularización sobre todo en la periferia de la lesión (fig. 2).
Figura 2. Denso componente celular dérmico acompañado de una rica vascularización sobre todo en la periferia de la lesión. (Hematoxilina-eosina, x20).
Las células de las que se componía la lesión tenían citoplasma amplio y eosinófilo con un núcleo grande y vesiculoso, algunas de ellas binucleadas con un nucleolo pequeño y rodeadas de un abundante colágeno muy denso.
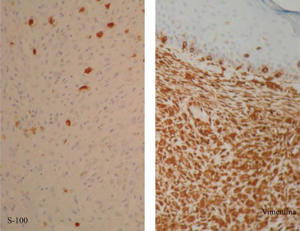
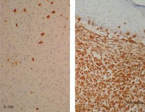
El estudio inmunohistoquímico reveló una lesión constituida por células que se marcaron intensamente con vimentina y resultaron negativas con S-100 (fig. 3), Melan-A, EMA, factor XIIIa, CD-31, CD-34 y CD-68.
Figura 3. Inmunohistoquímica: vimentina positiva y S-100 negativa (x40.)
El diagnóstico fue el de histiocitoma fibroso epitelioide benigno.
La lesión, una vez extirpada, no mostró recidiva un año después.
El HFEB se suele presentar clínicamente como una lesión nodular única, localizada frecuentemente en las extremidades inferiores cuyo aspecto clínico vascular característico hace que sea confundido de forma frecuente con un granuloma piogénico4-7.
La histopatología de este tumor difiere de forma sustancial respecto a otras formas de dermatofibromas en cinco características principales: el predominio de células epitelioides, la carencia relativa de elementos secundarios (tales como células gigantes multinucleadas, macrofagos espumosos o con restos de hemosiderina), la buena delimitación, la vascularización prominente y el estar centrada en la dermis papilar en la mayoría de los casos3.
Inmunohistoquímicamente el HFEB se caracteriza por mostrar una fuerte y difusa positividad para la vimentina, moderada positividad para factor XIIIa y negatividad para la proteína S-100. No obstante han sido publicados algunos casos de HFEB que, como el nuestro, resultaron negativos para el factor XIIIa2. El diagnóstico diferencial histopatológico del HFEB debe hacerse con la variedad desmoplásica de nevus de Spitz. La negatividad del HFEB para los marcadores de células melanocíticas, como S-100, HMB-45 y Melan-A, permiten diferenciar el HFEB del nevus de Spitz desmoplásico3,7.





