INTRODUCCION
El término poroqueratosis define y agrupa una serie de trastornos como la poroqueratosis de Mibelli, la poroqueratosis lineal, la poroqueratosis actínica superficial diseminada, la poroqueratosis superficial diseminada, la poroqueratosis plantar, palmar y diseminada y la poroqueratosis punteada, caracterizados por una alteración de la queratinización, con cierta variabilidad clínica, pero con una característica histopatológica común, la presencia de la laminilla cornoide 1.
La poroqueratosis puede aparecer en personas sanas, pero también se ha descrito asociada a estados de inmunosupresión; la mayoría pertenece a formas de poroqueratosis superficial diseminada (actínica y no actínica) y se observa con más frecuencia en pacientes con trasplantes de órganos 2,3. Aportamos un nuevo caso de poroqueratosis en una paciente con dermatomiositis en la que el tratamiento inmunosupresor pudo desencadenar el cuadro.
CASO CLINICO
Mujer de 72 años de edad, con los antecedentes personales de hipertensión e hipercolesterolemia, diagnosticada hace 11 años de dermatomiositis por lo que realizó tratamiento con 60 mg/día de prednisona y 10 mg/semana de metrotexate; desde hace 5 años está asintomática y sin tratamiento.
Consultó por la aparición hace 10 años, un año después de iniciada la terapia inmunosupresora, de lesiones asintomáticas localizadas en las piernas y el pie izquierdo; las lesiones aumentaron paulatinamente de tamaño hasta estabilizarse hace 4 años. Durante este tiempo la paciente aplicó en las zonas afectas distintos antifúngicos sin mejoría alguna. No refería historia personal de exposición solar marcada ni historia familiar de un cuadro cutáneo similar.
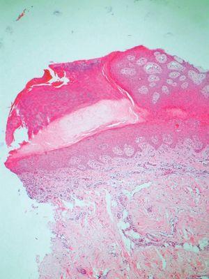
En la exploración se observó en la cara lateral externa del pie izquierdo dos placas de morfología anular de 2,5 cm de diámetro, con un centro atrófico y un borde elevado, bien delimitado e hiperqueratósico (fig. 1). Otras 10 lesiones de características similares, pero de menor tamaño, se encontraban localizadas en ambas piernas dispuestas en forma de elementos aislados (fig. 2). Se realizó una biopsia de una de las lesiones del pie izquierdo incluyendo un borde. El resultado histopatológico evidenció una invaginación de la epidermis en cuyo centro se identificaba la laminilla cornoide, en la zona subyacente a ella la capa granulosa estaba disminuida (fig. 3).
Fig. 1.--Lesiones anulares de 2,5 cm de diámetro con borde hiperqueratósico y elevado, localizadas en cara lateral externa del pie izquierdo.
Fig. 2.--Lesiones de poroqueratosis en zona pretibial de ambas piernas.
Fig. 3.--Invaginación epidérmica con la típica laminilla cornoide central, bajo la cual la capa granulosa está disminuida. (H&E, x 20.)
DISCUSION
Se han descrito varios casos de poroqueratosis en enfermedades que cursan con inmunosupresión. Éstas incluyen sobre todo trasplantes de órganos, principalmente de riñón 4-9, pero también de corazón 10, médula ósea, pulmón e hígado; infección por virus de la inmunodeficiencia humana (VIH) 11, neoplasias hematológicas y varias enfermedades inflamatorias o autoinmunes como el pénfigo vulgar, el pénfigo foliáceo, la artritis reumatoide, el vitíligo 12, la colitis ulcerosa, el lupus eritematoso sistémico 13 y la dermatomiositis 14, normalmente tratadas con fármacos inmunosupresores o quimioterapia. Se ha sugerido que la inmunosupresión local pueda ser la causa del efecto desencadenante de las radiaciones ultravioleta (UV) 2.
La poroqueratosis superficial diseminada es la variedad descrita con más frecuencia, sin embargo, en estados de inmunosupresión muchos casos corresponden a formas de poroqueratosis atípica o a pacientes en los que coexisten formas diferentes de poroqueratosis, posiblemente por el hecho de que todos los tipos de poroqueratosis forman parte de un espectro clínico heterogéneo donde todos ellos están relacionados entre sí 5. El periodo de latencia entre el inicio del estado de inmunosupresión y la aparición de la poroqueratosis varía desde una semana a 16 años 1. En algunos casos el curso de la poroqueratosis es paralelo al nivel de inmunosupresión, e incluso en alguno la enfermedad regresa totalmente al finalizar el estado inmunosupresor 2,14. En nuestra paciente parecen coexistir lesiones semejantes a la variedad de poroqueratosis actínica superficial diseminada en las piernas, con otras de mayor tamaño como la localizada a nivel del tobillo izquierdo similares a la poroqueratosis de Mibelli, que aparecen un año después de iniciada la inmunosupresión y se estabilizan tras suspenderla.
El origen de la poroqueratosis en estados de inmunosupresión es un tema debatido. Se especula con que la inmunosupresión pueda activar clones anormales de queratinocitos en sujetos predispuestos 3; sin embargo, algunos autores resaltan la importancia de factores como la alteración de la inmunidad humoral 12 o agentes transmisibles como el virus de la hepatitis C (VHC) 15.
Se ha descrito el desarrollo de un proceso maligno en las lesiones poroqueratósicas de un paciente inmunodeprimido, por lo que se sugiere la destrucción en caso de ser pocas las lesiones de poroqueratosis y la vigilancia si son múltiples 16,17.
Declaración de conflicto de intereses
Declaramos no tener ningún conflicto de intereses.
Correspondencia:
Benigno Monteagudo Sánchez.
Rosalía de Castro, 38, 3.º B.
15706 Santiago de Compostela. La Coruña. España.
benims@hotmail.com
Recibido el 3 de enero de 2006.
Aceptado el 19 de septiembre de 2006.





