Una paciente de 36 años de edad, previamente sana, reportó lesiones hiperpigmentadas en la región intermamaria, axilas y rostro, no reportando ningún síntoma local. Las lesiones se habían iniciado 5 años atrás, incrementando su extensión con el paso del tiempo. También reportó comedones faciales y poros visibles, sin ningún tratamiento previo. Existían antecedentes familiares de lesiones similares: su padre y la abuela paterna, no reportando ningún síntoma sistémico.
Exploración físicaEn la exploración física se observaron manchas marrones reticuladas en la zona preesternal (fig. 1), y pequeñas placas similares en la región inguinal y en las axilas, bilateralmente. También se observaron pequeñas máculas ligeramente atróficas en el dorso de las manos. En el rostro, lesiones de tipo comedón, poros dilatados y placas hiperpigmentadas difusas en toda la superficie, y en especial en la frente (fig. 2), y en las regiones malar bilateral, perioral y supramandibular. También presentó cicatrices piqueteadas en la región perioral.
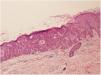
HistopatologíaLa evaluación histopatológica de las lesiones en la zona preesternal presentó proliferación epitelial digitiforme y seudoquistes corneales (fig. 3).
Pruebas adicionalesLas pruebas de laboratorio no reflejaron cambios.
¿Cuál es su diagnóstico?
DiagnósticoEnfermedad de Dowling-Degos.
Curso clínico y tratamientoSe orientó a la paciente acerca de la naturaleza genética de su enfermedad, prescribiéndose inicialmente el uso diario de un retinoide tópico.
ComentarioLa enfermedad de Dowling-Degos (EDD) es una genodermatosis dominante autosómica rara, con penetración variable, que presenta una mutación del gen KTR51, manifestándose los primeros signos de la enfermedad normalmente en la tercera o cuarta décadas de la vida2.
Clínicamente se caracteriza por hiperpigmentación folicular en las zonas flexoras, tales como cuello, axilas, fosa antecubital, región submamaria, e ingle. Puede presentarse pigmentación en el dorso de las manos cuando se solapan las características clínicas de acropigmentación reticulada de Kitamura3. Los hallazgos adicionales incluyen cicatrices periorales piqueteadas en algunos pacientes sin antecedentes previos de acné, y pápulas de tipo comedón hiperqueratósicas en el cuello y axilas1. Algunos pacientes pueden reportar prurito conexo2.
A menudo se asocia la enfermedad con otras dermatosis tales como quistes epidérmicos, queratoacantomas, hidradenitis supurativa y queratosis seborreica, lo cual puede ser la principal causa de consultas dermatológicas4.
Histopatológicamente, muestra hiperqueratosis u ortoqueratosis moderadas, adelgazamiento del epitelio suprapapilar y elongación de las papilas con hiperpigmentación de la capa basal. Las proliferaciones filiformes de la epidermis comprometen normalmente el folículo, con un tapón folicular. También puede observarse infiltrado linfohistiocístico perivascular en la dermis papilar y seudoquistes corneales1.
La dermatoscopia de las máculas hiperpigmentadas revela normalmente una disposición regular de puntos marronáceos de tamaño variable, caracterizados por una red gruesa de líneas marrones sobre un trasfondo difuso, de color marrón claro. Por tanto, dichos hallazgos no son específicos, y se observan en muchas otras situaciones5.
La EDD debe diferenciarse de acantosis nigricans y acropigmentación reticulada de Kitamura. En la primera situación, las placas tienen una textura de tipo aterciopelado en lugar de aplanada o mínimamente liquenificada, y no existen cicatrices periorales piqueteadas ni lesiones de tipo comedón. En la acropigmentación reticulada de Kitamura existen máculas reticuladas, ligeramente deprimidas y pigmentadas en las zonas acrales, especialmente en el dorso de las manos y pies y las fosas palmares, o grietas en el patrón de crestas epidérmicas6.
El tratamiento tiene resultados insatisfactorios en muchos casos. Las opciones terapéuticas tópicas incluyen retinoides, hidroquinona, corticosteroides y ácido azelaico. También se ha descrito el tratamiento con láser Er:YAG o isotretinoína.
FinanciaciónLos autores confirman que no han recibido ningún tipo de financiación para la realización de este artículo.
Conflicto de interesesLos autores declaran la ausencia de conflicto de intereses.


