Introducción
La paraqueratosis granular es una entidad poco frecuente debida a una alteración en el proceso de queratinización, lo que conlleva un marcado engrosamiento de la epidermis a expensas de la capa córnea, con signos histológicos característicos. La etiología es desconocida, implicándose, entre otros, agentes irritantes, por lo que este fenómeno podría considerarse como un mecanismo de protección a nivel epidérmico. Clásicamente se describe en la axila, en relación con desodorantes o perfumes. Posteriormente se han registrado casos en otras áreas intertriginosas, así como en abdomen, nalgas, o rodillas.
Presentamos un nuevo caso de paraqueratosis granular en la axilar en una mujer de 50 años, en el que no se ha encontrado ningún factor irritante asociado, con buena respuesta al tratamiento con tacalcitiol.
Caso clínico
Mujer de 50 años que consulta por presentar una placa pardusca, ocasionalmente pruriginosa, en la axila izquierda, de lento crecimiento durante los últimos dos años. Desde hacía tres meses refería el comienzo de una lesión similar en la axila contralateral, también asintomática. No estaba relacionado con el uso de agentes tópicos en la zona. Había recibido tratamiento con corticoides tópicos, sin mejoría.
En la exploración de observa una placa de 6 cm x 1,5 cm de área en la axila izquierda, de coloración marronácea y superficie granular e hiperqueratósica. De límites bien definidos, escasamente infiltrada, sin descamación ni vesiculación (fig. 1). En la axila derecha presenta pequeñas pápulas confluyentes en una placa de similares características y menor extensión. No presentaba otras lesiones a nivel cutáneo ni en la zona mucosa.
Figura 1. Placa hiperqueratósica marronácea en la axila izquierda.
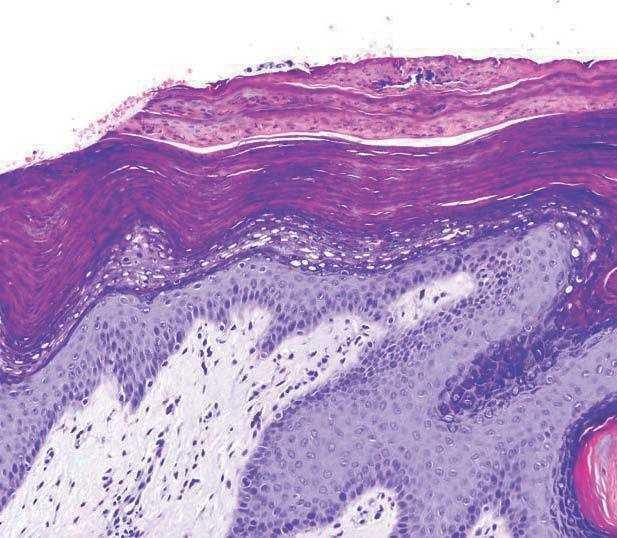
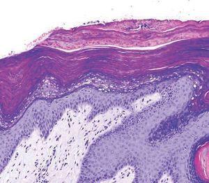
Se le realizó una biopsia de la lesión de la axila izquierda con el resultado de epidermis acantósica con una marcada capa córnea paraqueratósica en la que se mantienen los gránulos de queratohialina en el seno del estrato espinoso. En la dermis papilar se observa un discreto infiltrado linfocitario perivascular. Todo ello compatible con el diagnóstico de paraqueratosis granular (fig. 2).
Figura 2. Epidermis acantósica con una marcada capa córnea paraqueratósica en la que se mantienen los gránulos de queratohialina en el estrato espinoso. En la dermis papilar se observa un discreto infiltrado linfocitario perivascular.
Se pautó tratamiento con tacalcitol 2 veces al día durante tres meses, con mejoría de las lesiones.
Discusión
La paraqueratosis granular es una entidad poco frecuente debido a una alteración en la maduración del queratinocito, que fue descrita por primera vez por Northcutt en 1991, presentando 4 casos en la axilar1. Desde entonces ha sido descrita en otras áreas como ingles, región submamaria, a nivel vulvar y perianal, en el abdomen, nalgas o rodillas2. Landes (1981) y Jansen diez años después describieron dos casos de lesiones hiperqueratósicas en la cara y el cuero cabelludo en dos mujeres con antecedentes de uso exagerado de agentes tópicos para el cuidado facial cuya histología probablemente presentara signos de paraqueratosis granular3. Con posterioridad a Northcutt, Mehregan et al4,5 y Metze y Rutten6 aportaron nuevos casos con afectación de áreas intertriginosas y abdomen.
Aparece con mayor frecuencia en mujeres entre los 40-60 años, generalmente en forma de placa única en la axila, aunque se describen también casos en niños, donde con frecuencia afecta al área del pañal, ingles y abdomen3,7,8. Hasta el año 2003 se han registrado 31 casos, no hemos encontrado ninguno en España, entre los 9 meses y los 77 años, en distintas localizaciones y con variable respuesta al tratamiento7.
En cualquiera de ellos, dentro de cada localización, la clínica y exploración física es superponible a la de nuestra paciente: placas hiperqueratósicas, parduscas, bien delimitadas, con superficie globular, en ocasiones friable y ocasionalmente pruriginosas.
Northcutt describió los hallazgos histopatológicos como una compacta paraqueratosis con engrosamiento de la capa córnea y mantenimiento del estrato granuloso. Lo característico es la presencia de gránulos de queratohialina en el estrato córneo1,3,5,6. En la dermis puede observarse cierto grado de proliferación y ectasia vascular, así como un infiltrado inflamatorio linfocitario a expensas de CD43,6. Otros cambios son acantosis y papilomatosis, de aspecto psoriasiforme y vacuolización de queratinocitos. Todo ello superponible con los cambios histológicos encontrados en la paciente que aportamos.
La etiología es desconocida. Prácticamente todos los autores coinciden en la existencia de un factor irritante1-8 que provoca un engrosamiento secundario de la epidermis como mecanismo de protección5,7. Dada la afectación con frecuencia unilateral y que en muchos pacientes no han podido ser identificados dichos factores esta afirmación ha perdido peso (Mehregan et al4, Webster et al9) y deben existir otros factores implicados, entre ellos cierta predisposición individual. Así ocurre en el caso de nuestra paciente.
De cualquier modo, se altera la maduración del queratinocito en su paso del estrato granuloso al estrato córneo. La profilagrina contenida en los gránulos de queratohialina no es fragmentada en unidades de filagrina, que actúa como matriz adhesiva de los filamentos de queratina. Esto conlleva un fracaso en la degradación de los gránulos de queratohialina, con persistencia de los mismos en el estrato córneo1-3,7,9. Sin embargo, puesto que la filagrina es solo un componente de los mencionados gránulos, esta secuencia es solo teórica y anormalidades en otros elementos podrían explicar los hallazgos histológicos1.
Se debe realizar un diagnóstico diferencial con entidades como: Hailey-Hailey, pénfigo vegetante, acantosis nigricans, queratosis seborreica, Darier, psoriasis invertida, dermatofitosis, dermatitis de contacto, PHND (pigmented and hiperqueratosic napkin dermatitis [dermatitis del pañal pigmentada e hiperqueratósica]) donde se observa también una intensa hiperqueratosis con orto y paraqueratosis, aunque sin retención de los gránulos de queratohialina8. La paraqueratosis granular puede ser considerada como una variante particular de PHND8.
La respuesta al tratamiento es variable. Se describen casos con remisión espontánea y/o cese del factor irritante junto con cambios en los hábitos higiénicos o incluso únicamente con agua fría1,3,7. Puesto que el defecto reside en una alteración de la queratinización existen casos tratados con isotretinoina oral o derivados de la vitamina D7,10,11 (tacalcitol, cacipotriol) con desaparición de las lesiones. Otros tratamientos que se han ensayado son: antibióticos y antifúngicos1,4, corticoides tópicos1,4-7, lactato amónico10 y crioterapia1,7, con respuestas variables.
Nuestra paciente ha sido tratada con tacalcitol 2 veces al día durante tres meses, con mejoría de las lesiones.
Conflicto de intereses
Declaramos no tener ningún conflicto de intereses.
Correspondencia:
Marta González de Arriba.
Servicio de Dermatología.
Hospital Universitario 12 de Octubre.
Crta. de Andalucía, km 5,4. 28041. Madrid.
mgdearriba@yahoo.es
Aceptado el 12 de septiembre de 2006.




