HISTORIA CLINICA
Mujer de 21 años de edad, sin antecedentes personales de interés, que consultó por la aparición progresiva en los últimos 10 años de unas lesiones asintomáticas en el cuello y la zona central del tórax. No refería antecedentes patológicos personales ni familiares de interés y no tomaba ningún medicamento.
EXPLORACION FISICA
Se observó una erupción monomorfa constituida por múltiples pápulas de 2-3 mm de diámetro, de coloración rosado-amarillenta y superficie lisa en las caras laterales del cuello y la zona central del tórax (fig. 1).
Fig. 1.--Pápulas rosado-amarillentas de superficie brillante en el escote y cuello.
EXAMENES COMPLEMENTARIOS
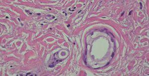
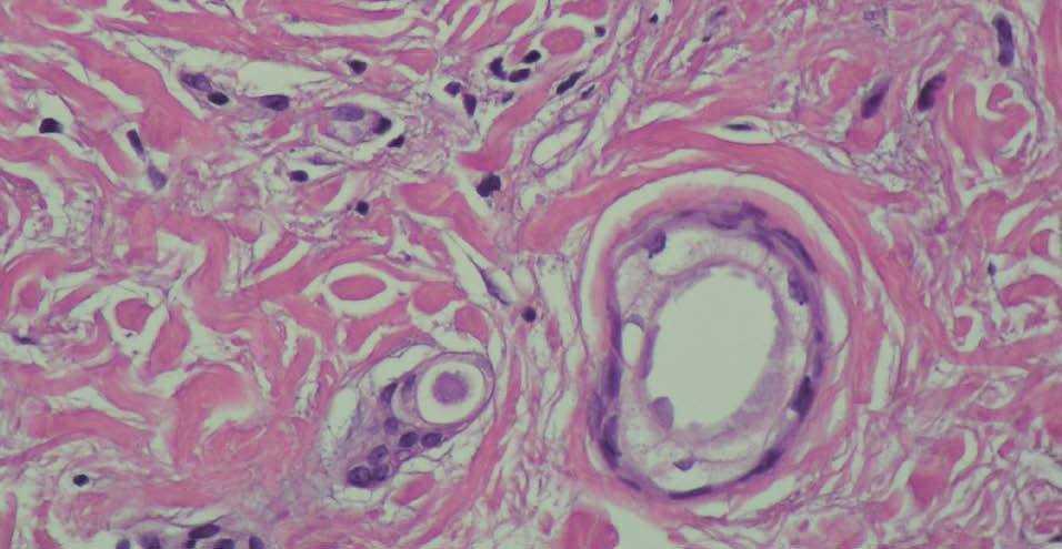
Se realizó una exéresis biopsia con sacabocados de una pápula (fig. 2).
Fig. 2.--Imagen histológica de una de las lesiones.
DIAGNOSTICO
Siringomas eruptivos.
HISTOPATOLOGIA
En la dermis se observaron ductos de pequeño tamaño agrupados, algunos de ellos con una morfología «en coma».
EVOLUCION Y TRATAMIENTO
Con el diagnóstico clínico y una vez obtenida la confirmación histopatológica, se realizó bajo anestesia local con mepivacaína clorhidrato al 2 % (Scandinibsa®) el curetaje de las lesiones en diversas sesiones. Los resultados estéticos fueron aceptables.
COMENTARIO
Los siringomas son tumores benignos frecuentes de origen ecrino. La forma clínica más habitual consiste en la aparición de estos tumores en la región periocular, con frecuencia en mujeres de mediana edad. Sin embargo, existen otras formas más inusuales, con características clínicas y epidemiológicas diferentes, lo que motivó que en 1987 Friedman y Butler 1 propusieran una clasificación que se ha aceptado desde entonces. En ella se distingue una variante localizada, en la que se incluirían los siringomas solitarios y los múltiples pero agrupados en una única zona corporal, casi siempre en los párpados; una variante generalizada en la que los siringomas estarían presentes en diferentes áreas corporales, con dos formas clínicas, una multifocal y otra eruptiva; una variante familiar y, finalmente, otra asociada al síndrome de Down. En la bibliografía posterior la mayoría de los autores hacen sinónimos los términos «siringomas generalizados» y «siringomas eruptivos», que describen a aquellos pacientes que desarrollan siringomas en otras áreas distintas a la de los párpados, casi siempre en la región del tórax, el cuello, el abdomen superior, la región periumbilical y las axilas.
Los siringomas eruptivos fueron descritos por primera vez por Darier y Jacquet en 1887 2. El inicio de esta forma se describe como más habitual en la edad infantil o juvenil 3,4, pero la revisión de la literatura demuestra una frecuencia similar tanto en el periodo prepuberal como en el pospuberal 5. En general son asintomáticos, aunque en algunas ocasiones pueden ser pruriginosos.
Desde el punto de vista histológico los siringomas son tumores dérmicos formados por ductos pequeños que se agrupan. Estos ductos están constituidos por dos líneas de células cuboidales. En algunas ocasiones los ductos adquieren una forma en coma o contienen un material eosinófilo. Alrededor de estos ductos existe con frecuencia un estroma fibroso. Intercalados pueden verse grupos de células con aspecto basaloide 6,7.
Los siringomas eruptivos no presentan ninguna característica histológica diferencial respecto a los siringomas comunes, aunque en los últimos años se ha sugerido la posibilidad de que no sean auténticas neoplasias, sino hiperplasias reactivas frente a un proceso inflamatorio de los ductos excretores sudoríparos 6,8. Existe una variante histopatológica menos frecuente denominada siringoma de células claras. Esta forma tiene una presentación clínica indistinguible de la variante común y es más frecuente en los pacientes diabéticos. El aspecto claro de las células se debe al cúmulo intracelular de glucógeno. La causa de esta acumulación de glucógeno no es clara, aunque se ha propuesto como hipótesis el déficit de fosforilasa celular 6,7.
La aparición de los siringomas durante la pubertad, su mayor incidencia en el sexo femenino y la posibilidad de que aumenten de tamaño o se vuelvan más pruriginosos durante la menstruación o el embarazo, hizo que numerosos autores apuntasen a una influencia hormonal en el desarrollo de este tumor. En los últimos años diversos estudios han confirmado esta teoría, al demostrar la presencia de receptores de la progesterona en las células epiteliales de los ductos neoplásicos 9.
El tratamiento de los siringomas es cosmético. Las opciones son variadas, aunque en general poco satisfactorias. Puede hacerse un abordaje quirúrgico, como la escisión simple, el curetaje, la electrocoagulación, la crioterapia o el láser. El tratamiento médico incluye el uso de retinoides tópicos u orales, los peelings con ácido tricloroacético y la atropina tópica al 1 % en solución acuosa, sobre todo indicada en aquellos casos en los que los siringomas son pruriginosos 4,10-12.
Declaración de conflicto de intereses
Declaramos no tener ningún conflicto de intereses.
Correspondencia:
Xavier Soria.
Servicio de Dermatología.
Hospital Universitari Germans Trias i Pujol.
Ctra. Canyet, s/n. 08915 Badalona. Barcelona. España.
36911xsg@comb.es
Recibido el 31 de enero de 2006.
Aceptado el 13 de febrero de 2006.




