INTRODUCCION
Se han descrito paniculitis en el curso de enfermedades del tejido conjuntivo, principalmente en el lupus y en la esclerodermia1. Por otra parte, se han documentado pocos casos de paniculitis en relación con la dermatomiositis, y ninguno en el contexto de la forma amiopática2.
Se presenta el caso de una paciente con dermatomiositis amiopática que en el curso de su enfermedad desarrolló lesiones clínicas de paniculitis.
CASO CLINICO
Una mujer de 61 años fue diagnosticada en 1996 de dermatomiositis amiopática por la presencia de lesiones eritematovioláceas en zona periorbitaria, lesiones poiquilodérmicas en la «V» del escote (fig. 1), pápulas eritematosas firmes en articulaciones interfalángicas y metacarpofalángicas, biopsia cutánea con histología compatible (degeneración vacuolar de la unión dermoepidérmica, edema dermis papilar e infiltrado linfocitario en dermis superior), y anticuerpos antinucleares (ANA) positivos a 1/640 (resto de autoanticuerpos negativos). La paciente no había presentado ni al inicio del cuadro ni a lo largo de su seguimiento sintomatología muscular, elevación de enzimas musculares o electromiografía patológica. Se realizaron pruebas de imagen y exploración ginecológica, que descartaron una neoplasia oculta. Se inició tratamiento con corticoides sistémicos en dosis iniciales de 1 mg/kg/día, y posteriormente en pautas descendentes durante 2 meses y sulfato de cloroquina en dosis de 250 mg/día, lográndose una remisión de las lesiones.
Fig. 1.--Eritema violáceo periorbitario y lesiones poiquilodérmicas en el cuello.
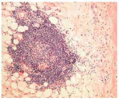
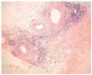
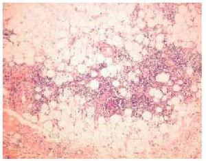
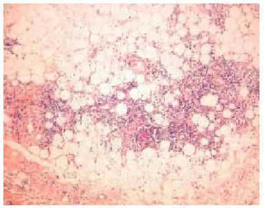
En septiembre de 1999 presentó un nuevo brote de lesiones cutáneas clásicas de dermatomiositis, así como 5 lesiones nodulares en ambos miembros superiores, de unos 3 cm de diámetro, dolorosas, induradas, de superficie poiquilodérmica, sin sintomatología muscular ni elevación de las enzimas musculares. Se realizó una biopsia cutánea de un nódulo del brazo que puso de manifiesto una degeneración vacuolar focal de la capa basal epidérmica y un leve infiltrado inflamatorio linfohistiocitario perivascular en la dermis. Lo más llamativo fue la presencia de una paniculitis de predominio lobulillar con linfocitos, histiocitos y células plasmáticas (fig. 2). En algunas zonas los linfocitos formaban acumulaciones donde se insinuaba un centro germinal (fig. 3) y en otras infiltraban la pared de los vasos (fig. 4).
Fig. 2.--Paniculitis lobulillar con linfocitos y células plasmáticas. (Hematoxilina-eosina, x40.)
Fig. 3.--Folículos linfoides con centro germinal. (Hematoxilina-eosina, x200.)
Fig. 4.--Infiltración linfocitaria de la pared de los vasos. (Hematoxilina-eosina, x100.)
Con el diagnóstico de paniculitis en el seno de una dermatomiositis amiopática se inició tratamiento con corticoides orales (0,5 mg/kg/día) durante 2 semanas y posteriormente en dosis descendentes con resolución completa de las lesiones a las 4 semanas de iniciar el tratamiento. Durante los seguimientos posteriores, la paciente no ha vuelto a presentar lesiones de paniculitis, ni sintomatología muscular; sin embargo, las lesiones cutáneas iniciales características de la dermatomiositis han sufrido mejorías y exacerbaciones durante estos 7 años de seguimiento.
DISCUSION
Dentro de las lesiones no clásicas de la dermatomiositis se han descrito lesiones ampollosas, urticariales, eritema multiforme, hipertricosis, eritema flagelado, hiperpigmentaciones, livedo reticularis y paniculitis, entre otras. En 1924, Weber y Gray3 describieron el primer caso de dermatomiositis con lesiones predominantemente localizadas en la grasa. Janis y Winkelmann4 encontraron en 55 casos de dermatomiositis focos de paniculitis no específica en 5 pacientes, demostrando que la presencia de áreas microscópicas de paniculitis en pacientes con dermatomiositis se puede observar hasta en un 15 % de los casos, pero no así lesiones clínicas objetivables. Desde la primera descripción se han documentado unos 17 casos en la literatura médica inglesa, ninguno de ellos asociado a dermatomiositis amiopática3,5-18. El tipo amiopático representa el 10 % de las dermatomiositis y son aquellos pacientes que presentan lesiones cutáneas clásicas de dermatomiositis sin ninguna clase de afectación muscular (clínica, electromiográfica, enzimática o histológica) durante al menos 2 años.
Las lesiones clínicas de paniculitis pueden preceder al diagnóstico de dermatomiositis5,7,8,10,15,16, iniciarse simultáneamente3,11,13,17 o aparecer en el curso de la enfermedad, incluso al cabo de muchos años6,9,12-14,18 (tabla 1). Clínicamente las lesiones de paniculitis en el seno de una dermatomiositis se caracterizan por nódulos dolorosos, indurados, algunos con superficie poiquilodérmica que se localizan sobre todo en nalgas y muslos. Se han descrito casos con lipoatrofia6. Del total de casos, cinco correspondieron a dermatomiositis infantiles; el resto se observaron en adultos con edades comprendidas entre 24 y 65 años. Es más frecuente en mujeres.
Histológicamente, la paniculitis en la dermatomiositis es similar a la lúpica. Se observa una paniculitis predominantemente lobulillar con linfocitos y células plasmáticas alrededor de los adipocitos. Los haces de colágeno en los septos muestran una esclerosis hialina y existe un reemplazamiento progresivo de la grasa por tejido fibroso. Se han descrito otros datos histopatológicos adicionales como un engrosamiento de los vasos sanguíneos del lobulillo, vasculitis neutrofílica con necrosis fibrinoide, cambios membranoquísticos (en dos de los casos)11,15, calcificación, vasculitis linfocitaria afectando a las arteriolas de los septos, presencia de folículos linfoides y cambios vacuolares en la unión dermoepidérmica, como en nuestro caso19,20. En 6 casos se realizó inmunofluorescencia directa de las lesiones, y se han detectado depósitos de inmunorreactantes (C3, IgM y/o IgA) en la unión dermoepidérmica en 3 casos7,9,13 (tabla 1).
La presencia de paniculitis en el contexto de una dermatomiositis parece que se asocia con una mejor respuesta de la enfermedad al tratamiento y a un menor riesgo de neoplasia subyacente, si bien ésta se detectó en 2 de los 17 pacientes descritos5,17. En los 2 casos de paniculitis asociados a dermatomiositis con cambios lipomembranosos existía una neumopatía intersticial. Por otro lado, cabe recordar que el tipo amiopático se ha relacionado con una mayor incidencia de neoplasias y de enfermedad pulmonar grave11-15. Respecto al tratamiento, las paniculitis responden bien y rápidamente al tratamiento convencional de las dermatomiositis.







