Hombre de 72 años ingresado por un hematoma subdural crónico, en tratamiento con dexametasona 12mg al día desde hacía tres meses como prevención del edema cerebral. Durante el ingreso hospitalario se detectaron numerosos nódulos subcutáneos diseminados de tres semanas de evolución y febrícula.
Exploración físicaEl paciente presentaba múltiples nódulos subcutáneos en diversas localizaciones del tegumento cutáneo, de predominio en el tronco, duros al tacto y no adheridos a los planos profundos. Algunos nódulos mostraban signos inflamatorios (fig. 1).
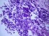
HistopatologíaAl realizar la biopsia de un nódulo cutáneo se obtuvo muestra para anatomía patológica y se drenó el material purulento. La tinción con hematoxilina-eosina permitió comprobar un denso infiltrado inflamatorio en la dermis profunda y la presencia de hifas tabicadas con ramificaciones de 45 grados (fig. 2).
Pruebas complementariasEn la analítica destacaba una leucocitosis con neutrofilia. En la radiografía de tórax se observó una lesión cavitada parahiliar izquierda (fig. 3). La TAC torácica mostró un tumor bien definido de 5cm de diámetro, con patrón en miga de pan y nivel hidroaéreo en el segmento anterior del lóbulo superior izquierdo. Se realizó una punción-aspiración con aguja fina, sin conseguir material suficiente para el diagnóstico. Los hemocultivos fueron negativos.
¿Cuál es su diagnóstico?
DiagnósticoAspergilosis cutánea secundaria.
Pruebas complementariasLos cultivos de la biopsia cutánea y del esputo fueron positivos para Aspergillus fumigatus.
Evolución y tratamientoA pesar del tratamiento endovenoso con caspofungina 50mg/ 24h y voriconazol 200mg/12h el paciente falleció a los 13 días.
ComentarioLa aspergilosis es la infección producida por las especies del género Aspergillus, siendo A. flavus y A. fumigatus las más frecuentes. La aspergilosis suele afectar a pacientes inmunocomprometidos, dado que los principales factores de riesgo son la neutropenia, la corticoterapia y las neoplasias malignas, tanto sólidas como hematológicas. La infección también se ha relacionado con la presencia de obras y movimiento de tierra en el hospital o cerca de él, al generar una mayor concentración de esporas del hongo en el ambiente.
La aspergilosis cutánea se divide en tres formas clínicas. La forma primaria aparece tras la inoculación directa del hongo en la piel1. La forma secundaria o hematógena se produce cuando el hongo llega a la piel por vía sanguínea desde el pulmón2. Esta forma clínica sólo ocurre en un 4% de los casos de aspergilosis sistémica3. La forma terciaria, o por invasión directa, se produce cuando el hongo invade la piel contigua a partir de un foco vecino, como por ejemplo los senos. El agente etiológico más frecuente de la aspergilosis primaria es A. flavus y de la secundaria es A. fumigatus. Otras especies que pueden encontrarse, como agentes causales, aunque con menor frecuencia son: A. níger, A. terreus y A. nidulans.
Para realizar el diagnóstico de la aspergilosis cutánea se precisa una biopsia cutánea. Con las tinciones de PAS y metenamina argéntica se pueden observar hifas tabicadas con ramificaciones uniformes de 45°. El cultivo permitirá confirmar la aspergilosis y determinar la especie. El hemocultivo es negativo en la mayoría de los casos. La radiografía de tórax, la TAC torácica y el estudio histológico son imprescindibles para el diagnóstico de la infección pulmonar primaria. Sin embargo, el cultivo del esputo es de poca utilidad, dado que no permite diferenciar entre colonización pulmonar o enfermedad invasiva.
En el tratamiento de la aspergilosis invasiva se utiliza voriconazol, posaconazol, anfotericina B y caspofungina por vía endovenosa4. Pese al tratamiento, la aspergilosis cutánea secundaria tiene una mortalidad mayor del 90%5.
Conflicto de interesesLos autores declaran no tener ningún conflicto de intereses.





