Una mujer de 24 años, sin antecedentes de interés, consultó por una lesión lumbar derecha de dos años de evolución que había aumentado de tamaño durante los últimos seis meses y se había hecho dolorosa con el roce.
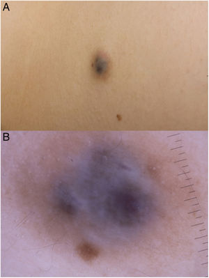
En la exploración física se observó un nódulo azulado de 1,5 x 1,5 cm rodeado de un halo marrón, sin frémito, pulso, ni aumento de la temperatura local (fig. 1A).
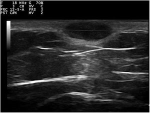
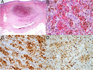
La dermatoscopía reveló un fondo azul violáceo homogéneo, sin estructuras vasculares en su interior, rodeado por un retículo pigmentado fino monomorfo (fig. 1B). En el estudio ecográfico se observó un tumor subcutáneo, constituido por áreas hipoecogénicas (fig. 2) y que no presentaba flujo en modo Doppler color. Se extirpó la lesión con los posibles diagnósticos de sospecha de dermatofibroma aneurismático, hemangioma microvenular, nevus combinado y melanoma. En el estudio histológico se observó un nódulo dérmico constituido por una proliferación de células histiocíticas con la presencia de múltiples capilares y hemosiderófagos, así como de bandas de colágeno en la periferia (fig. 3A). Además, destacaban ectasias y canales sin revestimiento endotelial con hematíes extravasados y hemosiderina (fig. 3B). La inmunohistoquímica fue positiva para CD 68 (fig. 3C) y factor XIII, y negativa para CD 31, CD 34 (fig. 3D) y S100.
¿Cuál es su diagnóstico?
DiagnósticoDermatofibroma aneurismático.
ComentarioEl dermatofibroma aneurismático (DFA), es una variante poco frecuente de dermatofibroma, constituyendo menos del 2% de estos tumores. En general, se trata de lesiones únicas con una coloración violácea, marrón o negruzca, de un tamaño mayor al habitual, que se localizan en el tronco o las extremidades de personas jóvenes. La tasa de recurrencia tras la exéresis es de un 2%. El diagnóstico diferencial se plantea con otros tumores benignos como hemangiomas, o malignos como el sarcoma de Kaposi, melanoma, histiocitoma fibroso maligno angiomatoide o metástasis cutáneas1. En la dermatoscopía se ha descrito un fondo homogéneo de color azulado, sin estructuras vasculares, rodeado por un retículo pigmentado fino monomorfo2.
Ecográficamente los dermatofibromas suelen verse como áreas hipoecoicas y mal definidas que distorsionan y amplían los folículos pilosos y que no contienen depósitos cálcicos. En el doppler color suelen ser hipovasculares, aunque pueden mostrar vasos arteriales y venosos delgados de flujo lento. En la ecografía del DFA se han descrito zonas anecoicas sin flujo en el Doppler, que se corresponderían histológicamente con áreas de hemorragia. Además, se pueden encontrar áreas con flujo que estarían en relación con zonas vasculares y celulares del tumor3–5.
La microscopia confocal (MC) es una técnica diagnóstica no invasiva que permite estudiar lesiones localizadas hasta la dermis papilar. En la MC del DFA se observan espacios circunscritos con áreas de reflectancia variable, lo que describen como imagen en cardumen.6
A nivel histológico, en el DFA se observa una proliferación de células fibrohistiocitarias distribuidas en un patrón estoriforme y con áreas de ectasia llenas de hematíes o hemosiderina, pero que no corresponden a verdaderas estructuras vasculares, siendo negativos los marcadores endoteliales CD 31 y CD 34. Los marcadores CD 68 y FVIII son positivos y el S100 es negativo, lo que permite diferenciarlos de otros tumores como el sarcoma de Kaposi, dermatofibrosarcoma protuberans, melanoma y algunos tumores de estirpe neural. Según los casos descritos en la literatura se trata de un tumor con una alta tasa de recidiva, cercana al 20% tras una exéresis incompleta, por lo que también se ha intentado el tratamiento con cirugía de Mohs.5 Nuestra paciente permanece asintomática y libre de recidivas tras un año de seguimiento.
En conclusión, tanto la dermatoscopía como la ecografía son pruebas inocuas que nos ayudan en el diagnóstico diferencial de los nódulos subcutáneos. Es necesario aportar más estudios en esta rara variante de dermatofibroma que permitan definir sus criterios diagnósticos desde el punto de vista clínico-dermatoscópico y radiológico. Mientras tanto es necesario extirpar los casos sospechosos de DFA, ya que sólo la histología permite realizar su diagnóstico con seguridad.
Conflicto de interesesLos autores declaran no tener ningún conflicto de intereses.





