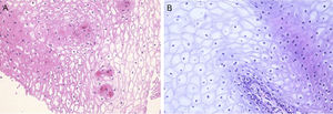
Un niño de 5 meses sano, sin antecedentes familiares de interés y con embarazo y parto sin alteraciones, fue valorado por la presencia de unas placas blanquecinas localizadas en la mucosa oral externa e interna (fig. 1), que los padres referían que eran congénitas. Presentaba una placa blanco-amarillenta que afectaba a la mucosa labial externa y, además, en la mucosa lingual lateral y la mucosa yugal se observaban unas placas blanquecinas de aspecto aterciopelado que no se desprendían con la fricción. No se observaron otras alteraciones en las uñas, el pelo, la piel o las mucosas. Tampoco presentaba estridor. Ninguno de los progenitores tenía lesiones similares. Se realizó una laringoscopia bajo sedación que descartó la afectación de la vía respiratoria. La biopsia de las lesiones yugales evidenció una mucosa acantósica, con queratinocitos de citoplasma claro, edema intracelular y células disqueratósicas aisladas (fig. 2). En el estudio molecular no se detectaron alteraciones. Para el estudio genético, se secuenció el exoma humano mediante Illumina DNA Prep with Exome v2.0 PLUS Enrichment con una cobertura total de 37,5Mb a partir de una muestra de ADN de sangre periférica. Para el análisis terciario se utilizó el software de análisis Geneyx basándose en los siguientes fenotipos HPO: nevus, white sponge nevus y pachyonychia congenita. Adicionalmente, se revisaron específicamente los genes KRT13, KRT4, KRT6A y KRT6B. Por los hallazgos clínico-histológicos y la ausencia de otros signos asociados se realizó el diagnóstico de nevus blanco esponjoso (NBE).
El NBE es una enfermedad infrecuente, de herencia autosómica dominante, con una penetrancia y expresividad variables1,2. Se han aislado mutaciones en línea germinal en los genes de la citoqueratina 4 y 13 en pacientes con esta alteración. A pesar de ello, Liu et al. realizaron el estudio molecular en sangre periférica en 5 pacientes con NBE esporádico y solo en uno se halló una mutación en una de estas citoqueratinas, al contrario que en los 3 pacientes con NBE familiar que se analizaron, en los que en todos se detectaron mutaciones en la citoqueratina 4 o en la citoqueratina 133,4.
La localización más frecuente es la mucosa yugal, seguida de otras partes de la mucosa oral o labial, pero también puede afectarse el esófago, el tracto respiratorio, el recto o los genitales. Clínicamente, se presenta como unas placas blanquecinas engrosadas, bilaterales y simétricas, con una superficie aterciopelada y que no desaparecen con la fricción2,5. En la histología, es característica la presencia de acantosis, hiperparaqueratosis, la vacuolización de los queratinocitos en los estratos suprabasales y, en ocasiones, se hallan unos depósitos eosinófilos perinucleares de tonofilamentos de citoqueratina.
El NBE suele desarrollarse en la infancia temprana, cuando el diagnóstico es clínico, aunque puede detectarse en adultos, en los que se recomienda el estudio histológico con el objetivo de descartar otras posibles etiologías1. En niños, se debe descartar una candidiasis y diferenciarlo de otras entidades como la paquioniquia congénita, la disqueratosis intraepitelial benigna hereditaria y la disqueratosis congénita (tabla 1). Si se sospecha un NBE en la edad adulta se debe realizar el diagnóstico diferencial con el liquen plano, el carcinoma escamoso, la línea alba, la leucoplasia friccional, la enfermedad de Darier, el lupus eritematoso o la sífilis secundaria1,2.
Diagnóstico diferencial entre causas de leucoplasia en la infancia
| Paquioniquia congénita6 | Disqueratosis intraepitelial benigna hereditaria7 | Disqueratosis congénita8 |
|---|---|---|
| Mutaciones en citoqueratinas: 6A, 6B, 6C, 16 y 17Queratodermia palmoplantarAfectación laríngeaHiperqueratosis subunguealHiperhidrosisLeucoplasia oralQuistes epidérmicos o esteatocistomas múltiples | Distrofia cornealLesiones blanquecinas en conjuntiva bulbar y mucosa oralHiperemia conjuntival | Asociada a alteraciones teloméricas. Mayor número de mutaciones patógenas en el gen DKC1, seguido de RTEL1 y TERTPredominio en varonesHiperpigmentación reticulada (posible hipopigmentación, atrofia, poiquilodermia)Distrofia unguealLeucoplasiaAfectación de otros órganos: médula ósea, pulmones, hígado |
Se han descrito múltiples tratamientos con una efectividad variable para el NBE: tetraciclinas tópicas u orales, cirugía, láser de CO2, betacarotenos, enjuagues de clorhexidina, u otros. El objetivo terapéutico es fundamentalmente estético al tratarse de una condición benigna y asintomática2,3.
En conclusión, se ha descrito un NBE esporádico que presentaba una extensa afectación de la mucosa oral. Destacaba la gran afectación de la mucosa labial externa, algo poco habitual en esta entidad.
Conflicto de interesesLos autores declaran no tener ningún conflicto de intereses.






