Caso clínico
Una mujer de 46 años sin antecedentes personales o familiares de interés, consultó por la presencia de lesiones asintomáticas de 4 meses de evolución en la vulva. No había seguido ningún tratamiento.
Exploración física
En ambos labios mayores se observaron múltiples pápulas blanquecinas, monomorfas, de aspecto quístico, de 3 mm de diámetro (fig. 1). No se objetivaron lesiones en el resto de la vulva. Se realizó biopsia de una de estas lesiones (fig. 2).
Figura 1.
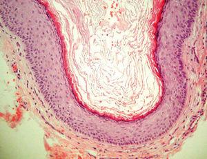
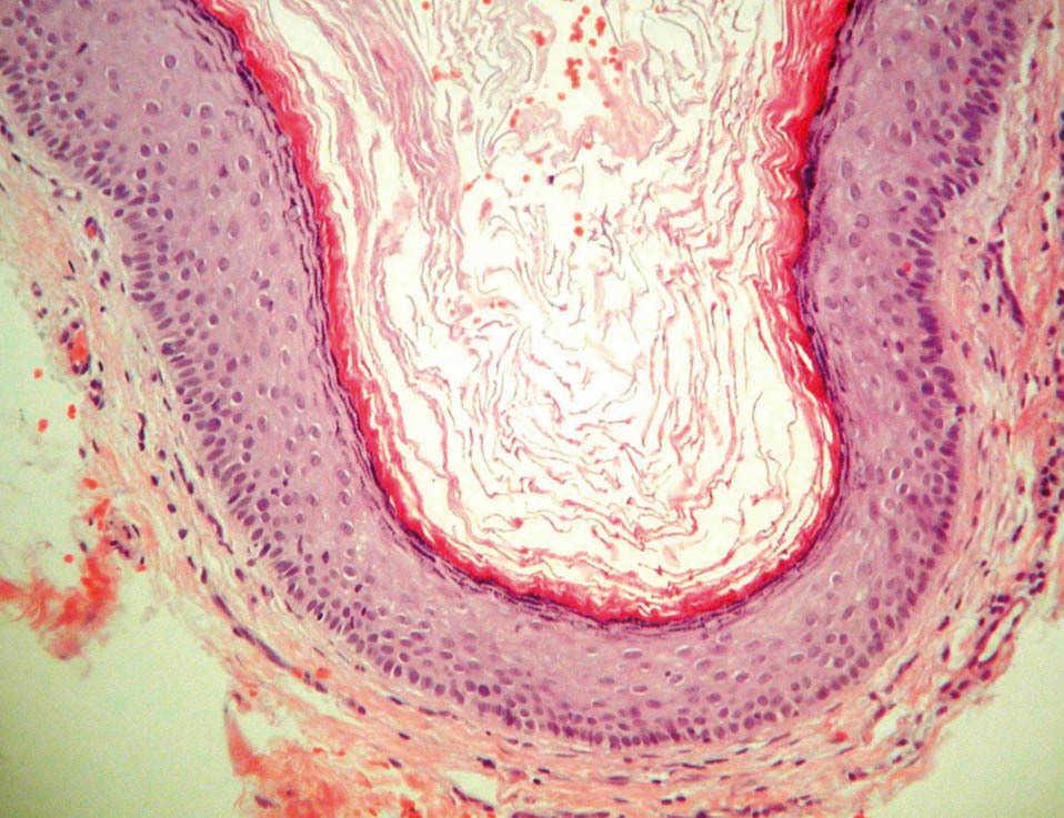
Figura 2. Hematoxilina-eosina, ×200.
Histopatología
En el estudio histopatológico de una de las lesiones se observó en la dermis una cavidad quística revestida por un epitelio escamoso estratificado con capa granulosa (fig. 2).
¿Cuál es su diagnóstico?
Diagnóstico
Quistes epidermoides múltiples vulvares.
Evolución
Debido a la ausencia de síntomas, la falta de demanda terapéutica por parte de la paciente y la naturaleza benigna de las lesiones, se decidió adoptar una actitud conservadora y no realizar tratamiento.
Comentario
Los quistes son lesiones cutáneas benignas muy frecuentes, de diagnóstico histológico, dividiéndose en 3 grupos principales atendiendo a la presencia o ausencia de revestimiento epitelial y al tipo del mismo (estratificado escamoso, estratificado no escamoso y ausencia de epitelio). Los quistes más frecuentes son los epidermoides, que pueden aparecer en cualquier localización, pero son más comunes en la cara y el tronco. Se originan del infundíbulo folicular, por lo que también se les conoce como quistes infundibulares, y en la microscopía se observa una cavidad quística rellena de láminas de queratina, revestida por un epitelio escamoso estratificado con capa granulosa. Los milia son pequeños quistes epidermoides, de 1-2 mm de tamaño histológicamente idénticos1.
Al revisar la literatura apenas hay casos publicados de quistes múltiples vulvares como el que presentamos. Hasta la fecha sólo hemos encontrado un caso de quistes epidermoides múltiples tipo milia en los labios mayores, de aparición espontánea en una mujer de 64 años2. Se han descrito otros tipos de quistes múltiples en la vulva, como los quistes foliculares pigmentados, los esteatocitomas y los quistes tricolemales proliferativos.
Los quistes foliculares pigmentados fueron descritos en 1982 y hay pocos casos publicados. Suelen presentarse como un nódulo solitario pigmentado en la cabeza o el cuello de varones adultos. Están revestidos por un epitelio estratificado escamoso con capa granulosa que conecta con la epidermis a modo de poro. En su interior se observan pelos. En la actualidad sólo se ha descrito un caso de quistes fo-liculares múltiples vulvares en una mujer de 62 años con 8 lesiones en labios mayores que se trataron con láser de CO23.
El esteatocistoma múltiple es un trastorno hamartomatoso poco frecuente de la unidad pilosebácea con herencia autosómico dominante. Aparece durante la pubertad como múltiples pápulas y nódulos fundamentalmente en tronco y extremidades superiores. En el estudio microscópico se observa un quiste envuelto por un delgado epitelio escamoso, con granulosa a su vez revestida por una cutícula delgada, irregular y ondulada de aspecto eosinófilo. En la pared del quiste o adyacentes a la misma se encuentran lobulillos sebáceos de pequeño tamaño. Se han descrito dos casos (de 81 y 60 años respectivamente) con esteatocitomas múltiples esporádicos en la vulva, que no precisaron tratamiento4.
El quiste tricolemal proliferativo típicamente aparece como un nódulo en el cuero cabelludo de mujeres ancianas y suele tener un comportamiento benigno, aunque puede ser focalmente invasivo, por lo que se recomienda la cirugía amplia. Histológicamente consiste en bandas anchas anastomosadas y nódulos de epitelio escamoso. Este epitelio muestra una proliferación de células con abundante citoplasma eosinófilo, que queratinizan de forma abrupta y da lugar a una queratina densa y homogénea que rellena el espacio quístico. Tan sólo se ha descrito el caso de una mujer de 60 años, con quistes tricolemales proliferativos múltiples en los labios mayores y menores de la vulva, la piel suprapúbica y el muslo. Las lesiones eran pápulas y nódulos del color de la piel, de entre 3 mm y 1 cm, de rápido crecimiento en número y tamaño, estando algunos de ellos ulcerados; el tratamiento fue una vulvectomía5.
El diagnóstico diferencial de las lesiones papulosas múltiples vulvares es amplio y además de las lesiones quísticas anteriormente citadas se deben tener en cuenta otras entidades. Destacamos los siringomas y la enfermedad de Fox-Fordyce, que aunque afectan otras localizaciones, se han descrito algunos casos en los que aparecen como pápulas múltiples en la vulva6,7. Otros dos cuadros, la disqueratosis acantolítica de vulva y la calcinosis idiopática vulvar se pueden presentar como pápulas múltiples blanquecinas pero hay muy pocos casos publicados.
La presencia de quistes epidermoides múltiples en el área vulvar es muy poco frecuente. En cuanto al tratamiento, como son lesiones benignas, dependerá de la demanda de la paciente. Puede realizarse extirpación quirúrgica de las lesiones que molesten más o valorar la terapia con láser de CO2.
Conflicto de intereses
Declaramos no tener ningún conflicto de intereses.
Correspondencia:
Mónica García Arpa.
Ronda de Alarcos, 36, 4.º A.
13002 Ciudad Real. España.
Correo electrónico: mgarciaa73@yahoo.es
Aceptado el 15 de noviembre de 2006.




