INTRODUCCION
El mixedema pretibial se describe habitualmente como una manifestación de la enfermedad de Graves. Sin embargo, se han descrito casos de mucinosis pretibial no asociados a enfermedades del tiroides, que probablemente sean ocasionados por alteraciones del retorno venoso o linfático. Existen signos histológicos que permiten la diferenciación de estas dos etiologías del depósito de mucina pretibial.
DESCRIPCION DEL CASO
Un varón de 86 años consultó por la presencia de una placa pretibial izquierda asintomática, que en el último año había ido creciendo y casi circundado la pierna. Presentaba antecedentes de diabetes mellitus tipo II controlada con dieta, insuficiencia cardíaca congestiva, miocardiopatía hipertensiva, e insuficiencia venosa de más de 10 años de evolución. En la exploración física se apreciaba una placa en el tercio distal de la pierna izquierda, de 7 cm de ancho máximo en la zona anterior y que formaba una banda más estrecha en la parte posterior de la pierna, compuesta por pequeñas pápulas confluentes, de color céreo pardusco, con áreas purpúricas (fig. 1). Se observaron, además, un intenso edema con fóvea en ambas piernas y varicosidades bilaterales. En las exploraciones complementarias destacaban: hormona tiroestimulante (TSH), 1,81 μU/ml (normal, 0,35-4,94), ausencia de anticuerpos antitiroideos (antiperoxidasa, antitiroglobulina y antirreceptor de TSH), un proteinograma e inmunoelectroforesis en sangre y orina normales, y una serología de virus de la inmunodeficiencia humana (VIH) negativa.
Fig. 1.--Placa pretibial izquierda.
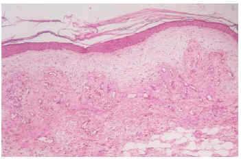
El estudio histológico de las lesiones mostró la presencia de un cierto grado de atrofia epidérmica y cambios de estasis crónico con una proliferación de ovillos capilares, hemorragia y hemosiderina. Destacaba la presencia en la dermis papilar de áreas mixedematosas, contiguas a la epidermis, con fibroblastos estrellados (mucoblastos) y con la presencia de un material granular y filamentoso de tipo mucina dérmica (azul alciano [pH 2,5] positivo y ácido peryódico de Schiff [PAS] negativo) (fig. 2). El depósito de mucina no afectaba a la dermis reticular.
Fig. 2.--Depósito de mucina en la dermis papilar, sin zona grenz, y con angioplasia y hemosiderina (hematoxilina-eosina).
DISCUSION
El mixedema pretibial es una mucinosis cutánea primaria, que suele considerarse una manifestación de la enfermedad de Graves1. Ocasionalmente, se han descrito casos sin enfermedad tiroidea, y en pacientes eutiroideos con signos de alteración inmunológica antitiroidea2-4. En 1993, Somach et al5 publicaron una serie de casos de depósito de mucina pretibial, en la que distinguían los casos en los que existía una enfermedad de Graves de aquellos no asociados con ella. Los no asociados con una enfermedad de Graves tenían como denominador común la presencia de enfermedades que ocasionan estasis crónica. Además, definieron unos criterios histológicos que sirven para diferenciar el mixedema pretibial (asociado a enfermedad de Graves) de la mucinosis pretibial por estasis crónica5. Así, sugieren la asociación con enfermedad del retorno venoso o linfático; la presencia de mucina en la dermis papilar hasta la unión dermoepidérmica y sin afectar a la dermis reticular, la existencia de angioplasia y el depósito de hemosiderina. En el mixedema pretibial de la enfermedad de Graves existe una zona de colágeno respetado bajo la unión dermoepidérmica, la mucina llega a la dermis reticular, y son infrecuentes la angioplasia o el depósito de hemosiderina.
El caso clínico de nuestro paciente ilustra este cuadro clínico y la utilidad de los signos histológicos para diferenciar ambas etiologías.




