INTRODUCCION
El leiomiosarcoma de útero es un tumor muy raro y de mal pronóstico, con gran posibilidad de metástasis. Sin embargo, la incidencia de metástasis cutáneas es excepcional, y existen pocos casos descritos en la literatura. Presentamos un caso de leiomiosarcoma de útero con metástasis cutánea única, en espalda, diagnosticada a los 14 meses del tumor uterino.
DESCRIPCION DEL CASO
Una paciente de 43 años, fumadora de 20 cigarrillos al día, fue sometida en febrero de 2000 a una histerectomía total con anexectomía derecha por síntomas de dolor abdominal y metrorragias producidas por múltiples miomas. El estudio histopatológico de la pieza quirúrgica demostró, además de múltiples y pequeños leiomiomas, un leiomiosarcoma uterino de 8 cm de diámetro máximo que no sobrepasaba la serosa.
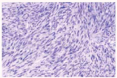
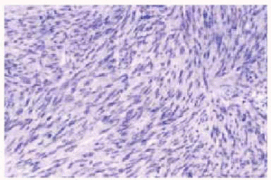
En diciembre del mismo año, la paciente aquejó dolor en la parte más alta de la espalda y 3 meses después la aparición de un nódulo en esta localización de crecimiento rápidamente progresivo, por lo que acudió a nuestra consulta. A la exploración física se apreció, en la línea media y alta de la espalda, un nódulo de aproximadamente 4 x 3 cm de diámetro, adherido a planos profundos, de consistencia dura, doloroso al tacto y recubierto por piel de aspecto normal. Se realizó una punción-aspiración con aguja fina (PAAF) de la lesión, cuyo diagnóstico citopatológico fue de una proliferación mesenquimatosa atípica compatible con metástasis de leiomiosarcoma. Microscópicamente, tanto la biopsia como la posterior pieza de extirpación de la lesión mostraban una epidermis y una dermis sin alteraciones. El tejido celular subcutáneo se encontraba infiltrado por una proliferación mesenquimatosa maligna constituida por fascículos entrecruzados de células fusiformes (fig. 1). A mayor aumento, las células mostraban un citoplasma eosinófilo mal definido y un núcleo elongado e hipercromático, a veces con nucléolo patente (fig. 2). El índice mitótico era muy elevado (al menos 20 mitosis por cada 10 campos de gran aumento), y se observaban algunas mitosis atípicas (fig. 2). También se observaban extensas áreas de necrosis. Con técnicas de inmunohistoquímica, las células neoplásicas resultaron positivas para vimentina, desmina y actina HHF-35 y 1A4, y negativas para queratinas de amplio espectro (AE1-AE3), proteína S-100, receptores de estrógenos y progesterona. El índice proliferativo fue del 20 %. Con el diagnóstico histopatológico de «metástasis cutánea de leiomiosarcoma uterino» se realizó un estudio de extensión (tomografía computarizada [TC] toracoabdominopélvica), que resultó negativo. Se decidió realizar tratamiento poliquimioterápico (8 ciclos).
Fig. 1.--Metástasis cutánea de leiomiosarcoma uterino. Fascículos entrecruzados de células musculares lisas con numerosas figuras de mitosis (HE).
Fig. 2.--Detalle donde se observa que las células neoplásicas muestran núcleos fusiformes con diversos grados de atipia y frecuentes mitosis, algunas de ellas atípicas (inset) (HE).
La paciente permaneció en remisión completa hasta febrero de 2002, cuando se le diagnosticaron dos metástasis pulmonares que fueron extirpadas y posteriormente una nueva metástasis cutánea.
DISCUSION
Las metástasis cutáneas de una neoplasia son un fenómeno poco frecuente, con un porcentaje de aparición variable en las distintas series, pero que en algunas llega al 10 % de los casos de pacientes con neoplasia1. La incidencia de las metástasis cutáneas también depende de la frecuencia del tumor primario y del sexo. En los varones las causas más comunes de metástasis cutáneas por orden de frecuencia son el melanoma, el carcinoma de pulmón y el de colon y, en la mujer, el carcinoma de mama, el melanoma y el carcinoma de ovario1,2. Los sarcomas son tumores agresivos que afectan a la piel con escasa frecuencia, y representan el 2,6 % de todas las metástasis cutáneas2,3.
Los leiomiosarcomas son tumores malignos, poco frecuentes, derivados de fibras musculares lisas, que representan el 6,5 % de todos los sarcomas de partes blandas. Sus localizaciones más frecuentes son el retroperitoneo y el abdomen4. El leiomiosarcoma de útero es un tumor muy raro, aproximadamente el 1,3 % de todas las neoplasias uterinas, y con una incidencia anual de 0,64/100.000 habitantes5. La edad media de aparición es entre 45 y 55 años; las manifestaciones previas pueden ser sangrado vaginal (60 %), masa abdominal (50 %), dolor abdominal (15 %) o incluso a veces se manifiestan como metástasis pulmonar (10 %). El diagnóstico preoperatorio suele ser difícil de realizar a pesar de las técnicas de imagen y el legrado; generalmente, se diagnostica tras la histerectomía6. Microscópicamente, el leiomiosarcoma está constituido por haces entrelazados de células musculares lisas con diversos grados de atipia. Los principales criterios histológicos que ayudan a diferenciarlo de un leiomioma son la presencia de más de 10 mitosis por 10 campos de gran aumento, o un bien un mínimo de cinco asociado a atipia, y la existencia de necrosis. Con técnicas de inmunohistoquímica, estas lesiones son positivas para desmina, vimentina y actina, y negativas para proteína S-1007,8. El pronóstico es malo, con aproximadamente el 80 % de recurrencias en menos de 2 años, en general fuera de la pelvis (más del 60 %), o asociado a metástasis pélvicas (20 %). Su supervivencia a los 5 años es del 25-40 %6. El tratamiento es quirúrgico con histerectomía y doble anexectomía en estadios localizados, pero no existen regímenes terapéuticos claros para los casos de leiomiosarcoma metastático9.
Aunque existen pocos datos en la literatura médica sobre las metástasis, las localizaciones más frecuentes son las pulmonares y abdominales (hígado)6,9. La incidencia de metástasis cutáneas por este tumor es excepcional, habiéndose descrito apenas algunos casos en la literatura (tabla 1). El primer caso fue descrito por Gardner en 1917, en una paciente que presentaba metástasis en piel de área sacra y parte más alta de la espalda10. Posteriormente, se han descrito apenas otros 6 casos más; en algunos sólo se producen metástasis cutáneas11,12, en otros, la afectación de la piel se acompaña de metástasis en otros órganos13, y más tarde Zarcone et al14 describen 2 pacientes con metástasis pulmonares asociadas a las cutáneas (tres nódulos en los pies y un nódulo en antebrazo derecho, respectivamente). Alessi et al15 presentaron una paciente con metástasis pulmonares, óseas y cutáneas (cuero cabelludo y espalda). El caso descrito por Hirota et al16 asoció nódulos subcutáneos abdominales junto a metástasis retroperitoneales; esta paciente recibió tratamiento quirúrgico y quimioterápico con buena respuesta (ifosfamida, piramicina y cisplatino), sin signos de recidiva a los 27 meses de la terapia.
Debido a la gran capacidad metastásica de este tumor, ante una metástasis cutánea aislada siempre hay que descartar la presencia de metástasis asociadas en otras localizaciones, fundamentalmente pulmonares y pélvicas. En cuanto al tratamiento, en la actualidad no existe un régimen terapéutico bien establecido para los casos de leiomiosarcoma en estadio avanzado6,9.





