Historia clínica
Varón de 21 años de edad, sin antecedentes familiares ni personales de interés, que consulta por la aparición de una lesión pigmentada en el área gingival inferior desde hace 2 meses. Esta lesión era asintomática. El paciente refería haberse realizado empastes con plata en las piezas molares posteriores hacía 5 años.
Exploración física
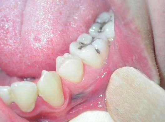
En la exploración cutánea se observa una lesión maculosa de color azul oscuro de 6 mm, homogénea en coloración y de bordes netos, localizada en la región gingival inferior izquierda (fig. 1). Esta mácula asentaba sobre el área gingival de la pieza dental anterior a los molares empastados (fig. 2). En la exploración con dermatoscopia (dermatoscopio Heine) se observa una pigmentación grisácea y azulada homogénea, sin patrón de red pigmentaria melánica.
Figura 1.
Figura 2.
Exploraciones complementarias
En el estudio radiológico (ortopantomografía) se observa el depósito de material metálico en dicha localización y en regiones de molares posteriores (fig. 3). No se realizó estudio histológico.
Figura 3.
¿Cuál es su diagnóstico?
Diagnóstico
Tatuaje gingival por amalgama dental.
Evolución y tratamiento
Se realizó una extirpación completa de la lesión por el servicio de cirugía maxilofacial, y se obtuvo un excelente resultado desde el punto de vista clínico y funcional.
Discusión
Los tatuajes por amalgamas dentales son lesiones que se producen por la implantación traumática yatrógena sobre tejidos blandos de partículas metálicas. Se considera la causa más frecuente de pigmentación exógena localizada en la mucosa oral, y oscila entre 0,4 y 8 % de casos, según diferentes series1,2. Los materiales más utilizados en este tipo de implantes son plata, mercurio, cobre, cinc y estaño.
La exploración clínica revela la aparición de máculas hiperpigmentadas asintomáticas, de color negruzco, azulado o grisáceo, no progresivas en crecimiento y cuya localización por orden de frecuencia son la región gingival, mucosa oral, alveolar, paladar y mucosa lingual3.
El estudio radiológico es recomendado para la confirmación de la presencia de partículas metálicas; sin embargo, la ausencia de hallazgos radiológicos no excluye este diagnóstico, ya que con frecuencia el tamaño de estas partículas es tan fino o está tan difusamente distribuido, que no permite su visualización. Se estima que únicamente en un 25 % de los casos existe confirmación radiológica3,4.
En los casos sin evidencia radiológica debe practicarse siempre una biopsia mucosa.
El estudio histológico revela un depósito de gránulos oscuros irregulares y fragmentos sólidos entre las fibras de colágeno y alrededor de los vasos sanguíneos. Ocasionalmente pueden observarse células gigantes multinucleadas de tipo cuerpo extraño, que fagocitan pequeñas partículas de amalgama.
Cuando se confirma el diagnóstico de tatuaje por amalgama dental no es necesario realizar tratamiento, salvo por razones cosméticas o estéticas. Los tratamientos descritos son exéresis quirúrgica, trasplante de mucosa oral5, aplicación de láser de Q-switched Alejandrita6 y de láser de Rubí, con resultados favorables.
Su importancia radica en su diagnóstico diferencial con otros procesos pigmentados de mucosa oral, tales como lesiones melanocíticas (nevus y melanoma maligno), léntigos de mucosas, melanoacantoma, lesiones vasculares como el sarcoma de Kaposi, etc.3,7.
En conclusión, hemos descrito un caso poco frecuente de esta forma de pigmentación oral que puede simular a una lesión melánica de mucosas.
Aunque en la mayoría de los casos los tatuajes por amalgamas se producen por implantación inadvertida de pequeñas partículas durante la actividad del odontólogo, en nuestro paciente, la aparición de esta pigmentación 5 años después del implante, nos sugiere otros mecanismos de producción, como la migración de estas partículas a través del tejido peridental hasta la mucosa gingival como consecuencia de los traumatismos continuados durante la masticación.
Conflicto de intereses
Declaramos no tener ningún conflicto de intereses.
Correspondencia:
Antonio Javier Chaves Álvarez.
Unidad de Dermatología.
Hospital Infanta Cristina.
Carretera de Portugal s/n.
06080 Badajoz.
antoniojchaves@yahoo.es
Aceptado el 15 de noviembre de 2006.





