INTRODUCCION
El nevo sebáceo es una lesión congénita frecuente, descrita por primera vez por Jadassohn en 1895 como un hamartoma de la piel1. Se localiza principalmente en el cuero cabelludo y la cara, y se manifiesta como una placa redondeada u ovalada, bien circunscrita, con superficie rugosa y color amarillento. No es infrecuente su asociación con otras entidades histológicas, benignas y malignas, en la misma lesión macroscópica.
Se analizan retrospectivamente los 366 pacientes diagnosticados de nevo sebáceo en nuestro departamento, determinando el tipo y frecuencia de lesiones epiteliales asociadas.
MATERIAL Y MÉTODO
Se han revisado las historias clínicas y preparaciones histológicas de los 366 pacientes diagnosticados en el Departamento de Anatomía Patológica del Hospital Universitario 12 de Octubre de Madrid, desde 1986 hasta 2001. Las piezas de exéresis se fijaron en formol tamponado al 4 % y fueron incluidas en parafina. Los cortes histológicos se tiñeron con hematoxilina-eosina. En cada uno de los pacientes se examinaron las siguientes características clinicopatológicas: edad, sexo, localización, tamaño, estudio microscópico, lesiones epiteliales y/o tumores asociados.
RESULTADOS
De los 366 casos estudiados, 207 eran varones y 159 mujeres. La edad media en el momento del diagnóstico fue de 38 años (límites, 2-85) y las localizaciones más frecuentes, el cuero cabelludo (239; 65,3 %), la región frontal (76; 20,7 %) y la cara (36; 9,8 %). Se extirparon 28 en menores de 16 años. El tamaño oscilaba entre 0,5 y 2,5 cm (1,3 cm de tamaño medio). En 37 pacientes (10,1 %) el nevo sebáceo era asiento de otras entidades histológicas (fig. 1-5).
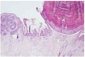
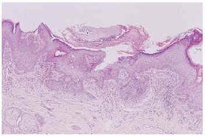
Fig. 1.--Nevo sebáceo asociado a carcinoma basocelular (izquierda) y verruga vírica (derecha) en un paciente de 27 años.
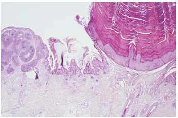
Fig. 2.--Nevo sebáceo asociado a tricoblastoma.
Fig. 3.--Nevo sebáceo asociado a hiperplasia sebácea.
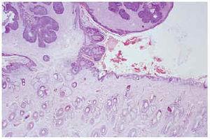
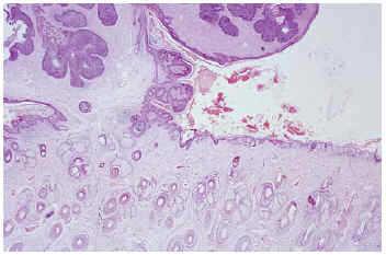
Fig. 4.--Nevo sebáceo asociado a verruga vírica con inducción de la epidermis de tipo basaloide.
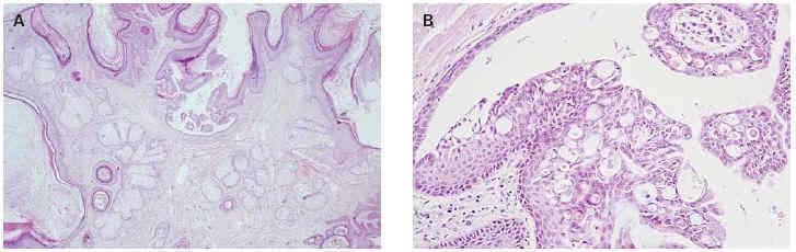
Fig. 5A y B.--Nevo sebáceo asociado a siringocistadenoma papilífero.
Las cuatro entidades histológicas más frecuentemente relacionadas con el nevo fueron la verruga vírica en 15 pacientes (4,09 %), siringocistadenoma papilífero en 12 pacientes (3,27 %), tricoblastoma en 8 pacientes (2,18 %) y carcinoma basocelular en 7 pacientes (1,91 %). En 12 casos se observaron lesiones múltiples que se desarrollaban sobre un mismo nevo. Se identificaron hasta tres lesiones diferentes asociadas simultáneamente al nevo sebáceo (tabla 1). La mayoría de las lesiones asociadas se localizaron en el cuero cabelludo (60,52 %), región frontal (21,05 %) y cara (13,15 %). El tipo histológico y la distribución de las lesiones asociadas según edad se reflejan en tablas 2 y 3.
En múltiples casos encontramos una inducción de la epidermis de tipo basaloide, de mayor o menor intensidad, constituida por células basaloides pequeñas, a veces con formación de empalizada periférica, que no llegaba a formar tumor.
Todos los casos fueron extirpados quirúrgicamente con márgenes amplios. En el seguimiento de los pacientes no se observó ningún caso recidivado ni otras complicaciones.
DISCUSION
El nevo sebáceo de Jadassohn es una lesión hamartomatosa que afecta a epidermis, glándulas ectópicas ecrinas, folículos pilosos y glándulas ectópicas apocrinas2. Se presenta al nacimiento o en los primeros años de vida. A pesar de su baja incidencia (366 casos en nuestros archivos entre más de 96.000 biopsias cutáneas) su importancia estriba en su asociación con tumores y otras lesiones.
Todas las series hasta ahora publicadas3-6 coinciden en señalar el siringocistadenoma papilífero como la lesión tumoral benigna más frecuentemente asociada con nevo sebáceo. Probablemente su aparición se deba a que las glándulas apocrinas heterotópicas localizadas en las zonas más profundas del nevo tiendan a sufrir dilatación y quistificación, abriéndose al exterior por ulceración de la superficie epidérmica. Este último cambio induce a la extirpación quirúrgica de la lesión. En nuestra serie, sin embargo, el siringocistadenoma papilífero es la segunda lesión en frecuencia que se asocia al nevo sebáceo, tras la verruga vírica. También en la serie de Jaqueti et al7 la verruga vírica es la lesión que más se asocia al nevo (14,8 %), así como el tricoblastoma (7,7 %) y el siringocistadenoma (6,4 %). En la serie de Cribier et al6 se describen 16 tricolemomas y 14 verrugas víricas que, en conjunto, suman tantos casos como los de siringocistadenoma asociado a nevo sebáceo, aunque el autor no destaca esta circunstancia.
La neoplasia maligna más frecuentemente descrita asociada al nevo sebáceo es el carcinoma basocelular. Su frecuencia varía de unas series a otras, debido sobre todo a las diferencias de interpretación en la definición de carcinoma basocelular frente a tricoblastoma, aunque también puede que entren en juego otros factores, como la media de edad de los pacientes en las distintas series. Steffen y Ackerman8 han sugerido que la mayoría de los llamados carcinomas basocelulares corresponden en realidad a tricoblastomas benignos. También se ha sugerido que la hiperplasia epidérmica que produce inducción folicular puede confundirse con carcinoma basocelular. En series publicadas entre 1962 y 19854-5,9-11 el carcinoma basocelular se identificó en un porcentaje entre el 6,5-50 % de todos los nevos sebáceos. En publicaciones más recientes, se aprecia una disminución de dicha asociación atribuible quizá, a otro factor más, la más pronta escisión de los nevos sebáceos por razones estéticas. Todo esto lo comparten también Cribier et al6, quienes en su serie de 565 nevos sólo refieren 5 carcinomas basocelulares frente a 28 tricoblastomas. Chun et al3 y Jaqueti et al7 no encuentran lesiones malignas asociadas en sus series de 165 y 155 nevos sebáceos revisados, respectivamente, infiriendo de este hallazgo la no necesidad de realizar escisión quirúrgica precoz de un nevo sebáceo para la prevención del desarrollo de neoplasias malignas.
Nuestro estudio sugiere que el desarrollo de neoplasias malignas en niños con nevos sebáceos es extremadamente raro. Aunque se han descrito 3 casos de carcinoma basocelular en niños de 5 a 9 años12-14, en nuestra serie la única lesión asociada al nevo sebáceo en menores de 10 años fue la verruga vírica. Nuestra serie no recoge ningún caso de neoplasia maligna asociada a nevo sebáceo en pacientes menores de 27 años. Nuestra experiencia, apoya pues la idea de que la mayoría de los cambios clínicos en niños menores de 10 años con nevos sebáceos corresponde a verrugas víricas. Sin embargo, la presencia de una verruga vírica en un nevo no excluye malignidad, aunque esta complicación sea improbable en pacientes menores de 30 años.
En resumen, aunque la asociación de nevos sebáceos con neoplasias malignas se haya sobrestimado en la mayoría de los estudios publicados previamente, no cabe duda de que ésta existe en una pequeña, pero no despreciable, proporción de casos de pacientes con nevo sebáceo. Creemos, no obstante, que no existe razón para recomendar cirugía profiláctica durante la infancia, ya que la incidencia de neoplasia maligna es excepcional, aunque la escisión quirúrgica puede ser considerada con fines estéticos durante esta etapa de la vida. El tratamiento, seguimiento y pronóstico de los tumores asociados no varía respecto al proceder habitual del tumor aislado, y el éxito de la terapéutica radica en la extirpación quirúrgica con márgenes amplios. Ambos, dermatólogo y patólogo, deben tener en cuenta estos hechos para mejorar el cuidado de estos pacientes.










