INTRODUCCION
De los tipos de respuesta descritos por Mehregan1 frente a la presencia de sustancias anormales en la dermis, las partículas más pequeñas serían eliminadas a través de canales epidérmicos angostos, con poco daño de estructuras adyacentes. Mehregan denominó a este fenómeno como eliminación transepidérmica y definió a su vez tres tipos de transmigración, de acuerdo con el tamaño de la sustancia eliminada y al grado de reacción de la epidermis1,2.
Se ha descrito la eliminación transepidérmica de organismos en la lepra, tuberculosis, cromoblastomicosis, blastomicosis, criptococosis, botriomicosis, histoplasmosis, aspergilosis y esquistosomiasis3-10.
La mayoría de estos organismos serían eliminados según los tipos II y III de trasmigración de Mehregan1,2, es decir, a través de microabscesos o bien vía histiocitaria, en el interior de una epidermis acantósica, con formación de pequeños canales y denso infiltrado inflamatorio de la dermis. En los casos de leishmaniasis, la transmigración se produciría según el tipo I descrito por Mehregan1,2 en una epidermis sin mayor disrupción anatómica y con mínimo infiltrado inflamatorio. Se ha descrito eliminación de los cuerpos de leishmanias a través de los queratinocitos10-13, los folículos pilosos12 y las glándulas sudoríparas ecrinas2.
A continuación se describen 2 nuevos casos de eliminación transepidérmica en 2 pacientes con leishmaniasis visceral y sida.
DESCRIPCION DE LOS CASOS
Caso 1
Un varón de 36 años de edad, ex adicto a drogas por vía parenteral, con antecedentes de infección por VIH en estadio C3, tuberculosis pulmonar, retinitis por citomegalovirus y hepatopatía crónica por virus C con descompensación ascítica previa, aquejaba desde hacía aproximadamente 2 años una anemia muy grave y presentaba una erupción cutánea intensamente pruriginosa, negándose en repetidas ocasiones a la realización de las pruebas diagnósticas.
El paciente es traído en la actualidad por un cuadro febril de 2 semanas de evolución con deterioro importante del estado general. A la exploración destacó una marcada hepatoesplenomegalia y una erupción cutánea generalizada, constituida por múltiples pápulas hiperpigmentadas, con importante afectación de manos y pies (fig. 1).
Fig. 1.--Múltiples pápulas eritematovioláceas en el dorso de las manos.
La ecografía abdominal mostró hepatomegalia homogénea y bazo marcadamente aumentado de tamaño y la biopsia de médula ósea reveló una importante parasitación por leishmanias. En la analítica destacaba una cifra de 1.100 leucocitos/ml, con 530 linfocitos totales; CD4, 15; hemaglobina, 5,8 g/dl; hematocrito, 18 %; volumen corpuscular medio (VCM), 87; plaquetas, 50.000/ml; actividad de protrombina, 39 %; urea, 54; creatinina, 1,2 mg/dl; GOT, 65 U/l; LDH, 295 U/l. La serología para leishmania (IFI) resultó positiva a título 1/1.280.
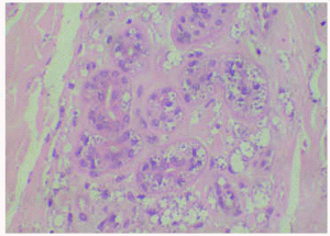
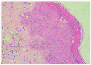
La biopsia cutánea mostró una epidermis con hiperqueratosis homogénea sin paraqueratosis y mínimo infiltrado inflamatorio. Se observaban múltiples amastigotes en el interior de los queratinocitos, con degeneración vacuolar y libres a todos los niveles de la epidermis, incluyendo la capa granulosa y entre la queratina de la capa córnea. También se observaron en menor proporción en el conducto excretor ecrino y en el acrosiringio. En la dermis y la hipodermis se apreciaban múltiples organismos intra y extracelulares, entre los haces de colágena, alrededor de las glándulas ecrinas, entre los adipocitos y alrededor de los vasos sanguíneos (figs. 2 y 3).
Fig. 2.--Numerosas leishmanias a todos los niveles de la epidermis, incluida la granulosa y entre la queratina de la capa cornea. (Hematoxilina-eosina, x400.)
Fig. 3.--Abundantes amastigotes en las glándulas y ductos ecrinos. (Hematoxilina-eosina, x400.)
Se inició tratamiento con glucantime intramuscular a dosis de 850 mg/día durante 3 semanas con bastante mejoría de las lesiones cutáneas, precisándose varios ciclos con antimoniales hasta la actualidad, por posteriores recidivas.
Caso 2
Un varón de 35 años de edad, ex ADVP, con antecedentes de VIH en estadio B3, tuberculosis pulmonar e infección por el VHC, ingresó para estudio de pancitopenia, fiebre y dolores articulares. En la exploración se apreciaron múltiples lesiones cutáneas papulonodulares en el tronco y extremidades, adenopatías inguinales y en la cara anterior del muslo derecho. En la analítica destacaba una cifra de leucocitos de 1.700/ml, con 390 linfocitos totales y CD4, 32; hemoglobina, 9 g/dl; hematocrito, 27 %; VCM, 84; plaquetas, 80.000/ml; velocidad de sedimentación globular, 73; LDH, 223 U/l. Resto de parámetros normales. La serología (IFI) para leishmanias resultó negativa.
La ecografía abdominal reveló hepatosplenomegalia homogénea y adenopatías mesentéricas y retroperitoneales. La ecografía de partes blandas reveló adenopatías en el muslo derecho. Las biopsias del ganglio inguinal derecho y de la médula ósea mostraron abundantes parásitos del género leishmania.
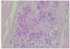
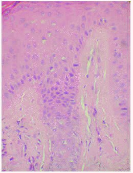
Se realizó una biopsia cutánea observándose una epidermis con hiperqueratosis compacta sin paraqueratosis, y mínimo infiltrado inflamatorio en la dermis. Se detectaban múltiples cuerpos de leishmania en dermis papilar y reticular, tanto en el interior de los macrófagos como libres entre los haces de colágena, y alrededor de las glándulas ecrinas. Se encontraron amastigotes en queratinocitos basales y en número muy escaso en estratos medios de la epidermis; en cambio, existían en gran cantidad en el interior de los acrosiringios, en los ductos ecrinos y en las glándulas ecrinas subyacentes (fig. 4).
Fig. 4.--Eliminación de leishmanias a través de los acrosiringios. (Hematoxilina-eosina, x400.)
Se inició tratamiento con glucantime a dosis de 850 mg/día durante 3 semanas, con excelente evolución, muy buena respuesta de las lesiones cutáneas y de los dolores articulares, con disminución del bazo y de la LDH. A pesar de esta favorable respuesta inicial se precisaron varios ciclos de tratamiento con glucantime (850 mg/día) más alopurinol (900 mg/día) por recidivas posteriores, planteándose en la última recaída iniciar tratamiento con anfotericina liposomal.
DISCUSION
La mayoría de los casos de leishmaniasis visceral en pacientes con VIH se presentan en estadios avanzados de la enfermedad, con recuentos de linfocitos CD4 inferiores a 200 cél./ml y alrededor del 70 % cumplen criterios de sida14. En zonas endémicas se estima que entre el 1 y el 3 % de los pacientes con sida están infectados14. De hecho, aunque la leishmaniasis no esté en la actualidad incluida entre los criterios definitorios de sida se ha propuesto su inclusión15. Las manifestaciones clínicas de leishmaniasis visceral en estos pacientes no son sustancialmente diferentes a las de los pacientes inmunocompetentes. El 75 % presentan la tríada clásica de fiebre, hepatosplenomegalia y pancitopenia, de evolución crónica y recurrente. Sin embargo, se pueden presentar manifestaciones clínicas y localizaciones atípicas, síntomas vagos, hepatosplenomegalia ligera y alteraciones analíticas o serológicas negativas16.
El compromiso cutáneo, que puede preceder o seguir a la afectación visceral, parece ser más frecuente en pacientes con sida. Destacan la gran variabilidad en su presentación clínica, la tendencia a la recidiva y el intenso prurito de las lesiones17. No existe una forma cutánea característica y puede presentarse en forma de máculas13,17,18, placas13,17, pápulas13,17-19, nódulos2,19, lesiones similares a dermatomiositis13, formas difusas20, úlceras18 e infiltración de tatuajes17.
La detección de leishmanias en las lesiones cutáneas no implica necesariamente el papel causal del parásito en ellas; es necesario descartar otros procesos y demostrar una clara correlación con la evolución sistémica y con la respuesta al tratamiento17,18. De hecho, se ha demostrado el parásito coincidiendo con lesiones de sarcoma de Kaposi2,15,21, dermatofibroma17, psoriasis17, síndrome de Reiter17, aftas bucales17, y en coinfección con el virus del herpes22,23 con el criptococo17, y en la angiomatosis bacilar17. También se ha descrito en múltiples biopsias de piel sana2,13,15, a lo que Perrin et al2 denominaron «leishmaniasis silente», lo cual sugiere la inclusión de esta enfermedad entre las causas de dermatosis invisibles. El estudio histopatológico de las lesiones cutáneas de leishmaniasis visceral, así como de la piel aparentemente normal en pacientes con sida, suele mostrar un infiltrado inflamatorio linfohistiocitario perivascular, predominantemente en la dermis papilar, con organismos de leishmanias en el interior de los histiocitos, así como libres entre los haces de colágena, en el panículo adiposo e, incluso, en algunas luces vasculares2. También se puede observar desde la formación de granulomas a un infiltrado masivo de histiocitos repletos de leishmanias, que dejan una estrecha banda respetada en la dermis superficial17.
Aunque se ha descrito la eliminación transepidérmica en la leishmaniasis cutánea en pacientes inmunocompetentes, observándose eliminación de amastigotes a través de los queratinocitos y de los folículos pilosos11,12, fue Perrin et al2 quienes observaron por primera vez este fenómeno en un paciente con leishmaniasis visceral y sida. Estos autores describieron la presencia de leishmanias dentro de las células epiteliales de las glándulas ecrinas y dentro de los ductos ecrinos; también se encontraba el parásito en los queratinocitos alrededor de los acrosiringios, lo que sugiere la eliminación transepidérmica a través de las glándulas sudoríparas ecrinas. Posteriormente, otros casos han mostrado la presencia del parásito en las glándulas y en los ductos ecrinos13,24 Daudén et al13 describieron un caso con gran cantidad de leishmanias en las glándulas y ductos ecrinos, así como en la epidermis, incluso en las capas más superficiales de ésta, pero en secciones seriadas se demostraba que las áreas en las que los organismos abundaban dentro de los queratinocitos eran independientes de las glándulas ecrinas, lo que indicaba hacia una eliminación transepidérmica a través de los queratinocitos.
Nuestros 2 casos mostraron cuerpos de leishmanias tanto en los queratinocitos de la epidermis como en las glándulas y ductos ecrinos, pero en secciones seriadas se demostró, en el primer caso, la presencia de leishmanias en los queratinocitos epidérmicos con independencia de las glándulas ecrinas, en casi toda la epidermis, así como en algunos ductos ecrinos, inmediatamente por encima de glándulas ecrinas repletas de leishmanias, lo que sugiere eliminación del parásito a través de los queratinocitos epidérmicos y de las glándulas ecrinas; por otro lado, en el segundo caso se observó una clara correlación entre las zonas epidérmicas y las glándulas ecrinas afectadas, lo cual parece indicar la eliminación del parásito a través de las glándulas ecrinas. La presencia del parásito en la piel aparentemente normal y en procesos cutáneos con los que no está relacionado se explicaría por la diseminación masiva del mismo ante un sistema inmunitario totalmente ineficaz con invasión de las células del sistema mononuclear fagocítico y tejidos ricos en éste, incluida la piel. Con independencia de que la eliminación tenga lugar a través de los queratinocitos epidérmicos o de las glándulas sudoríparas ecrinas, se desconoce el significado de este fenómeno, que para Perrin et al2 podría ser crítico en la trasmisión de la leishmaniasis visceral.






