Caso clínico
Paciente de 50 años de edad, con antecedentes personales de diabetes mellitus (DM) tipo 2 en tratamiento con metformina y acarbosa, que es remitido a nuestras consultas por lesiones papulonodulares localizadas en región mandibular izquierda de 30 años de evolución. Estas lesiones le provocaban intenso dolor con la exposición a ambientes fríos y con maniobras como el afeitado. En la exploración física se observaba placa empastada, formada por nódulos de diferentes tamaños y con dimensiones aproximadas de 11,5 × 8 cm. Se localizan desde la comisura bucal izquierda hasta región cervical, y adoptan una distribución metamérica (fig. 1A). No existen otros miembros afectos de este proceso en su familia. Se realizó resonancia magnética nuclear (RMN) de macizo facial en la cual se observa incremento leve del grosor cutáneo y no existe afectación del tejido celular subcutáneo, plano muscular u óseo.
Figura 1. (A) Antes del tratamiento: múltiples nódulos de diferentes tamaños de distribución zosteriforme localizados en región facial izquierda. (B) Dos semanas tras tratamiento: leve mejoría del grosor y empastamiento del leiomioma.
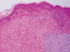
El estudio dermatopatológico de uno de los nódulos mostró un tumor constituido por haces de fibras musculares lisas, dispuestas de forma desordenada, y entremezclada con haces de colágeno que infiltran todo el espesor de la dermis (fig. 2). Estos hallazgos confirmaron el diagnóstico de piloleiomioma.
Figura 2. Haces de fibras musculares lisas irregularmente distribuidas y entremezcladas con haces de colágeno en dermis (hematoxilina-eosina, ×100). En la esquina inferior derecha se muestra el detalle de haces de fibras musculares lisas (hematoxilina-eosina, ×400).
Debido a su tamaño y localización se desestimó realizar tratamiento quirúrgico e iniciamos tratamiento con doxazosina oral, un bloqueante alfa-1 adrenérgico a dosis de 4 mg/día. A las dos semanas del tratamiento el paciente refería eliminación total del dolor asociado, y mejoría en cuanto al tamaño y empastamiento del leiomioma (fig. 1B).
Actualmente sigue terapia de mantenimiento con 4 mg diarios de doxazosina oral, y a los 6 meses de seguimiento continúa libre de síntomas, con excelente calidad de vida y sin efectos adversos medicamentosos. En meses calurosos el paciente refiere mejoría espontánea del dolor, por tanto, nuestra propuesta terapéutica es tratamiento continuado 8 meses al año y suspensión desde junio a septiembre.
Discusión
Los leiomiomas son tumores benignos del músculo liso que surgen del músculo erector del pelo, capa muscular media de vasos sanguíneos, dartros de escroto, labios mayores o pezón. Se clasifican en tres tipos, denominados piloleiomioma, leiomioma dartróico y angioleiomioma. Los piloleiomiomas surgen como elementos aislados, en grupo o con distribución metamérica. Se presentan en distintas localizaciones como áreas de extensión de extremidades, tronco o cara. La forma clínica más habitual son las lesiones solitarias. Con frecuencia los pacientes sufren episodios de dolor sobre estas lesiones, que son precipitados por el frío o la presión1.
El tratamiento de elección en los casos aislados es la exéresis quirúrgica, sin embargo en lesiones múltiples requieren amplias resecciones y son muy frecuentes las recidivas locales. En los pacientes que presenten intenso dolor y donde la cirugía no garantice buenos resultados se han utilizado diferentes tratamientos médicos como nifedipino2, nitroglicerina oral, bloqueadores beta, hioscina tópica3 y gabapentina4, o técnicas como la simpaticolisis o iontoforesis5.
Se postula que estos síntomas se producen por la presión de los nervios dentro del propio leiomioma, o bien por la contracción muscular mediada vía receptores alfa-adrenérgicos1. El músculo erector del pelo presenta estos receptores alfa adrenérgicos. Por este motivo se piensa que los fármacos capaces de bloquear estos receptores como la doxazosina (bloqueante alfa-1 adrenérgico), puedan mejorar la sintomatología al impedir la contracción de la fibra muscular lisa.
La doxazosina es un fármaco de amplio uso en la práctica clínica diaria para el tratamiento crónico de la hipertensión arterial y de la hipertrofia benigna de próstata, con muy buena tolerancia y escasos efectos adversos (hipotensión ortostática, mareos, cefaleas y dispepsia gastrointestinal). Hasta la fecha actual solo existen dos pacientes descritos en la literatura de habla inglesa tratados con este fármaco con resultados satisfactorios y sin efectos adversos significativos6.
Para concluir queremos resaltar la excelente respuesta clínica que obtuvimos con doxazosina oral en un paciente con dolor invalidante secundario a un leiomioma cutáneo zosteriforme, y resaltar su buena tolerancia y la ausencia de efectos adversos asociados.
Conflicto de intereses
Declaramos no tener ningún conflicto de intereses.
Correspondencia:
Antonio Javier Chaves Álvarez.
Hospital Infanta Cristina.
Unidad de Dermatología.
Avda. de Elvas, s/n.
06080 Badajoz. España.
Correo electrónico: antoniojchaves@yahoo.es
Aceptado el 26 de octubre de 2006.




