INTRODUCCION
La hiperqueratosis digitada diminuta múltiple (HDDM) es un trastorno de la queratinización poco frecuente de etiología desconocida. Fue descrita por primera vez por Goldstein en 19671 como un caso de espículas hiperqueratósicas múltiples en tronco y miembros. Ha aparecido descrita en la literatura bajo varios nombres: hiperqueratosis piliforme diseminada2, hiperqueratosis espiculada diseminada3, hiperqueratosis digitada diminuta múltiple4, hiperqueratosis espiculada diseminada5, 6, queratosis diminuta agregada7, e hiperqueratosis filiforme diseminada8. La forma que se ha aceptado para denominarla es la de HDDM. La HDDM se clasifica en tres grupos diferentes: familiar, esporádica o post-inflamatoria, aunque algunos autores han descrito una forma paraneoplásica9.
Presentamos un nuevo caso familiar de HDDM y hacemos una revisión de la literatura.
PRESENTACION DEL CASO CLÍNICO
Se trata de una mujer de 50 años de edad sin antecedentes personales de interés que consulta porque desde hace más de 10 años presenta unas espículas en la piel del tronco y raíz de miembros superiores que comenzaron en la región del escote y posteriormente se fueron diseminando, cursando de forma asintomática. Su padre, ya fallecido, también las presentaba. La paciente había seguido varios tratamientos con queratolíticos, con mejoría parcial de las lesiones.
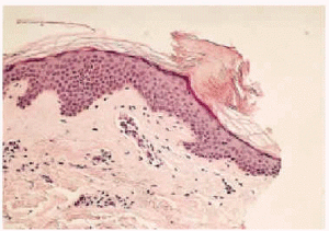
A la exploración se apreciaban unas lesiones digitiformes, duras, de 1 mm de base y 2-3 mm de longitud, en abdomen, región del escote, axilas, hombros y parte superior de los brazos (fig. 1). No dependían del folículo pilosebáceo y al tacto presentaban un as-pecto rugoso. No existía afectación ungueal ni pilosa. Se realizó analítica de rutina y biopsia de una de las lesiones. En los numerosos cortes histológicos realizados se observaron dos hiperqueratosis de base mínima y una longitud relativamente larga, constituidas por una capa córnea laminar (fig. 2). No asentaban en ninguna concavidad epidérmica, sino en una zona de ligera acantosis con papilomatosis.
Fig. 1.--Múltiples lesiones hiperqueratósicas digitiformes.
Fig. 2.--Hiperqueratosis ortoqueratósica de base estrecha sobre epidermis ligeramente acantósica (hematoxilina-eosina, 200x).
DISCUSIÓN
Benoldi et al clasificaron las HDDM en tres grupos10: una forma familiar con herencia autosómica dominante; una forma esporádica con lesiones persistentes durante años o que se resuelven de forma espontánea, y una forma postinflamatoria debida a procesos inflamatorios cutáneos11, tratamiento con etretinato12, exposición solar o tratamiento radioterápico13-15. Se han descrito tres tipos más: uno relacionado con cáncer de laringe, con mejoría total de las lesiones cutáneas tras el tratamiento del cáncer9, otras formas con afectación palmoplantar exclusivamente16-20, y un paciente con afectación palmoplantar y cutánea simultánea21. El aspecto clínico característico es una erupción progresiva asintomática de lesiones hiperqueratósicas espiculadas distribuidas en tronco, cuello y miembros. Si las lesiones son secundarias a un episodio inflamatorio, las espículas se limitan a las áreas expuestas. En los casos secundarios a radioterapia o a tratamiento con etretinato las lesiones se limitan a la piel dañada. Hasta la fecha se han descrito 32 casos que se resumen en la tabla 1. La HDDM muestra un predominio femenino (24 mujeres y 8 hombres). La edad de inicio se sitúa en la tercera década (media de 32 años) y la del diagnóstico más tardío, cerca de la quinta década (media de 48 años). La mayoría de los casos son esporádicos22, y se han descrito 10 casos hereditarios. La etiología es desconocida, pero parece tratarse de un trastorno de la queratinización subyacente que se manifiesta tras un estímulo desencadenante. Los cambios histológicos son característicos y se aprecia una hiperqueratosis ortoqueratósica sobre una epidermis normal. En los casos postinflamatorios las espículas asientan sobre una invaginación epidérmica14. Se han propuesto algunas clasificaciones histológicas. Zaraour et al22 clasificaron las hiperqueratosis en tres grupos según en la topografía y la histología de las lesiones. Las formas esporádicas y familiares de HDDM corresponden al tipo IIb de su clasificación, denominada hiperqueratosis ortoqueratósica filiforme diseminada, mientras que las formas postinflamatorias se incluirían en el grupo Ib, que se denomina hiperqueratosis paraqueratósica diseminada. Algunos autores23 afirman que las lesiones son clínicamente indistinguibles, pero que hay diferencias histológicas importantes que nos permiten incluirlas en un determinado tipo. En las formas familiares y esporádicas la histología característica es una ortohiperqueratosis digitiforme con una epidermis acantótica. La forma postinflamatoria tiene más variedad de cambios histológicos; las espículas aparecen sobre una invaginación epidérmica y hay un infiltra-do inflamatorio que puede estar relacionado con el folículo piloso. En los casos secundarios a radioterapia el infiltrado inflamatorio está limitado a la espícula (tabla 2).
Los tratamientos de elección son cremas de acido salicílico, ácido retinoico tópico al 0,05%6 y 5-fluorouracilo tópico. En las formas esporádicas y familiares las lesiones suelen ser permanentes, pero se han descrito casos de mejoría espontánea.






