El hemangioma sinusoidal (HS) es una proliferación vascular benigna infrecuente que suele presentarse como lesiones solitarias subcutáneas en pacientes adultos de edad media, predominantemente mujeres. El diagnóstico es histológico, sin que hasta el momento se hayan definido características radiológicas propias de esta entidad. Presentamos 3casos de lesiones subcutáneas correspondientes a hemangiomas sinusoidales con sus características histológicas y ecográficas.
El primer caso era una mujer de 49 años, que consultó por una lesión asintomática localizada en rama mandibular izquierda de 2 años de evolución. En la exploración, presentaba un nódulo localizado en partes blandas, de 1cm de diámetro, con la epidermis suprayacente ligeramente azulada, y de consistencia elástica (fig. 1a). Se realizó una ecografía (Esaote MyLab 18MHz), observándose en modo B una lesión hipoecoica localizada en dermis, bien delimitada, con áreas anecoicas en su interior y puntos hiperecogénicos intralesionales sin sombra acústica posterior, con leve vascularización intralesional en el modo Doppler color (fig. 1b y c). Histológicamente, se observaron canales vasculares dilatados interconectados con paredes finas y estructuras seudopapilares en el interior. Además, presentaba áreas de calcificaciones y trombos vasculares recanalizados (fig. 2a y b).
a) Caso 1: presentación clínica en forma de nódulo subcutáneo de 10mm diámetro con superficie azulada, localizado en la región mandibular izquierda. b) Examen ecográfico en modo B. Lesión hipoecoica bien definida, homogénea localizada en dermis con puntos hiperecoicos sin sombre acústica posterior. c) Examen ecográfico modo Doppler color. Mínimas áreas vasculares localizadas en el interior de la lesión. d) Caso 2: presentación clínica en forma de masa subcutánea de 20mm de diámetro, sin alteraciones epidérmicas, localizada en región pectoral derecha. e) Examen ecográfico modo Doppler color. Lesión hipoecoica, homogénea, bien delimitada, localizada en tejido celular subcutáneo. f) Examen ecográfico modo Doppler color. Vascularización moderada en el interior de la lesión. g) Caso 3: presentación clínica. Lesión subcutánea de 1cm de diámetro con la epidermis suprayacente ligeramente verde-azulada. h) Examen ecográfico en modo B. Lesión hipoecoica localizada en dermis, bien delimitada. i) Examen ecográfico modo Doppler color. Vascularización intralesional y perilesional prominente.
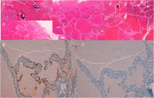
a y b) Caso 1: calcificación focal en el interior de la lesión, observándose también trombosis intravascular (HE×40). c) Caso 2: masa bien circunscrita, lobulada, compuesta por múltiples canales vasculares dilatados e interconectados entre sí, con pared vascular fina, formando estructuras sinusoidales (HE×40). d) Caso 3: canales vasculares dilatados interconectados entre sí formando un patrón sinusoidal, sin observarse calcificaciones ni trombos (HE×40). e) Inmunohistoquímica del caso 2 para WT1×200. f) Inmunohistoquímica del caso 2 para D2-40×200.
El segundo caso era un varón de 72 años, en seguimiento por cáncer cutáneo no melanoma en la región facial y el tronco, que consultó por una lesión asintomática en región pectoral izquierda de más de 6 meses de evolución. En la exploración presentaba una lesión localizada en partes blandas, de 2cm de diámetro, sin alteraciones epidérmicas asociadas, de consistencia elástica y fácilmente desplazable (fig. 1d). Mediante ecografía cutánea (Esaote MyLab 18MHz) se visualizó una lesión hipoecogénica localizada en tejido subcutáneo, bien delimitada, con presencia de vascularización intralesional en modo Doppler color (fig. 1e y f). El estudio histológico evidenció canales vasculares más dilatados que el caso anterior, sin áreas de calcificaciones ni trombos significativos (fig. 2c).
El tercer caso era una mujer de 77 años, sin antecedentes de interés, que consultó por una lesión asintomática localizada en la cara externa del brazo derecho de años de evolución, de lento crecimiento. En la exploración presentaba una lesión subcutánea de 1cm de diámetro, de consistencia elástica y con la epidermis suprayacente ligeramente verde-azulada (fig. 1g). Se realizó una ecografía cutánea (Esaote MyLab 18MHz), visualizándose una lesión de ecogenicidad mixta con áreas anecoicas e hipoecoicas, localizada en la dermis, bien delimitada, con vascularización intralesional y perilesional prominente en el modo Doppler color (fig. 1h e i). El estudio histológico evidenció canales vasculares dilatados interconectados entre sí, formando un patrón sinusoidal, sin observarse calcificaciones ni trombos (fig. 2d).
En todos los casos se realizó estudio inmunohistoquímico presentando en todos positividad para WT1 y CD31, y negatividad para GLUT1 y D2-40 (fig. 2e y f).
El HS es una proliferación vascular muy infrecuente descrita por primera vez por Calonje y Fletcher en 19911 como una variante del hemangioma cavernoso. Actualmente, no se encuentra dentro de la clasificación propuesta por la International Society for the Study of Vascular Anomalies, aunque podría considerarse una anomalía vascular cutánea2. El HS suele presentarse como un nódulo subcutáneo de superficie azulada, generalmente asintomático, localizado con mayor frecuencia en extremidades, predominando en mujeres de edad media. Histológicamente se caracteriza por una arquitectura lobular donde los lóbulos están constituidos por canales vasculares dilatados con pared fina, interconectados entre sí y formando un patrón sinusoidal. Los vasos están estrechamente cercanos, con poco estroma, que al corte tangencial de las paredes produce un patrón seudopapilar, y muestran una tendencia a presentar trombosis y calcificaciones en el centro de la lesión3. Respecto al estudio inmunohistoquímico, nuestros casos revelan los mismos hallazgos descritos hasta ahora, por lo que encuadraría el HS dentro de los tumores vasculares y no en el grupo de malformaciones vasculares4. Hay pocas referencias bibliográficas sobre la caracterización de estos tumores mediante pruebas de imagen, siendo descritos como lesiones sólidas localizadas en el tejido subcutáneo con flujo vascular lento mediante RM y arteriografía. Park et al.2 describieron un caso de HS como una lesión hipoecoica sin señal Doppler en su interior, situada entre 2vasos paralelos, pudiendo corresponder con arteria y vena drenante, pero no pudieron encontrar conexión entre el tumor y dichos vasos. En nuestros casos no se encontró dicho hallazgo en la ecografía. La presencia o ausencia de señal Doppler intralesional se postula que puede estar en relación con la presencia de trombosis o áreas de isquemia dentro de los vasos que conforman la lesión. En nuestros casos, la tumoración con una menor señal Doppler intralesional presentaba mayor trombosis en el examen anatomopatológico, así como puntos hiperecogénicos intralesionales sin sombra acústica posterior que se correlacionaron con calcificaciones en el estudio histológico. Kitamura et al.5 ya describieron un caso de HS con puntos hiperecogénicos distribuidos difusamente en el interior de la lesión, algunos presentando sombra acústica posterior, que se correspondieron histológicamente con calcificaciones. Dichas calcificaciones ya fueron descritas previamente por Nakamura y Miyachi3, postulándose su relación con el tiempo de evolución y el bajo flujo intralesional, lo que parece corresponderse con el primer caso. El segundo caso y el tercer caso presentaban vascularización intralesional en el modo Doppler color, hallazgo poco frecuente en estas lesiones6,7, y que histológicamente corresponden con luces vasculares, no mostrando calcificaciones en el estudio histológico ni puntos hiperecogénicos en el ecográfico.
En conclusión, hemos presentado 3casos de hemangioma sinusoidal destacando los hallazgos ecográficos y su correlación histológica, aportando 2casos con vascularización intralesional marcada, inusual en este tipo de lesión. Aunque la ecografía nos permite determinar la relación con estructuras adyacentes y la vascularización que presentan, no se han encontrado hallazgos ecográficos distintivos que permitan su diagnóstico, siendo este fundamentalmente histológico.
Conflicto de interesesLos autores declaran no tener ningún conflicto de intereses.




