El angiohistiocitoma de células multinucleadas (ACM) fue descrito por primera vez por Smith y Wilson-Jones en 19851. Es considerado una proliferación vascular benigna e inusual. Hasta el momento se han descrito en la literatura menos de 100 casos, aunque probablemente se trate de una entidad infradiagnosticada. Histológicamente se caracteriza por una proliferación de capilares y vénulas a lo largo de la dermis superficial y media con células endoteliales prominentes. El infiltrado inflamatorio es predominantemente linfocítico y de células plasmáticas, y se acompaña de aisladas células multinucleadas de contornos geométricos2. Suelen identificarse también fibras de colágeno engrosadas de forma paralela a la superficie epidérmica y una epidermis suprayacente frecuentemente hiperplásica3,4. Estos hallazgos, junto con datos complementarios de inmunohistoquímica, han permitido a algunos autores sugerir que el ACM es una variante de dermatofibroma que puede encuadrarse dentro del grupo de procesos de origen fibrohistiocitario1,2.
Presentamos un nuevo caso de ACM múltiples y bilaterales, con hallazgos clínicos e histológicos característicos de esta entidad, en el que hemos podido realizar además un estudio dermatoscópico de las lesiones.
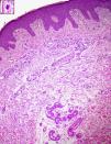
Se trataba de una mujer de 76 años de edad, que como único antecedente de interés refería un adenocarcinoma mucinoso de endometrio bien diferenciado tratado con cirugía y radioterapia hacía 5 años. Consultaba por la presencia de múltiples lesiones máculo-papulosas, eritemato-parduzcas, asintomáticas y persistentes, localizadas en la cara interna de ambos muslos durante los últimos dos años (fig. 1). El signo del hoyuelo era negativo. En el análisis dermatoscópico de las diversas lesiones se evidenciaba un patrón común definido por la presencia de tres estructuras identificables: áreas rojizas difusas de bordes desenfocados, parches blanquecinos más o menos diseminados y zonas aisladas de fino reticulado periférico. En cada lesión individual eran identificables al menos dos de las estructuras anteriormente nombradas, siendo el fino reticulado periférico el hallazgo menos constante (fig. 2). La biopsia de una de las lesiones mostraba la presencia de una leve acantosis epidérmica y una proliferación evidente de vasos de pequeño-mediano tamaño al nivel de la dermis superficial y media, con células endoteliales destacadas. Se acompañaban de un infiltrado inflamatorio compuesto por células mononucleares y células multinucleadas aisladas de aspecto anguloso que se disponían entre haces de colágeno discretamente engrosados (fig. 3). Las técnicas inmunohistoquímicas demostraron que el infiltrado era CD68 y factor XIIIa positivo, y S100 negativo. Con el diagnóstico final de ACM múltiples se decidió mantener una actitud expectante.
A-C: imagen dermatoscópica de tres de las lesiones. Se identifican áreas rojizas dispuestas de forma difusa, zonas de fino reticulado de predominio periférico (*) y parches blanquecinos diseminados (→). Se observa cómo en A y B predominan los parches blanquecinos, mientras que en C son más evidentes las áreas rojizas desenfocadas, con mejor delimitación de la lesión; C sería por tanto la lesión más reciente y A la más evolucionada.
A pesar del número creciente de casos reportados de esta entidad, no hemos encontrado en la literatura ninguna descripción dermatoscópica del ACM. El hecho de que nuestra paciente presentara múltiples lesiones nos facilitó la posibilidad de analizar diversas variaciones de su patrón dermatoscópico. Sin duda el hallazgo predominante fue la presencia de áreas rojizas de aspecto desenfocado, que suponemos se hallan en relación con las numerosas dilataciones vasculares características de esta entidad y que, según algunos autores, representan junto con la presencia de células multinucleadas, el hecho histopatológico principal en el ACM5,6. En nuestra opinión, la variabilidad en la presencia de áreas blanquecinas y/o áreas rojizas puede sugerir ligeras diferencias en el estadio evolutivo de cada lesión individual, tal y como se refleja en la figura 2. Las áreas blanquecinas las correlacionamos con las zonas de engrosamiento del colágeno, de forma similar al parcheado blanco que es visible en áreas de fibrosis presentes en otro tipo de lesiones. Por otro lado, creemos que la presencia variable de fino reticulado traduciría la presencia de pigmento melánico en las crestas epidérmicas, tal y como ocurre en los dermatofibromas. En este sentido, encontramos cierta correlación entre algunos de los hallazgos encontrados en nuestros ACM (parches blanquecinos y fino reticulado) con los descritos por Zaballos et al7 en una amplia revisión de diferentes patrones de dermatofibromas. Si tomamos como referencia este trabajo, consideramos que nuestros ACM guardan cierta similitud con el patrón “en parches blancos múltiples” de algunos dermatofibromas. El hecho de que en el ACM el engrosamiento de las fibras de colágeno y la hiperpigmentación basal no sean tan marcados como en el dermatofibroma8, justificaría que sus equivalentes dermatoscópicos se manifiesten de forma más tenue. Desde el punto de vista clínico, la distribución de angiohistiocitomas de células multinucleadas de forma agminada, tal y como ocurre en nuestro caso, ha sido también observada en los dermatofibromas.
Por todo ello, pensamos que el ACM presenta unos hallazgos dermatoscópicos identificables y de gran parecido a los encontrados en algunos dermatofibromas. Este hecho apoya que esta entidad sea considerada en realidad como un proceso de origen fibrohistiocitario, aunque dadas las limitaciones intrínsecas a la dermatoscopia serían necesarias más evidencias para reforzar esta asociación. De la misma manera, creemos que las estructuras dermatoscópicas que hemos caracterizado permiten diferenciar al ACM de otras entidades vasculares o inflamatorias con las que cabe realizar el diagnóstico diferencial, y en las que se han identificado otros patrones específicos. Este es el caso del sarcoma de Kaposi (característico patrón en arco iris9) y del liquen ruber plano (estrías de Wickham10).




 
		
