CASO CLINICO
Varón de 60 años que acude a la consulta de Dermatología por nódulo en el primer dedo del pie derecho de al menos 5 años de evolución. Se realiza escisión local del nódulo, que es de color rojizo y mide 1,7 cm de diámetro máximo, con el diagnóstico clínico de hemangioma.
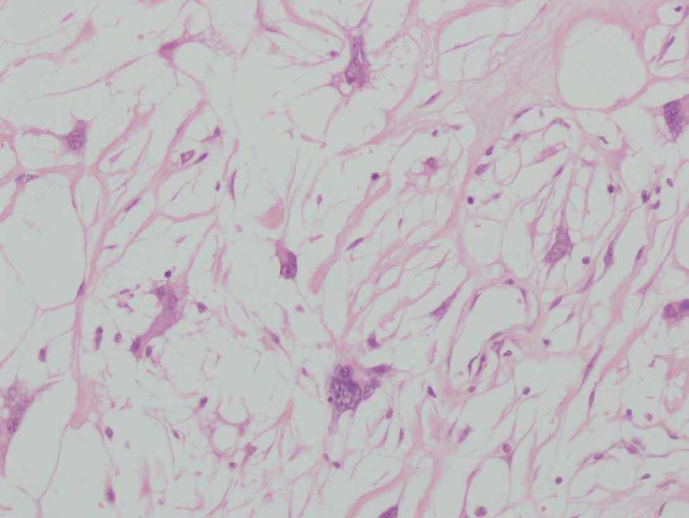
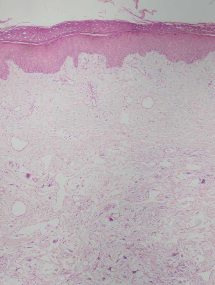
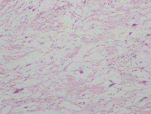
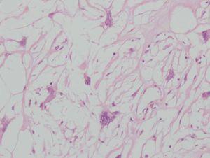
Histológicamente se observa una tumoración bien delimitada localizada en la dermis (fig. 1). El tumor muestra moderada cantidad de material mixoide entre tejido colágeno laxo. Entre las fibras de colágeno se observan células fusiformes, estrelladas y numerosas células gigantes multinucledas (fig. 2). Algunas de éstas tienen núcleos grandes, pleomórficos, hipercromáticos, con un pequeño nucleolo visible (fig. 3). Se observa escaso número de mitosis. La epidermis no muestra particularidades.
Fig. 1.--Tumor en la dermis (hematoxilina-eosina, 40).
Fig. 2.--Tumor fusocelular con abundante matriz mixoide (hemato-xilina-eosina, 100).
Fig. 3.--Células gigantes multinucleadas con núcleos grandes hipercromáticos (hematoxilina-eosina, 200).
Se realizan técnicas de inmunohistoquímica siendo las células del tumor intensamente positivas para vimentina. Las tinciones S-100, actina de músculo liso, HMB-45, enolasa neuronal específica (NSE), desmina, factor VIII, pancitoqueratina (AE1/AE3) y CD34 fueron negativas en el tumor.
DISCUSION
El fibroma cutáneo pleomórfico es una lesión fibrosa benigna que asienta principalmente en extremidades inferiores, seguido del tronco, cabeza y cuello 1-5. La mayoría de estas lesiones se dan en adultos, con un pico de incidencia en la quinta década de la vida, no tienen prevalencia por sexo y tienen un diámetro variable entre 0,5 y 2 cm. Las lesiones, como en este caso, suelen llevar varios años de evolución antes del diagnóstico. Clínicamente se confunde con un nevus, un neurofibroma o un hemangioma. Inmunohistoquímicamente se caracteriza por una fuerte positividad en las células del tumor para la vimentina 2,5.
El caso que describimos muestra una clínica, histología e inmunohistoquímica similares a los 8 casos descritos por Kamino et al en 1989, aunque tiene la salvedad de que muestra un marcado estroma mixoide. Kamino et al 1 describen mucina estromal focal en 5 de los 8 casos que publican. Miliauskas 6 describe dos casos de esta variante mixoide del fibroma cutáneo pleomórfico.
El diagnóstico diferencial debe realizarse con tumores caracterizados por la presencia de células pleomórficas. El dermatofibroma con células atípicas tiene más densidad celular que el fibroma pleomórfico, suele contener siderófagos, células factor XIIIa positivas y presentar hiperplasia de la epidermis. El fibroxantoma atípico es una lesión de crecimiento rápido que suele asentar en la cara de pacientes ancianos y muestra mayor celularidad, mayor pleomorfismo, mayor índice mitótico e intensa expresión celular para CD10. Además es raro en este tumor ver áreas mixoides. El dermatofibrosarcoma protuberans muestra mayor invasión en profundidad, tiene más densidad celular, mayor número de mitosis y un patrón estoriforme característico. Además, las células expresan CD34. El fibroblastoma de células gigantes es un tumor infiltrativo que asienta en tronco o extremidades de pacientes menores de 10 años de edad. El mixoma de vaina nerviosa muestra mayor celularidad, tiene una apariencia multilobulada con lóbulos separados por septos fibrosos, carece de pleomorfismo celular y es S-100 y NSE positivo. El neurofibroma con degeneración mixoide carece de pleomorfismo celular y es S-100 positivo.
Presentamos un caso de una variante rara (variante mixoide) del fibroma cutáneo pleomórfico, tumor de comportamiento benigno que muestra atipia celular. Normalmente, como en nuestro caso, la simple escisión del tumor es curativa, aunque se han descrito casos de recivida local 1.
Correspondencia:
Jesús Pinto Blázquez.
Servicio de Anatomía Patológica. Hospital San Agustín.
Camino de Heros 4. 33400 Avilés. Asturias. España.
jesus.pinto@sespa.princast.es
Recibido el 17 de noviembre de 2005.
Aceptado el 29 de mayo de 2006.





