La dermatosis ampollar IgA lineal es una enfermedad vesicoampollar subepidérmica, adquirida, mediada por inmunoglobulinas. Presentamos nuestra serie con el objetivo de describir las características clínicas, evolución y tratamientos instaurados.
Se realizó un estudio descriptivo, observacional retrospectivo. Se incluyeron 17 pacientes. Como antecedentes 2 niños recibieron vacunas 2 semanas antes del inicio de los síntomas; en 2 casos la enfermedad estuvo precedida por cuadros respiratorios broncoobstructivos. Un paciente recibió antibioticoterapia endovenosa antes del inicio del cuadro. Hallamos asociación con hepatitis autoinmune en un caso y con alopecia areata en otro. Un niño padecía asociación VACTERL. El diagnóstico se confirmó con histopatología e inmunofluorescencia directa. Como tratamiento 16 pacientes recibieron dapsona, 8 de ellos asociaron corticoides orales y 2 esteroides tópicos.
Destacamos la presencia de rebrotes con compromiso perioral ante cuadros infecciosos e inmunizaciones, la asociación con síndrome de VACTERL y con hepatitis autoinmune.
Linear IgA bullous dermatosis is an acquired subepidermal immunoglobulin-mediated vesiculobullous disease. In this retrospective, observational, descriptive study, we describe the clinical characteristics, treatments, and outcomes of 17 patients with linear IgA bullous dermatosis. Two children had been vaccinated 2 weeks before the onset of symptoms, 2 had had bronco-obstructive respiratory symptoms, and 1 had received intravenous antibiotic therapy. We also observed an association with autoimmune hepatitis in one patient and alopecia areata in another. One boy had VACTERL association. Diagnosis was confirmed by histopathology and direct immunofluorescence. Sixteen patients were treated with dapsone, which was combined with oral corticosteroids in 8 cases and topical corticosteroids in two. Of note in this series was the occurrence of relapses in the perioral area coinciding with infections and vaccination, and the association between linear IgA bullous dermatosis and autoimmune hepatitis and VACTERL association.
La dermatosis ampollar IgA lineal (DAAL) es una enfermedad vesicoampollar subepidérmica, adquirida, mediada por inmunoglobulinas que se presenta en niños y adultos1. En la edad pediátrica el cuadro clínico suele ser muy característico, mientras que en los adultos puede simular cuadros de dermatitis herpetiforme o penfigoide ampollar2. El diagnóstico se realiza en función de la clínica, la histología y la inmunofluorescencia. El tratamiento de elección es la dapsona.
Presentamos nuestra serie de 17 casos de DAAL en pacientes pediátricos, con el objetivo de describir las características clínicas, evolución y tratamientos instaurados.
Materiales y métodosSe realizó un estudio descriptivo, observacional retrospectivo. Se incluyeron todos los pacientes con diagnóstico de dermatosis ampollar IgA lineal evaluados en los hospitales Ramos Mejía, Alemán y Sant Joan de Déu desde el 1 de mayo de 2003 al 31 de julio de 2017. Los datos se obtuvieron a partir del análisis de historias clínicas y archivo fotográfico.
ResultadosSe identificaron 7 pacientes de sexo femenino y 10 de sexo masculino (tabla 1). La edad al momento del diagnóstico osciló entre los 7 meses y los 7 años, con una media de 3,1 años. Como antecedentes 2 pacientes recibieron vacunas antivaricela y antigripal 2 semanas antes del inicio de la enfermedad; en otros 2 niños el cuadro estuvo precedido por enfermedades respiratorias broncoobstructivas. Asimismo, un paciente recibió antibioticoterapia endovenosa, inmediatamente antes del inicio de los síntomas. Hallamos la asociación con hepatitis autoinmune en un caso y con alopecia areata en otro. Un niño padecía asociación VACTERL (asociación de malformaciones congénitas caracterizada por la presencia de al menos 3 de los siguientes signos: defectos vertebrales, atresia anal, defectos cardíacos, fístula traqueoesofágica, anomalías renales y anomalías en las extremidades).
17 Pacientes con dermatosis ampollar Ig A lineal
| Caso | Sexo | Edad inicio | Antecedentes | Localización | Diagnóstico | Tratamiento inicial | Tratamiento ulterior | Evolución | Duración de la enfermedad |
|---|---|---|---|---|---|---|---|---|---|
| 1 | F | 3 a. | Ninguno | Cara, tronco, miembros superiores e inferiores | Biopsia e IFD compatibles* | Dapsona 3mg/kg, antihistamínicos | Dapsona 4-5mg/kg, antihistamicos, corticoides tópicos | Múltiples brotes, con compromiso perioral, precedidos por infecciones virales banales | 3 años continúa en tratamiento |
| 2 | F | 7 a. | Hepatitis autoinmune | Cara, cuello, miembros superiores e inferiores, región perianal | Biopsia e IFD compatibles* | Metilprednisona 0,5mg/kg | Dapsona 2mg/kg | Múltiples brotes con compromiso perioral | 1 año y medio con resolución completa |
| 3 | F | 2 a. | Vacunas (quíntuple, antivaricela y antigripal) 2 semanas antes del inicio de la enfermedad | Cara, tronco y manos | Biopsia e IFD compatibles* | Metilprednisona0,5mg/kg | Dapsona 1-2mg/kg | Múltiples brotes | 6 meses continúa en tratamiento |
| 4 | M | 5 a. | Ninguno | Cara, tronco, miembros superiores e inferiores | Biopsia e IFD compatibles* | Metilprednisona 0,5mg/kg | Dapsona 1-1,5mg/kg | Múltiples brotes con compromiso perioral, uno de ellos asociado a OMA | 18 meses continúa en tratamiento |
| 5 | M | 4 a. | Ninguno | Cara, miembros superiores e inferiores | Biopsia e IFD compatibles* | Dapsona 1mg/kg | Dapsona 1mg/kg | Remisión completa | 3 años con resolución completa |
| 6 | F | 7 m. | Asociación VACTERL. Hospitalización por bronquiolitis 2 semanas antes del inicio de la enfermedad | Cara, miembros superiores e inferiores | Biopsia e IFD compatibles* | Metilprednisona 1mg/kg | Metilprednisolona 2mg/kg | Remisión completa | 6 meses con resolución completa |
| 7 | M | 5 a. | Alopecia areata | Cara, tronco, miembros superiores e inferiores, región perianal | Biopsia e IFD compatibles* | Dapsona | Dapsona 1mg/kg | Múltiples brotes | 5 meses continúa en tratamiento |
| 8 | F | 2 a. | Antibioticoterapia endovenosa inmediatamente antes del inicio de la enfermedad | Cuello, tronco y glúteos | Biopsia e IFD compatibles* | Dapsona 0,5mg/kg/día | Dapsona 0,5mg/kg | Múltiples brotes | 8 meses con resolución completa |
| 9 | M | 4 a. | Ninguno | Cara, tronco, miembros superiores e inferiores | Biopsia e IFD compatibles* | Metilprednisona 1mg/kg | Dapsona 1-3mg/kg | Múltiples brotes. Uno de ellos con compromiso perioral precedido por administración de vacuna antigripal | 1 año continúa en tratamiento |
| 10 | F | 1 a. | Vacunas (antivaricela y antigripal) 2 semanas antes del inicio de la enfermedad | Cara, tronco, miembros superiores e inferiores, vulva | Biopsia e IFD compatibles* | Dapsona 0,5mg/kg/día | Dapsona 3mg/kg. Por mala evolución se agregó transitoriamente metilprednisona 1mg/kg | Múltiples brotes | 1 año continúa en tratamiento |
| 11 | F | 2 a. | Ninguno | Cara, miembros superiores e inferiores | Biopsia e IFD compatibles* | Metilprednisona 1mg/kg | Dapsona 1mg/kg | Único brote | 4 meses continúa en tratamiento |
| 12 | M | 4 a. | Ninguno | Cara y cuero cabelludo | Biopsia e IFD compatibles* | Dapsona | Dapsona | Remisión completa | Con resolución completa |
| 13 | M | 4 a. | Ninguno | Cara, tronco, miembros superiores e inferiores, región perianal Mucosa oral | Biopsia e IFD compatibles* | Metilprednisona 1mg/kg | Dapsona 0,5-1mg/kg | Múltiples brotes | 2 años con resolución completa |
| 14 | M | 3 a. | Ninguno | Cara, cuero cabelludo, miembros superiores e inferiores, región perianal | Biopsia, IFD compatibles* IFI+: ac. IgA contra membrana basal dermoepidérmica | Dapsona 2,5mg/kg | Dapsona 1-4mg/kg Corticoides tópicos Antihistamínicos | Múltiples brotes | 3 años, luego se perdió el seguimiento |
| 15 | M | 2 a. | Ninguno | Cara y región perianal | Biopsia e IFD compatibles* | Dapsona | Dapsona | Único brote | 1 año con resolución completa |
| 16 | M | 2 a. | Cuadro catarral con fiebre inmediatamente antes del inicio de la enfermedad | Cara, cuero cabelludo, miembros superiores e inferiores, región perianal | Biopsia e IFD compatibles* | Metilprednisona 0,5mg/kg | Dapsona 0,5-1,5mg/kg Corticoides tópicos | Múltiples brotes, con compromiso perioral, precedidos por infecciones virales banales | 2 años continúa en tratamiento |
| 17 | M | 1 a. | Ninguno | Cara, pabellones auriculares, tronco, miembros superiores e inferiores, región perianal. Mucosas oral y anal | Biopsia e IFD compatibles* | Metilprednisona 1mg/kg | Dapsona 0,5-1,5mg/kg | Múltiples brotes, con compromiso perioral, precedidos por infecciones virales banales | 2 años continúa en tratamiento |
a.: años; F: femenino; IFD: inmunofluorescencia directa; IFI: inmunofluorescencia indirecta; M: masculino; m.: meses.
La presentación clínica fue clásica en todos los pacientes evaluados. En 2 casos se constató compromiso de la mucosa oral, y uno de ellos presentó además lesiones en la mucosa anal (tabla 1, casos 13 y 17).
El diagnóstico se confirmó con histopatología e inmunofluorescencia directa en todos los casos.
Antes de comenzar el tratamiento solicitamos dosificación de glucosa-6-fosfato-deshidrogenasa. En 8 casos, a la espera del valor enzimático y con el objetivo de brindar mejoría clínica a la mayor brevedad, iniciamos tratamiento con corticoides sistémicos. Una vez obtenido el resultado indicamos comenzar con dapsona y suspender los esteroides. De esta forma 16 pacientes recibieron dapsona 0,5-5mg/kg/d, 8 de ellos asociaron corticoides orales y 2 esteroides tópicos. El paciente con asociación VACTERL recibió corticoides sistémicos como único tratamiento.
En cuanto a la evolución de la enfermedad de los 17 pacientes 6 presentaron rebrotes con compromiso perioral, 5 de ellos estuvieron precedidos por cuadros infecciosos banales y uno por administración de vacuna antigripal. Los 2 pacientes en quienes el inicio de la enfermedad estuvo precedido por aplicación de vacunas presentaron múltiples brotes y continúan en tratamiento después de 6 y 12 meses de evolución, respectivamente (tabla 1, casos 3 y 10). Los pacientes con compromiso mucoso no presentaron diferencias clínicas significativas en relación con el resto (ver tabla 1, casos 13 y 17).
En 7 casos la dermatosis se resolvió por completo tras un período variable, de entre 6 meses y 3 años. De los restantes 9 pacientes continúan en tratamiento y uno de ellos dejó de asistir a las consultas después de 3 años de seguimiento, motivo por el cual se desconoce su evolución.
DiscusiónLa DAAL, también conocida como dermatosis ampollar crónica de la infancia, es una entidad infrecuente, con una incidencia de 0,5 a 2,3 casos por millón de habitantes por año3. A pesar de esto, se trata de la enfermedad ampollar más frecuente en pediatría4.
Su etiología es aún desconocida, aunque se describe una fuerte asociación con algunos haplotipos. Se sabe que HLA Cw7, B8 y DR3 otorgan susceptibilidad para un inicio temprano de la enfermedad; por otra parte, la presencia de factor de necrosis tumoral 2 representa un factor pronóstico desfavorable para la duración de la misma3.
Una de las características particulares de la DAAL es que su inicio, a menudo, se relaciona con varios factores precipitantes. Es conocida su asociación a ciertos fármacos, siendo la vancomicina el más frecuente en adultos, no así en la infancia; también se han comunicado casos vinculados al consumo de betalactámicos, AINE y anticonvulsivantes, entre otros5,6 (tabla 2). Otras asociaciones menos frecuentes incluyen inmunizaciones, infecciones, enfermedades autoinmunes (colitis ulcerosa y lupus eritematoso sistémico) y malignas (linfoma no Hodgkin, leucemia linfocítica crónica, cáncer de vejiga)3. Cabe destacar que en nuestra serie 2 pacientes (11,7%) recibieron las vacunas antigripal y antivaricela 2 semanas antes del inicio de la enfermedad, y otro niño con diagnóstico previo de DAAL presentó un rebrote después de la aplicación de la vacuna antigripal. En relación con las enfermedades autoinmunes constatamos asociación con alopecia areata en un caso y hepatitis autoinmune en otro.
Fármacos asociados a dermatosis ampollar IgA lineal
| Amiodarona |
| Amoxicilina+ácido clavulánico |
| Ampicilina |
| Captopril |
| Cefalosporinas |
| Ciclosporina |
| Diclofenaco |
| Fenitoína |
| Furosemida |
| Glinbenclamida |
| Interferón gamma e IL-2 |
| Yodo |
| Litio |
| Penicilina G potásica |
| Somatostatina |
| Trimetoprima/sulfametoxazol |
| Vancomicina |
| Vigabatrina |
Al igual que en nuestra casuística, se ha descrito previamente un caso de DAAL asociado a síndrome de VACTERL7. Dada la complejidad de estos niños podría tratarse de casos de DAAL inducidos por fármacos o infecciones. En nuestro caso el niño ingresó por una bronquiolitis una semana antes del inicio de la dermatosis. Como tratamiento recibió oxígeno y antitérmicos.
El mecanismo fisiopatológico que desencadena la respuesta autoinmune en los pacientes sigue siendo desconocido. El principal blanco antigénico es el BP180 (o antígeno 2 del penfigoide ampollar), una proteína de transmembrana que desempeña un papel fundamental en la adhesión dermoepidérmica2. Esta proteína presenta un componente intracelular, otro de transmembrana y otro extracelular. Este último cruza la lámina lúcida e interactúa con la laminina 5 de los filamentos de anclaje en la lámina densa, mediante su extremo carboxilo terminal. Este extremo del BP180 puede hidrolizarse, formando un fragmento soluble conocido como LAD-1. La mayoría de los pacientes reaccionan contra este fragmento del BP180, de 120kDa, y contra una porción dentro del mismo de 97kDa8. Con menor frecuencia se constatan inmunoglobulinas contra otros antígenos de la membrana basal tales como la laminina-332, laminina gamma 1 y colágeno tipo vii9.
En relación con la clínica se diferencian 2 variantes principales: la forma infantil y la del adulto. La primera, también conocida como dermatosis ampollar crónica de la infancia, afecta a niños, por lo general menores de 5 años. La forma del adulto puede comenzar en cualquier época de la vida, aunque lo hace con mayor frecuencia después de los 60 años. Cada una de ellas tiene ciertas diferencias en cuanto a la presentación clínica, pero poseen una histología e inmunofluorescencia directa (IFD) idénticas10.
Las manifestaciones cutáneas de la DAAL en la infancia se caracterizan por la presencia de vesículas y ampollas tensas que asientan sobre una base de piel normal o eritematosa. Las lesiones se disponen en rosetas con una costra central y pueden surgir ampollas nuevas en la periferia de las preexistentes, dando la apariencia de un collar de perlas (fig. 1). Se localizan con mayor frecuencia en el tronco, el abdomen bajo, las axilas, la raíz de los muslos y la zona peribucal10. Con menor frecuencia las palmas y las plantas pueden verse afectadas. En adultos las lesiones se localizan principalmente en superficies extensoras de los miembros, tronco, nalgas y rostro, y la distribución en collar de perlas es poco habitual2. La sintomatología varía desde prurito leve hasta cuadros de dolor intenso. Las lesiones resuelven sin dejar cicatriz, pero pueden dejar discromía residual1.
El compromiso de las mucosas oral y conjuntival es usual, puede ocurrir en todas las edades, siendo más frecuente en la adultez11,12.
El diagnóstico se realiza en función de la clínica, la histología y la inmunofluorescencia.
Las características clínicas son las mencionadas previamente.
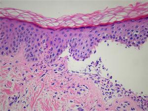
La histología muestra ampollas subepidérmicas con infiltrado inflamatorio de predominio neutrofílico en la dermis1 (fig. 2).
Debido a la gran superposición clínica con otras enfermedades ampollares se recomienda verificar la presencia de inmunoglobulinas mediante técnicas de inmunofluorescencia13.
La IFD es positiva en el 100% de los casos, y pone de manifiesto depósitos de inmunoglobulina A de disposición lineal en la zona de membrana basal (ZMB) de la piel normal y perilesional9 (fig. 3). En algunos casos también pueden observarse depósitos de IgM y C310. Cabe destacar que aunque el depósito lineal de IgA en la ZMB es el hallazgo que da el nombre a la enfermedad, aún no está claro si el diagnóstico de DAAL puede realizarse solo en presencia de este hallazgo. Asimismo, se han informado depósitos lineales de IgA en varios casos de enfermedades ampollares subepidérmicas distintas de la DAAL, incluidos el penfigoide ampollar, el penfigoide de las membranas mucosas (MMP), el penfigoide gestacional y la epidermólisis bullosa14.
La inmunofluorescencia indirecta se utiliza para detectar los autoanticuerpos circulantes dirigidos contra diferentes antígenos, y generalmente muestra una positividad variable de entre un 30% y un 50%. Cuando la misma se realiza en sustrato de piel humana, separando la epidermis de la dermis mediante incubación con cloruro de sodio 1 mol/litro, la sensibilidad aumenta, alcanzando resultados cercanos a un 70%. Como mencionamos previamente, la mayoría de los pacientes presentan anticuerpos contra los antígenos de 97 y 120kDa. En este punto es necesario aclarar que un tipo de anticuerpo u otro se obtiene dependiendo de si las pruebas utilizadas para el diagnóstico incluyen cultivos celulares o extractos de piel, respectivamente13.
Los diagnósticos diferenciales de la DAAL incluyen las epidermólisis ampollares hereditarias, las cuales suelen manifestarse desde el nacimiento con lesiones ampollares en áreas de roce o dermatitis herpetiforme, la cual se direrencia de la DAAL por la asociación más frecuente de la enteropatía sensible al gluten, ausencia de compromiso mucoso y la presencia de depósitos granulares de IgA en la IFD, y el penfigoide ampollar, el cual puede tener un cuadro clínico que se superpone con la IgA lineal, aunque el hallazgo de IgG y C3 en la ZMB confirman el diagnóstico1. En este punto, y en relación con lo expuesto en el Consenso Internacional de Penfigoide de las Membranas Mucosas (PMM), los pacientes con signos clínicos típicos de esta entidad, en quienes la inmunofluorescencia directa muestre depósitos lineales de IgA en la ZMB, deben ser considerados como portadores de PMM IgA lineal.
El tratamiento de elección es la dapsona, en dosis de 0,5 a 3mg/kg/d. Su eficacia ha sido probada como monoterapia o combinada con corticoides, antibióticos y colchicina15. Previo al inicio del mismo es conveniente solicitar una dosificación sanguínea de glucosa 6 fosfato deshidrogenasa, ya que en los pacientes con déficit de esta enzima se puede manifestar anemia hemolítica3. Se sugiere realizar seguimiento con hemograma y recuento de reticulocitos para detectar los casos de agranulocitosis o hemólisis. Si con la dosis habitual de dapsona la enfermedad no remite pueden asociarse inmunosupresores como los corticoides sistémicos, mofetil micofenolato y ciclosporina A; o antibióticos orales tales como la eritromicina y la trimetroprima-sulfametoxazol8,16. Es importante tener presente los efectos adversos de cada medicación y recordar que la DAAL es una enfermedad benigna que tiende a evolucionar en brotes hasta su resolución espontánea, motivo por el cual recomendamos el uso con criterio de cada medicación. En caso de que la dapsona no sea bien tolerada se pueden utilizar sulfapiridina o colchicina15. Una vez controlada la enfermedad, y tras un período sin aparición de nuevas lesiones, debe retirarse progresivamente la medicación.
Después de 3 a 6 años la mayoría de los casos remiten, sin embargo se han comunicado casos que persisten tras la pubertad.
ConclusiónSi bien la dermatosis IgA lineal es una de las enfermedades ampollares adquiridas más comunes de la infancia, es una entidad poco frecuente. Los hallazgos clínicos, histopatológicos y de inmunofluorescencia directa de nuestros pacientes coinciden con lo descrito en la literatura. Destacamos la aplicación de vacunas como un desencadenante a tener en cuenta en la edad pediátrica, la presencia de rebrotes con compromiso perioral ante cuadros infecciosos e inmunizaciones, la asociación con síndrome de VACTERL (una comunicación previa) y con hepatitis autoinmune, a nuestro entender nunca antes comunicada.
Conflicto de interesesLos autores declaran no tener ningún conflicto de intereses.









