INTRODUCCIÓN
La henna es un colorante natural extraído de un arbusto de la familia Lythraceae (Lawsonia inermis) . La pasta obtenida de las hojas secas produce una coloración rojo-marrón que tradicionalmente se ha utilizado en determinadas culturas para la decoración ceremonial del cuerpo1 . También se ha utilizado en champús y distintos productos capilares para colorear el cabello. En los últimos años su uso está aumentando entre niños y jóvenes por la moda de realizarse pseudotatuajes no permanentes.
Para intensificar el color o la duración de la henna natural se le añaden distintos productos como la parafenilendiamina (PPD), parabenes, limón, cáscara de nuez, aceites esenciales o laca de uñas2,3 .
La PPD es un conocido sensibilizante que se añade a la henna para conseguir un tono negro. Según la normativa vigente en los países de la Comunidad Económica Europea (CEE) para los productos de peluquería, la PPD debe estar presente en una concentración no superior al 6 %, y no debe aplicarse directamente en cejas, pestañas o piel4 . El uso de estos productos de peluquería va seguido de la aplicación de un oxidante, habitualmente peróxido de hidrógeno, que degrada y limita la actividad de la PPD. En la piel, por el contrario, al no utilizarse ningún oxidante, el contacto con el alérgeno se prolonga aumentando el riesgo de sensibilización. La aplicación no profesional de la henna hace prácticamente imposible determinar la composición exacta de los productos empleados y llevar un control adecuado de éstos. Algunas de estas mezclas de henna negra pueden llevar más del 15 % de PPD5 .
DESCRIPCIÓN DEL CASO
Un varón de 10 años de edad presentaba en la cara lateral del brazo derecho una placa eritematosa, pruriginosa, de 7 a 10 días de evolución. La lesión había aparecido sobre la zona donde se había pintado un pseudotatuaje temporal de henna de color negro y delimitaba perfectamente el dibujo realizado. La henna se le había aplicado en un puesto ambulante, y desapareció de forma natural en alrededor de 10 días, quedando la piel aparentemente sana. La lesión descrita había aparecido a las 2-3 semanas de aplicarse el producto. El paciente no había presentado antecedentes dermatológicos de interés, ni contactos previos con tintes capilares u otros productos de peluquería.
Fig. 1.—Placa eritematosa en brazo derecho que remeda el pseudotatuaje original.
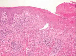
Fig. 2.—Ligera espongiosis e infiltrados inflamatorios en dermis. (Hematoxilina-eosina, ×40.)
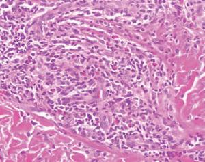
Fig. 3.—Abundantes eosinófilos en el infiltrado inflamatorio. (Hematoxilina-eosina, ×100.)
En la exploración se apreciaba, en cara lateral del brazo derecho, una placa de 3 × 5 cm de tamaño, eritematosa, infiltrada a la palpación, de aspecto liquenificado. Se apreciaban múltiples erosiones superficiales por rascado y destacaban los bordes netos, que seguirán perfectamente la zona de aplicación del pseudotatuaje (fig. 1). Se realizó una biopsia que mostró una erosión superficial y bordeando la misma ligera espongiosis, ocasionalmente de localización infundibular (fig. 2). En la dermis papilar y reticular se apreciaban ligeros infiltrados perivasculares linfocitarios asociados a moderada eosinofilia (fig. 3).
Se pautó tratamiento con corticoides orales y tópicos con desaparición total de las lesiones, quedando una hipopigmentación residual, que dibujaba perfectamente el negativo del pseudotatuaje, que desapareció casi por completo en 3 meses.
Se realizaron pruebas epicutáneas con la batería estándar recomendada por el Grupo Español de Investigación de la Dermatitis de Contacto (GEIDC), y se observó una intensa positividad a las 48 y 96 h con PPD 1 % en vaselina, mezcla de caínas al 7 % en vaselina y mezcla de tiuram al 1 % en vaselina; el resto de los alérgenos fueron negativos. Con el fin de estudiar la posible existencia de reacciones cruzadas a PPD, posteriormente se parchearon las baterías textil, peluquería, componentes de la mezcla de tiuram y los anestésicos ametocaína, benzocaína y cincocaína y se observaron numerosas positividades (tabla 1). La obtención de la mezcla de henna negra fue imposible, por lo que no se pudo parchear el producto original utilizado en el pseudotatuaje.
COMENTARIOS
La ausencia de contacto previo con productos que contienen PPD, así como de antecedentes personales dermatológicos y la aparición de las lesiones a las 2-3 semanas de la aplicación de la henna sugiere una sensibilización primaria en nuestro paciente. El extracto de henna tiene escasa capacidad sensibilizante. Son pocos los casos publicados de verdaderos eczemas alérgicos de contacto por henna6,7 . La mayoría de los casos de dermatitis alérgica de contacto por pseudotatuajes se deben a los aditivos que se añaden a la henna, principalmente la PPD 8 . Otros aditivos, aunque con menos frecuencia, también han sido responsables ocasionales. Los aceites esenciales que se añaden a la henna pueden sensibilizar a fragancias 9 .
TABLA 1. ALÉRGENOS POSITIVOS EN LAS PRUEBAS EPICUTÁNEAS
La PPD es un potente sensibilizante que puede presentar reactividad cruzada con muchos otros alérgenos, como la mezcla de caínas10 . Se intenta explicar este fenómeno por la presencia de determinantes antigénicos comunes o por la transformación en la piel a metabolitos químicamente relacionados11,12 . La PPD es un compuesto aromático con dos sustituyentes amino en posición para en el anillo bencénico. La benzocaína, el 2,5-aminotolueno y la 2-nitro 4-PPD pertenecen al grupo para -amino. Tienen en común con la PPD la presencia de un sustituyente amino en posición para en el anillo bencénico. Está similitud estructural podría justificar la frecuencia de reacciones cruzadas, como la observada en nuestro caso, entre ellos. Otros compuestos aromáticos que pueden presentar reacciones cruzadas con la PPD son el 3-aminofenol, el 4-aminofenol y la hidroquinona. Tienen en común la presencia de un grupo hidroxil en posición para en el anillo bencénico. Parece ser que la posibilidad de reacción cruzada estaría en relación con la capacidad de oxidarse in vivo a otros haptenos del grupo para , intermediarios en las reacciones cruzadas11,12 . La benzoquinona podría ser uno de estos prohaptenos, aunque es posible que otros compuestos estén también implicados en un fenómeno tan complejo12 .
Se han descrito numerosos casos de reacciones cruzadas entre colorantes textiles del grupo azo y la 13,14 , debido posiblemente a una estructura molecular similar basada en el anillo bencénico. Las relaciones más estrechas parecen existir entre la PPD y el colorante Disperse orange 3 habiéndose encontrado reacción cruzada hasta en el 100 % de los casos en algunas series, y entre la PPD y el colorante Disperse yellow 3 positivo hasta en el 50 % de los casos15 .
Según las pruebas epicutáneas realizadas en nuestro caso, el alérgeno implicado parece ser la PPD, y el resto de positividades observadas (excepto el tetraetiltiuram) se consideran reacciones cruzadas. Las positividades en la batería textil encontradas en nuestro paciente corresponden principalmente a colorantes del grupo azo , excepto el Disperse blue 153, que posee una estructura química diferente de tipo antraquinónico. No se ha observado reacción cruzada con el Disperse orange 3, al contrario de lo descrito previamente14,15 .
La positividad al tetraetiltiuram no ha podido ser explicada. Podría tratarse de una sensibilización previa, aunque el hecho de no haber presentado nunca antes lesiones de dermatitis de contacto no parece apoyar esta explicación. Algunos antisépticos incluyen tetraetiltiuram como conservante en su composición. No se puede descartar que antes, durante o después del proceso de realización del pseudotatuaje, se aplicara alguno de estos productos. Otra opción sería la sensibilización simultánea a tiuram como aditivo de la mezcla de henna negra utilizada. La imposibilidad de conseguir el producto original para su análisis impide confirmar está teoría.
Queremos llamar la atención ante una moda, la de los pseudotatuajes no permanentes de henna negra, que está aumentando entre niños y jóvenes, y que puede provocar sensibilizaciones con repercusiones para el futuro.
Correspondencia:
Susana Córdoba. Alcalá, 338, 1.º 4.ª 28027 Madrid. España. scordobag@vodafone.es
Recibido el 28 de julio de 2004. Aceptado el 6 de octubre de 2004.






