INTRODUCCION
El liquen escleroso y el liquen plano son dos dermatosis que presentan diversas semejanzas desde el punto de vista clínico e histopatológico. La etiología de ambos cuadros continúa siendo desconocida, aunque en su patogenia también se han involucrado algunos mecanismos similares. Estos aspectos en común sugieren una posible relación entre las dos entidades, lo cual podría reflejarse en una asociación o coexistencia relativamente frecuentes. Sin embargo, revisando la literatura médica hemos observado que la presentación concomitante o sucesiva del liquen escleroso y el liquen plano parece ser rara, y existe un número escaso de artículos publicados hasta la actualidad que demuestren dicha concurrencia1-9.
Se describe el caso de una paciente que presentaba de forma conjunta lesiones de liquen escleroso y de liquen plano. Se discute la relación existente entre estas entidades, así como el significado de esta asociación.
DESCRIPCION DEL CASO
Una mujer de 77 años, con antecedentes personales de diabetes mellitus tipo 2 de 6 años de evolución, consultó para valoración de una lesión cutánea asintomática que presentaba en el tórax desde hacía aproximadamente un año. Esta lesión había crecido inicialmente, y posteriormente permaneció estable durante su evolución. La paciente refería, asimismo, la presencia desde hacía 3 meses de una erupción pruriginosa en la espalda. No se identificó relación entre la aparición de las lesiones y posibles factores desencadenantes.
En la exploración se observaba en la región mamaria izquierda una placa redondeada de 4 cm de diámetro, de contorno irregular pero bien delimitada, tonalidad blanco-nacarada, y superficie plisada y brillante. En su seno se observaban telangiectasias y pequeñas áreas purpúricas (fig. 1). Por otra parte, en la región lumbosacra se apreciaba una erupción constituida por múltiples pápulas poligonales, violáceas y brillantes, de 2-4 mm de diámetro (fig. 2). La exploración dermatológica reveló, además, la presencia de placas blanquecinas y ligeramente atróficas que afectaban a los labios vulvares mayores y menores, que se extendían hacia la región perianal. No se apreció, por el contrario, afectación de la mucosa oral, las uñas ni el cuero cabelludo.
Fig. 1.--Placa nacarada y brillante en región mamaria izquierda.
Fig. 2.--Múltiples pápulas poligonales y violáceas en región lumbosacra.
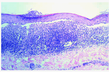
El estudio histopatológico de una biopsia de la lesión de región mamaria mostró hiperqueratosis ortoqueratósica, atrofia epidérmica, degeneración vacuolar focal en la interfase, marcado edema de la dermis papilar, homogeneización del colágeno y un intenso infiltrado linfohistiocitario perivascular en la dermis superficial. Estos hallazgos, que confirmaban el diagnóstico clínico de liquen escleroso, se demostraron también en una biopsia obtenida de las lesiones anogenitales. Por otro lado, en el examen microscópico de una pápula de la región lumbosacra se observaron hallazgos típicos de liquen plano como hiperqueratosis, hipergranulosis, acantosis con crestas interpapilares «en dientes de sierra», degeneración hidrópica intensa de los queratinocitos basales con formación de hendiduras subepidérmicas (espacios de Max Joseph) y un infiltrado linfohistiocitario dérmico en banda (fig. 3).
Fig. 3.--En la dermis papilar se observa intenso infiltrado inflamatorio «en banda». En la epidermis se aprecia ortoqueratosis, hipergranulosis focal y degeneración hidrópica marcada de los queratinocitos basales con formación de hendiduras subepidérmicas (espacios de Max Joseph). (Hematoxilina-eosina, x200.)
Entre los estudios analíticos efectuados sólo destacaba en la bioquímica una elevación de la glucemia basal (137 mg/dl; normal, 65-110 mg/dl) e hiperuricemia de 7,2 mg/dl (normal, 2,4-5,7 mg/dl). El resto de pruebas complementarias que incluyeron hemograma completo, hormonas tiroideas, proteinograma, autoanticuerpos (antinucleares, antimitocondriales, antitiroideos y anticélulas parietales), factor reumatoide y serología de virus de la hepatitis B y C (VHB, VHC) fueron normales o negativos. Se pautó tratamiento con antihistamínicos orales y corticoides tópicos, y se obtuvo una resolución progresiva de las lesiones de liquen plano, y ligera mejoría de las lesiones de liquen escleroso cutáneo y genital.
DISCUSION
Connelly y Winkelman1 comunicaron en 1985 los casos de 3 pacientes que desarrollaron conjuntamente liquen escleroso y liquen plano. En una revisión realizada por estos autores sólo identificaron 2 casos previos en que concurrían estas entidades2,3. Considerando en conjunto los 5 pacientes, cuatro de ellos presentaban liquen escleroso exclusivamente extragenital asociado respectivamente a liquen plano cutáneo y mucoso (2 pacientes), liquen plano cutáneo (1 paciente) y liquen plano oral (1 paciente); la quinta paciente, una mujer de 71 años, mostraba liquen escleroso vulvar asociado a liquen plano oral. Es interesante reseñar que estos 5 pacientes tenían también lesiones de morfea. Un año después, en 1986, Graham-Brown y Sarkany4 publicaron el caso de una mujer de 58 años con historia de cirrosis biliar primaria, que desarrolló lesiones de liquen escleroso perianal y submamario y liquen plano oral en los 2 años posteriores al diagnóstico de la enfermedad hepatobiliar. En 1994, Marren et al5 describieron los casos de 7 mujeres con diagnóstico clínico e histopatológico de liquen escleroso vulvar que presentaban simultáneamente lesiones liquenoides en la mucosa oral. Aunque en todas las pacientes de esta serie la imagen clínica de las lesiones orales era sugestiva de liquen plano bucal, el estudio histopatológico sólo fue efectuado en cuatro de ellas. Más recientemente, Serra et al6 publicaron el caso de un varón que presentó, en un periodo de 3 años, lesiones de liquen escleroso genital, liquen plano eruptivo generalizado y placas de morfea. En este paciente, que al igual que la nuestra tenía antecedentes de diabetes mellitus tipo 2, se detectó también hepatopatía por VHC. Desde entonces, la asociación entre el liquen escleroso y el liquen plano, con o sin lesiones de morfea, también ha sido referida sólo en casos aislados y esporádicos7-9.
El carácter excepcional con que se ha notificado la concurrencia del liquen escleroso y liquen plano contrasta con las semejanzas clínicas y patológicas existentes entre ambos cuadros6,7. Dentro de los aspectos clínicos comunes destacan la afectación tanto cutánea como de superficies mucosas, la presencia de respuesta isomórfica de Koebner, la existencia de variantes clínicas imbricadas (formas ampollosas, erosivas y ulceradas, etc.), así como el desarrollo ocasional de carcinomas epidermoides sobre las lesiones mucosas crónicas. Además, se ha descrito algún caso de liquen escleroso extragenital con características clínicas y topográficas que simulaban un liquen plano10. En lo que respecta a los hallazgos histopatológicos, ambas entidades también muestran analogías como el infiltrado linfocitario «en banda» en la unión dermoepidérmica y la degeneración liquefactiva de la capa basal epidérmica.
La etiología del liquen escleroso y liquen plano permanece sin aclararse, aunque en su patogenia se han involucrado mecanismos inmunológicos, relacionados con una reacción linfocítica contra uno o varios componentes de las células basales de la epidermis. En este contexto, debe señalarse la asociación de los dos cuadros con diversos trastornos de base autoinmune, entre otros, con la cirrosis biliar primaria4,11,12, el vitíligo3,13,14 y la alopecia areata1,13, así como la presencia de autoanticuerpos1,4. Otro aspecto interesante reside en la coexistencia observada en diversos casos de liquen escleroso y liquen plano con morfea1-3,6,9. Es un hecho bien conocido la aparición simultánea o secuencial de liquen escleroso y morfea9,15, mientras que la asociación de liquen plano y morfea, aunque menos frecuente, se ha observado generalmente siguiendo una estrecha relación cronológica1,6. Como han señalado Connelly y Winkelman1, las posibles alteraciones del sistema inmunitario que subyacen a estas tres dermatosis adquirirían un ejemplo demostrativo en la enfermedad de injerto contra huésped (EICH), en cuya fase crónica precoz pueden aparecen erupciones liquenoides semejantes al liquen plano, mientras que en la fase crónica tardía son característicos los cambios esclerodermiformes. Debe señalarse, asimismo, que también se ha descrito la aparición de liquen escleroso en la fase crónica de la EICH16.
En casos como el que se describe aquí resulta difícil determinar, en función de los conocimientos actuales, el significado real de la concurrencia entre ambos tipos de liquen. Aunque no puede descartarse que la asociación sea simplemente casual, los aspectos comunes y que relacionan ambos cuadros podrían justificar, quizá, que la coexistencia fuese el resultado de respuestas diferentes en un mismo individuo a un agente desencadenante idéntico o similar. Sin embargo, se ha sugerido también la posibilidad de que entre estas dos dermatosis exista una mayor proximidad nosológica. En este sentido, algunos autores consideran que el límite de separación entre ambas sería tan estrecho que representarían realmente un espectro de la misma entidad, pero con distintos patrones clínicos e histopatológicos de presentación en función de factores como la localización anatómica5.





