Sr. Director:
El cáncer de mama en el varón representa el 1 % de todos los cánceres mamarios y supone menos del 1 % de los carcinomas en el varón 1. Su incidencia se sitúa entre 0,1 y 3,4 por 100.000 habitantes, y se ha mantenido estable en los últimos 50 años, a diferencia del aumento observado en mujeres 2. La edad media de presentación es de 60 a 66 años, unos 5 años más tarde que en la mujer, y el carcinoma ductal es el tipo histológico más frecuente 3.
El pronóstico es similar en ambos sexos para estadios y tratamientos iguales. La menor tasa de supervivencia en el varón se debe al diagnóstico en estadios más avanzados 3,4.
La manifestación clínica más frecuente es una masa indolora subareolar. Algunos autores destacan la gran incidencia de afectación del pezón y de la areola, dado el pequeño volumen del tejido mamario en el varón, que facilitaría la afectación cutánea por contigüidad, de ahí la importancia del dermatólogo en su diagnóstico 2,4-8.
Un varón de 78 años, con antecedentes personales de hipertensión arterial e hiperplasia benigna de próstata consultó en septiembre del 2005 por un aumento de tamaño del pezón derecho, asociado a prurito en dicha zona. No presentaba antecedentes familiares de carcinoma mamario.
En la exploración física se observó el pezón derecho con aspecto de mórula y de 1,5 cm de diámetro, con induración retroareolar derecha de 3 x 3 cm (fig. 1). Se palpó una adenopatía móvil de 3 x 3 cm en la axila derecha.
Fig. 1.--Aumento del tamaño del pezón, que adquiere un aspecto de mórula.
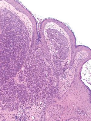
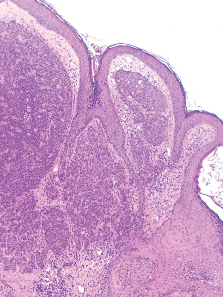
Se realizó una biopsia cuyo estudio histopatológico evidenció un tumor epitelial sólido con luces glandulares intratumorales en la dermis profunda, compatible con un carcinoma ductal infiltrante de mama (fig. 2).
Fig. 2.--Tumor epitelial sólido con un aspecto multinodular en la dermis. (Hematoxilina-eosina, x40.)
En el estudio de extensión practicado se observó en la ecografía axilar derecha un nódulo hipoecoico/ anecoico con refuerzo posterior de 3 cm con algún septo en su interior, sugestivo de adenopatía probablemente necrosada. En la gammagrafía ósea aparecía un incremento anómalo de captación en el tercio medio del cuerpo esternal compatible con metástasis.
La etiología del cáncer de mama en el varón es desconocida; se han descrito diversos factores de riesgo, la mayoría relacionados con el desequilibrio entre estrógenos y andrógenos: feminización por hiperestrogenismo tanto genético como exógeno, hiperestrogenismo secundario a hepatopatía (cirrosis, esquistosomiasis o malnutrición), supresión de la función testicular (síndrome de Klinefelter, secuela de orquitis, testes no descendidos, exposición ocupacional a calor o químicos tóxicos), ginecomastia, obesidad, hiperprolactinemia, historia familiar de cáncer de mama, exposición a radiación o campos electromagnéticos y edad avanzada 1,3,5.
Dado que con frecuencia se manifiesta como una masa mamaria unilateral el diagnóstico diferencial debe establecerse con mama fibroquística, neoplasia benigna de tejidos blandos, músculo o de origen neural y, principalmente, con la ginecomastia, aunque ésta suele ser bilateral, blanda y estar bien definida 4,9.
La pruebas diagnósticas (mamografía, ecografía y punción-aspiración con aguja fina), los factores pronósticos (estadio, tamaño del tumor, presencia de adenopatías y grado histológico) y la actitud terapéutica difieren muy poco respecto a las adoptadas en el cáncer de mama en la mujer 5,7,8,10.




