Sr. Director:
El carcinoma basocelular (CBC) es un tumor derivado de las células no queratinizadas que se origina en la capa basal de la epidermis. Su crecimiento lento y malignidad local hacen que evolucione habitualmente sin dar lugar a la formación de metástasis. Es el cáncer cutáneo más común, por ello se trata de una tumoración muy frecuente en la práctica clínica diaria. La gran mayoría de los casos se presentan en zonas foto-expuestas y la localización fuera de estas áreas es excepcional.
Presentamos un caso de una mujer de 77 años de edad con antecedentes personales de trastorno bipolar en tratamiento con carbonato de litio, que consultó por presentar una lesión tumoral, de aproximadamente un año de evolución, completamente asintomática y localizada en los genitales externos. Negaba antecedentes de enfermedades venéreas, traumatismos o lesiones previas en dicha región. No había recibido tratamientos inmunosupresores ni refería historia de exposición a tóxicos. Carecía de sintomatología sistémica asociada.
A la exploración física se observó una tumoración nodular de 1,8 cm de diámetro, de bordes irregulares, bien delimitados, perlados brillantes e hiperpigmentados, con superficie central erosionada, localizada a nivel del labio mayor derecho (fig. 1). No se palparon adenopatías regionales.
Fig. 1.--Tumoración nodular de bordes perlados y superficie central erosionada en labio mayor derecho.
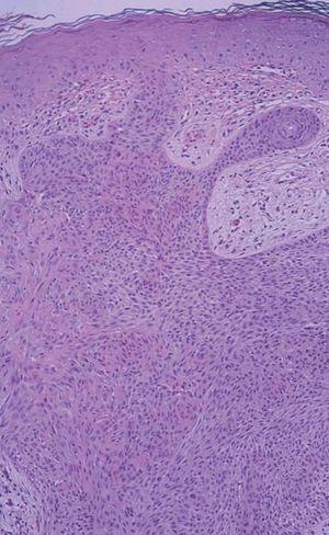
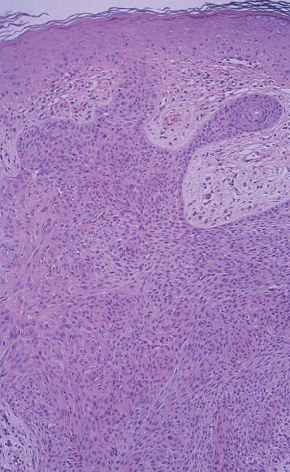
Con el diagnóstico clínico de carcinoma basocelular se realizó una biopsia incisional, que puso de manifiesto una proliferación de células basaloides dispuestas en empalizada originadas a nivel de la epidermis y que infiltraban la dermis (fig. 2). Los estudios complementarios realizados (hemograma, bioquímica, coagulación) fueron compatibles con la normalidad.
Fig. 2.--Células basalioides en grupos dispuestos periféricamente en empalizada, que nacen de la membrana basal epidérmica e infiltran dermis (H-E, x10).
Se realizó exéresis completa de la tumoración con un margen lateral de 1,5 cm. En las revisiones posteriores la paciente no ha manifestado recidivas locales, ni metástasis y continúa realizando controles anuales.
La patogenia del CBC es en parte desconocida, aunque la mayoría de los estudios epidemiológicos implican a la radiación ultravioleta como el inductor primario de este tipo de cáncer de piel, también se ven implicados otros factores como la predisposición genética, traumatismos, úlceras crónicas, quemaduras, cicatrices y estados de inmunosupresión sistémica 1. En la actualidad, la exposición solar intensa y aguda recibida en las primeras décadas de la vida es el factor de riesgo más relevante para el desarrollo de este tumor 2. Ello nos justifica que la mayoría de los CBC se localicen en zonas foto-expuestas de cabeza y cuello 3. Sin embargo, hay un mínimo porcentaje de estos tumores que aparece en áreas foto-protegidas como axilas, ingles, región génito-anal, palmas y plantas, y la boca 4. Varias teorías intentan explicar la etiopatogenia, aún desconocida de estos tumores localizados en áreas foto-protegidas. Heckmann et al 5 proponen como mecanismo responsable de su génesis, el estado de inmunodepresión causado por las radiaciones ultravioletas en sitios distantes 6.
El CBC de la vulva se considera muy excepcional, afecta a mujeres entre los 50-80 años de edad, y supone tan solo un 1 % de todos los tumores malignos vulvares 7. Aproximadamente un 90 % de los tumores de vulva son carcinomas escamosos, 5 % melanoma, 4 % adenocarcinoma, 2 % sarcoma, 1 % carcinoma basocelular. Fue descrito por primera vez por Temesvary en 1926 y desde entonces son escasos los casos reportados en la literatura. Se puede localizar en cualquier zona de la vulva, aunque los labios mayores son el sitio más común y la mayoría de los casos son mujeres posmenopáusicas 8.
En su fisiopatología la mayoría de los autores coinciden en que la inmunosupresión causada por la edad, los antecedentes de vulvovaginitis crónica, la radioterapia y los cambios hormonales, son los factores que influyen de forma decisiva en la degeneración de las células basales que conllevan a la formación del carcinoma 9. Gibson y Ahmed 10 tras la revisión de una serie de CBC perianales y genitales, llegaron a concluir que los traumatismos locales en dicha región y la edad avanzada son los dos únicos factores de riesgo significativos para el desarrollo de un CBC en dichas áreas. Sin embargo, no se ha encontrado relación con la infección por el virus del papiloma humano, que si parece ser uno de los factores más importantes en el desarrollo del carcinoma de células escamosas 11.
El CBC vulvar, al igual que en otras localizaciones, presenta un elevado poder de infiltración y destrucción local, con un alto índice de recidivas (20 %), según su estirpe histológica, tamaño y tratamiento. El índice de metástasis es raro, aproximadamente 0,0028 % de los casos y éstas se presentan en la gran mayoría en los ganglios regionales 12.
El tratamiento ideal consiste en la exéresis completa del tumor y se recomienda la técnica de Mohs como primera elección 13. En aquellos pacientes cuya histología sea más agresiva o que presenten mucho tiempo de evolución, y en la que no podamos realizar la cirugía de Mohs está indicado ampliar los márgenes quirúrgicos (2-3 cm) 14. Cuando la cirugía esté contraindicada, podemos emplear otras modalidades terapéuticas como curetaje, electrocoagulación, crioterapia, radioterapia, láser de CO2 y, más recientemente la terapia fotodinámica o la aplicación tópica de imiquimod.
Es un tumor de pronóstico bueno, pero la posibilidad de una recaída local requiere seguimientos estrictos de forma periódica.




