La generación de bloques celulares (BC) obtenidos a partir de punción-aspiración con aguja fina guiada por ultrasonido (PAAFUS) es una técnica bien establecida en patología mamaria y tiroidea, pero rara vez se utiliza en dermatología. Revisamos los BC obtenidos por PAAFUS de lesiones cutáneas, que se clasificaron como tumores cutáneos malignos, tumores cutáneos benignos, tumores cutáneos inflamatorios o enfermedades cutáneas por depósito. El rendimiento diagnóstico de cada categoría se comparó con la histopatología. La PAAFUS de 51 lesiones cutáneas se procesó en BC. Hubo concordancia global entre la histopatología y los BC en el 84,31% de los casos. La concordancia entre histopatología y BC para lesiones cutáneas benignas, malignas e inflamatorias y por depósito fue del 69,2%, del 93,7% y del 86,3%, respectivamente. La generación de BC a partir de PAAFUS de lesiones cutáneas debe considerarse como parte del arsenal diagnóstico dermatológico. Se necesita más experiencia para comprender mejor para qué tipos de lesiones dermatológicas estaría claramente recomendado.
The generation of cell blocks (CBs) obtained from ultrasound-guided fine needle aspiration biopsies (USFNAB) is a well-established technique in breast and thyroid pathology, but is rarely used in dermatology. We reviewed CBs obtained from USFNAB of skin lesions, which were categorized as malignant skin tumors, benign skin tumors, inflammatory skin tumors or deposit skin diseases. The diagnostic yield of each category was compared to histopathology. The USFNAB of 51 skin lesions was processed into CBs. There was overall agreement between histopathology and CBs in 84.31% of cases. Diagnostic group concordance for benign, malignant as well as inflammatory and deposit skin lesions were 69.2%, 93.7% and 86.3% respectively. Cell block generation from USFNAB aspirates of skin lesions should be considered as part of the dermatologic diagnostic armamentarium. Further experience is needed to better understand for which types of dermatologic lesions it would be clearly indicated.
Las biopsias por punción-aspiración con aguja fina guiada por ultrasonido (PAAFUS) de las lesiones cutáneas no son práctica común en dermatología, debido quizás a que las lesiones cutáneas son ampliamente susceptibles de ser biopsiadas por sacabocados o extirpación. Sin embargo, ciertas circunstancias propias de la lesión o del paciente hacen que estas estrategias de muestreo conservadoras de la arquitectura sean más complejas. Las biopsias por aspiración con aguja fina (BAAF) pueden acceder a zonas más profundas de manera más focalizada, lo cual permite evitar las estructuras neurovasculares1, especialmente cuando se recurre a la técnica ecoguiada. Además, las BAAF son menos traumáticas que las biopsias por punción o extirpación en un mismo sitio1.
Otro motivo por el cual se pasan por alto las BAAF en dermatología es que el procesamiento convencional de las muestras obtenidas mediante BAAF limita la distinción de las características citoarquitectónicas o el análisis de inmunohistoquímica (AIH), lo cual dificulta el desempeño diagnóstico de esta técnica2. Sin embargo, los bloques celulares (BC) producidos a partir de esta recolección de células se usan a menudo en citopatología, debido a las técnicas de procesado, que pueden concentrar los aspirados obtenidos para generar una «muestra pseudohistológica», que también puede procesarse para AIH. A su vez, esto incrementa el potencial diagnóstico del material obtenido mediante PAAFUS3. Hasta ahora no se han reportado las amplias aplicaciones de esta técnica de procesamiento en dermatología, sino en nuestra investigación inicial4,5. Reportamos la experiencia en nuestro centro con la generación de BC procedentes de PAAFUS en el diagnóstico de las lesiones cutáneas.
Materiales y métodosRevisamos retrospectivamente los bloques celulares obtenidos mediante PAAFUS en las lesiones cutáneas, revisiones llevadas a cabo en el departamento de Dermatología del Hospital Universitario Puerta de Hierro en colaboración con el departamento de Patología del mismo hospital desde enero de 2019 a marzo de 2021. Se recopilaron de las historias clínica y patológica las variables epidemiológicas tales como edad y sexo, localización anatómica y diagnóstico citológico e histológico tras la extirpación de las lesiones. Este estudio fue revisado y aprobado por nuestro Comité de Revisión Institucional. Los procedimientos fueron realizados conforme a los estándares éticos de la Declaración de Helsinki de 1964 y sus sucesivas modificaciones.
Un dermatólogo con formación específica en la técnica realizó las PAAFUS. La aspiración se realizó utilizando una aguja de calibre25 y una jeringa de 20ml con mango de pistola. La retirada multidireccional de la aguja a través de la lesión bajo visión ecográfica obtuvo material suficiente para el diagnóstico. La misma patóloga (L.N.B.) realizó inmediatamente tras la BAAF una evaluación rápida e in situ del aspirado, para evaluar la idoneidad de la muestra para diagnóstico.
Se aplicaron rutinariamente tinciones May-Grünwald-Giemsa y Papanicolaou a los frotis. Los bloques celulares se elaboraron a partir del material obtenido, añadiendo trombina al aspirado, según la descripción original realizada por De Girolami6,7. Seguidamente se realizó la inclusión en parafina habitual y el procesado, permitiendo también la tinción de inmunohistoquímica.
ResultadosSe procesaron un total de 51 lesiones dermatológicas de 51 pacientes (30 varones, 21 mujeres, edad media de 60,5±4años) para BC obtenidos de BAAF. Muchas lesiones se localizaron en las extremidades (22/51; 43,1%), seguidas del tronco (15/51; 29,4%) y cabeza y cuello (14/51; 27,4%).
Muchas lesiones correspondieron a trastornos de depósito e inflamatorios (22 lesiones; 43,1%) seguidos de tumores cutáneos malignos (16 lesiones; 31,3%) y benignos (13 lesiones; 25,4%). Los diagnósticos histológicos y las tasas de concordancia diagnóstica con BC se muestran en la tabla 1.
Diagnósticos histopatológicos de lesiones extirpadas y tasas de concordancia tras comparar los diagnósticos citológicos e histopatológicos
| Diagnóstico histológico (n) | Diagnóstico correcto por bloques celulares |
|---|---|
| Tumores cutáneos benignos (13) | 9/13 (69,2%) |
| Pilomatrixomas (2) | 2/2 |
| Osteomas (1) | 1/1 |
| Quistes epidermoides (2) | 2/2 |
| Quistes mucinosos (1) | 1/1 |
| Lipomas de células fusiformes (2) | 1/2 |
| Espiroadenomas (1) | 0/1 |
| Schwannomas (1) | 0/1 |
| Fibrofoliculomas (1) | 0/1 |
| Poromas (1) | 1/1 |
| Malformaciones linfáticas (1) | 1/1 |
| Tumores cutáneos malignos (16) | 15/16 (93,7%) |
| Carcinoma de células escamosas (6) | 6/6 |
| Melanoma metastásicos (4) | 3/4 |
| Adenocarcinomas metastásicos (2) | 2/2 |
| Metástasis pulmonares (3) | 3/3 |
| Plasmacitomas (1) | 1/1 |
| Enfermedades cutáneas inflamatorias y otras (22) | 19/22 (86,3%) |
| Cicatrices (6) | 6/6 |
| Nódulos linfáticos inflamatorios (4) | 4/4 |
| Amiloidosis (2) | 2/2 |
| Necrosis adiposa (2) | 1/2 |
| Sarcoidosis (1) | 1/1 |
| Leishmaniasis (1) | 0/1 |
| Hematomas (2) | 2/2 |
| Fibromatosis (2) | 1/2 |
| Granulomas inflamatorios (1) | 1/1 |
| Abscesos (1) | 1/1 |
| Total (51 lesiones) | 43/51 (84,31%) |
En nuestra serie de casos existió concordancia global entre el diagnóstico histológico y los BC en 43 de los 51 casos (84,31%). La concordancia fue del 69,2% para las lesiones cutáneas benignas, del 93,7% para las lesiones malignas y del 86,3% para las lesiones cutáneas de depósitos e inflamatorias. No se reportaron complicaciones relacionadas con la técnica (hematoma, infección).
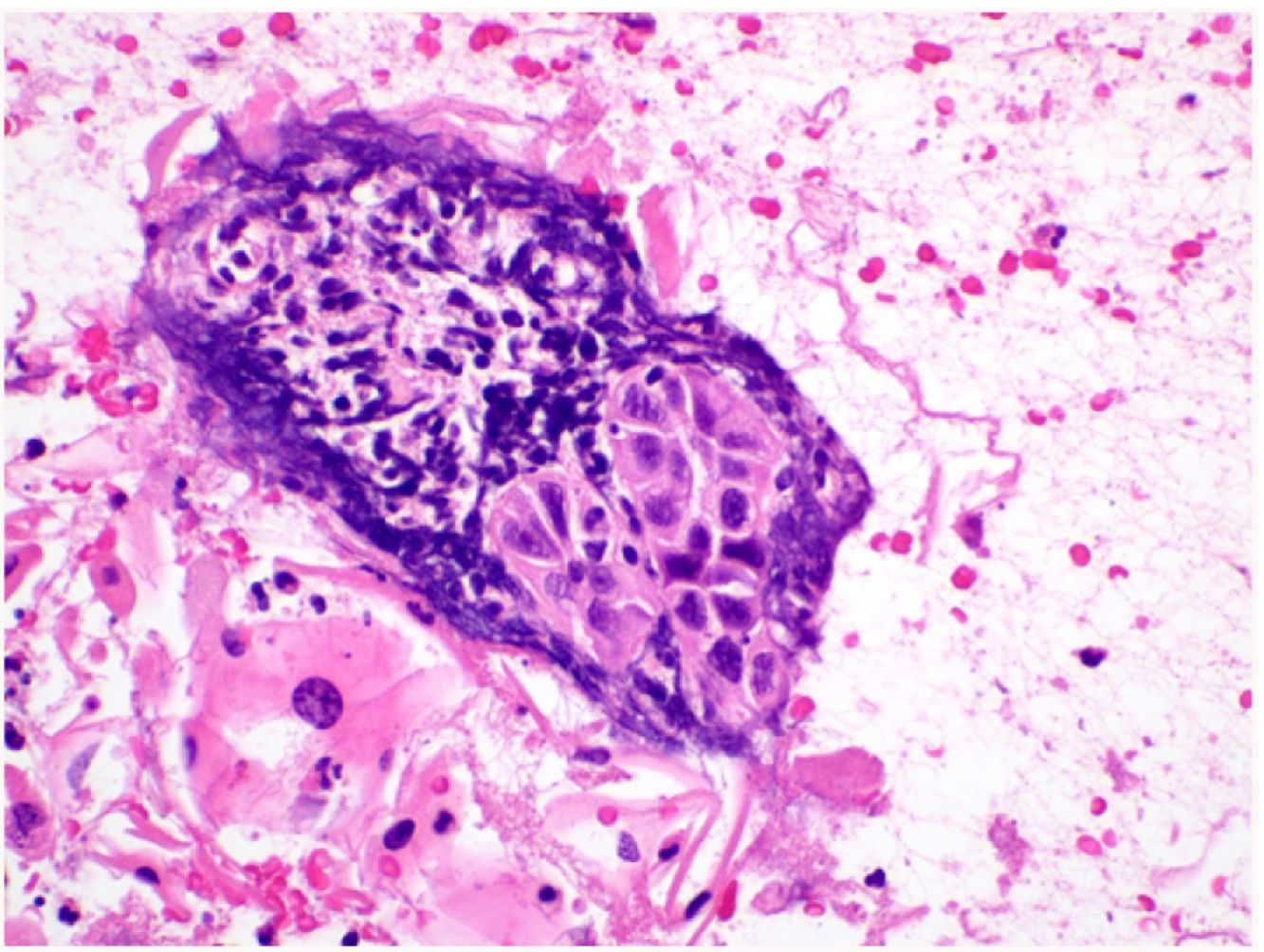
DiscusiónLas biopsias por punción-aspiración con aguja fina no han sido ampliamente utilizadas en dermatología, principalmente a causa de las limitaciones relacionadas con la falta de arquitectura histológica y las opciones más restringidas de los análisis de AIH y biología molecular subsiguientes. Sin embargo, el procesamiento de los BC del material de BAAF es una técnica bien establecida en otros tejidos tales como la mama, la tiroides y las efusiones6,7. Este método supera muchas de las limitaciones de BAAF en solitario, posibilitando la realización de estudios de AIH en los BC procesados en formalina y el uso de técnicas de biología molecular. Además, la técnica de coagulación utilizada en los BC crea una «pseudoarquitectura» que es similar a la que se apreciaría en las biopsias convencionales7 (fig. 1).
Las BAAF con frotis han sido bien estudiadas en una serie de lesiones dermatológicas por un grupo español1,8-13, con una correlación razonablemente buena entre los diagnósticos citológico e histológico. En una carta al editor, este grupo destaca los beneficios de las BAAF y los frotis en términos de bajo coste y rapidez, observando que la generación adicional de bloques sería más costosa y prolongada, lo cual haría que esta técnica fuera menos atractiva14. A pesar de ser ciertas estas aseveraciones, nos gustaría subrayar que los bloques celulares aportan información adicional y pueden ser de interés para estudios de AIH o moleculares específicos que no pueden realizarse sobre frotis para lesiones más ambiguas.
Las experiencias iniciales de BAAF en dermatología arrojaron una alta tasa diagnóstica para el diagnóstico concreto de enfermedades dermatológicas, aunque dichos estudios no incluyeron enfermedades inflamatorias o de depósito15-17. En dichos estudios previos, BAAF fue realizada utilizando una técnica ciega. En nuestra serie, el procedimiento de muestreo se realizó mediante guía ecográfica, lo cual incrementa la seguridad de BAAF, ya que el material se extrae de la lesión de interés mientras se confirma visualmente la localización de la vasculatura y los nervios circundantes18. La presencia del patólogo durante el procedimiento es también ventajosa, ya que puede evaluarse in situ la suficiencia del espécimen, como fue el caso en nuestro estudio, teniendo en cuenta que una muestra suficiente no es necesariamente una muestra diagnóstica.
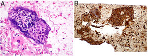
En nuestra serie de casos, los BC que obtuvimos mediante PAAFUS fueron más precisos para diagnosticar las lesiones malignas, probablemente a causa de las características más específicas de tipo citológico e inmunohistoquímico de este tipo de lesiones19. En cuanto a las lesiones benignas e inflamatorias o de depósito, el rendimiento diagnóstico fue menor, ya que su apariencia es menos característica y existen menos características patognomónicas para ellas16. Sin embargo, en el caso de las enfermedades de depósito, tales como amiloidosis, la BAAF permite obtener muestras de zonas de mayor tamaño, lo cual incrementa la probabilidad de identificar los depósitos de amiloides20 (fig. 2).
Las limitaciones de nuestro estudio incluyen el número limitado de casos y la dependencia del operador de las técnicas ecoguiadas. La capacidad de este enfoque de alcanzar de manera segura las lesiones subcutáneas, no accesibles de otro modo mediante la biopsia por punción, así como las posibilidades adicionales de estudios de AIH y moleculares, en comparación con los frotis, constituyen fortalezas de esta técnica, que podrían hacer que los bloques celulares obtenidos mediante PAAFUS fueran una estrategia diagnóstica óptima en pacientes frágiles, para quienes una biopsia por punción supondría un incremento de la morbilidad, y en quienes el frotis no sería suficiente.
ConclusiónLa generación de bloques celulares a partir de los aspirados de BAAF de las lesiones cutáneas es una técnica diagnóstica que debería considerarse como parte del armamento diagnóstico dermatológico. La colaboración entre patólogos y clínicos es esencial para maximizar las posibilidades diagnósticas de este enfoque. Sin embargo, se precisa más experiencia para comprender mejor para qué tipos de lesiones dermatológicas estaría claramente indicado este procedimiento mínimamente invasivo.
Conflicto de interesesLos autores declaran la ausencia de conflicto de intereses.






