Sr. Director:
El acantoma de células claras (ACC) fue descrito por Degos et al en 19621. Ellos sugirieron que se trataba de un tumor epitelial benigno de origen epidérmico, en lugar de una hiperplasia reactiva de origen inflamatorio, aunque 8 años después cuestionaron este concepto. En los últimos años son varios los autores que han reivindicado la naturaleza inflamatoria de esta lesión, incluyendo los que defienden que se trata de una forma localizada de psoriasis2,3.
La mayoría de los ACC son solitarios, siendo infrecuentes las formas múltiples. De forma aislada, está descrita en la literatura médica una forma eruptiva de la enfermedad, con más de 400 lesiones.
Nuestra paciente es una mujer de 32 años sin antecedentes personales de interés, salvo la presencia de una placa costrosa en la zona occipital del cuero cabelludo durante su adolescencia, que había desaparecido de forma espontánea hacía varios años. Como antecedentes familiares, su padre y un hermano presentaban psoriasis. Nos consultaba por la aparición progresiva desde hacía 20 años de múltiples pápulas eritematosas en los miembros inferiores (figs. 1 y 2) y los glúteos. Eran de consistencia elástica, algunas ligeramente descamativas. La paciente refería sangrado ocasional al ponerse pantalones ajustados. Durante el último año estaban apareciendo pápulas similares en el tronco y los miembros superiores.
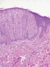
Con el posible diagnóstico clínico de liquen mixedematoso biopsiamos tres pápulas, siendo la imagen anatomopatológica similar en las tres. Se observaba una hiperplasia psoriasiforme, integrada por células grandes, de citoplasma claro (fig. 3), intensamente PAS positivo. La demarcación con la epidermis sana adyacente era muy nítida en las tres lesiones.
El ACC es generalmente solitario y se localiza con mayor frecuencia en las piernas, aunque el caso descrito por Degos et al se encontraba en el abdomen. El primer caso de ACC múltiple fue descrito en 19644 y desde entonces se han publicado unos 30 artículos. De estos, la mayoría son pacientes con ACC en número de 2-20, localizados en los miembros inferiores; a veces han aparecido en el contexto de ictiosis, venas varicosas, psoriasis o piel xerótica, sin que se haya podido aclarar si esta asociación es meramente coincidental5,6. Hay un caso muy interesante de ACC múltiple en una madre y sus dos hijos. Que sepamos, es el único ejemplo familiar descrito7.
De forma aislada y dentro de estos 30 casos, se han descrito pacientes con más de 100 lesiones generalizadas en el tronco y los miembros8. En la literatura médica tan solo hemos encontrado un caso similar al nuestro: una mujer con más de 400 lesiones, que han ido apareciendo de forma progresiva9.
Con respecto a la etiología del ACC, el mismo Degos reconoció 8 años después de la primera descripción que la naturaleza neoplásica de esta lesión estaba lejos de establecerse. Desde entonces, son muchos los autores que sugieren el hecho de que el ACC representa un patrón de reacción psoriasiforme. En términos generales se basan en estos tres criterios2,3,10:
- 1.
Muchos de los ACC descritos se localizan en el seno de otras lesiones inflamatorias o reactivas, ya sean dermatitis de estasis, quistes pilonidales o placas de psoriasis.
- 2.
Los hallazgos histopatológicos, así como el patrón dermatoscópico del ACC y la psoriasis, son muy similares.
- 3.
En un estudio reciente se comprobó que la inmunohistoquímica realizada era similar a la de la epidermis normal y a la de la psoriasis.
Dicho esto, y siempre en términos hipotéticos, podría ser que la psoriasis presente en la familia de nuestra paciente se manifestara en ella de esta forma tan excepcional.
Ella nos refería que al realizar años atrás, y por decisión propia, tratamientos mediante fototerapia en centros privados, las lesiones mejoraban ostensiblemente, aunque volvían a aparecer. Nosotros hemos optado por realizarle fototerapia con UVB de banda estrecha sin obtener respuesta. Posteriormente hemos propuesto a la paciente realizar PUVA, pero por ahora se niega a seguir cualquier tratamiento.
Conflicto de intereses
Declaramos no tener ningún conflicto de intereses.





