Sr. Director:
Las úlceras perianales en los pacientes infectados por el virus de la inmunodeficiencia humana (VIH) son de origen muy variado, incluyendo traumatismos, neoplasias, enfermedades venéreas, virus herpes simple (VHS), micobacterias, amebiasis, aftosis o citomegalovirus 1. En varones homosexuales es frecuente la infección herpética anogenital por VHS-2. En los pacientes con el síndrome de la inmunodeficiencia adquirida (sida) es común el herpes perianal recurrente con áreas difusas de ulceración frente a las clásicas vesículas 2.
Describimos el caso de un varón homosexual con úlceras herpéticas atípicas localizadas en la mano izquierda y región perianal asociadas a infección por el VIH no diagnosticada previamente y una inmunodeficiencia profunda (sida estadio C3).
Se trata de un paciente varón de 40 años de edad, homosexual, remitido a nuestro Servicio para valoración y tratamiento de unas úlceras dolorosas persistentes localizadas en la mano izquierda y la región perianal de tres meses de duración, tratadas previamente con antibióticos tópicos y sistémicos sin mejoría alguna.
A la exploración dermatológica se evidenciaron varias úlceras ovoides de bordes indurados y base con tejido de granulación localizadas en región perianal (fig. 1) y en mano izquierda (fig. 2). No se apreciaban adenopatías inguinales, fiebre, ni refería alteraciones en el hábito intestinal.
Fig. 1.--Úlceras perianales ovales de bordes netos.
Fig. 2.--Úlcera de gran tamaño localizada en la mano izquierda.
Se realizó un control analítico que incluía un hemograma y una bioquímica que mostró leucopenia y linfopenia. Las serologías de VHB, VHC y lúes resultaron negativas. La serología del VIH fue positiva y con un recuento de linfocitos CD4 de 106/mm 3.
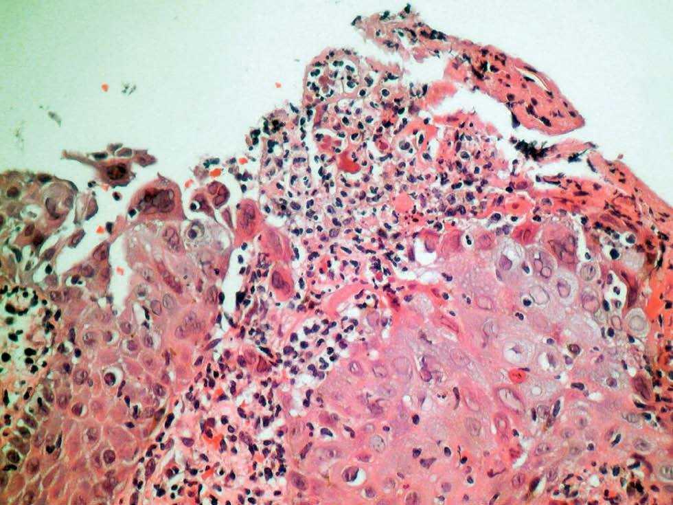
El estudio histopatológico del borde de una úlcera perianal mostró células gigantes en la epidermis y balonización y necrosis de queratinocitos (fig. 3). Los cultivos para bacterias y hongos fueron negativos, la fluorescencia directa para VHS positiva y la serología específica para el VHS-2 también positiva. Se observó una rápida mejoría con resolución completa de las úlceras tras dos semanas de tratamiento con aciclovir oral (200 mg 5 veces al día). Dos meses después tuvo un nuevo brote de lesiones localizadas en la mano izquierda.
Fig. 3.--Células gigantes multinucleadas en la epidermis y balonización de los queratinocitos (hematoxilina-eosina, ×200).
En pacientes inmunodeprimidos las infecciones por el VHS presentan una gran variedad de manifestaciones clínicas: localizadas, diseminadas, atípicas o refractarias al tratamiento 3-6. En los pacientes con el VIH se han descrito lesiones hiperqueratósicas, foliculitis necrotizante, necrosis digital persistente y úlceras crónicas, estas últimas consideradas criterio de sida si son de más de un mes de evolución. En estos pacientes las lesiones herpéticas pueden presentarse en localizaciones atípicas y ser más extensas y persistentes que en personas VIH negativas 2,7.
Este caso muestra la necesidad de descartar infección por el VIH en úlceras atípicas.





