A 4-year-old child, with no remarkable personal or family history was examined due to the presence of skin lesions on the lateral region of his right foot. These lesions were asymptomatic, had been present since birth, and had grown progressively proportionally to the patient's age. The parents had witnessed episodes of skin discoloration of the more distal lesion, along with the occurrence of respiratory tract infections or febrile episodes, during which no significant analytical findings were found (Fig. 1A).
Clinical photography. A. Erythematous-violet discoloration of the skin overlying the most distal nodule on the lateral side of the right dorsum of the foot consistent with respiratory infectious processes, or febrile episodes. B. Three 1.5cm to 4cm subcutaneous nodules linearly arranged on the lateral side of the right dorsum of the foot, with elastic consistency, unattached to the deep planes, and without epidermal components.
Three 1.5cm to 4cm subcutaneous nodules were found arranged linearly on the lateral side of the right dorsum of the foot. They had an elastic consistency, were not attached to the deep planes, painless, and had no epidermal component (Fig. 1B).
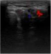
Ultrasound studyAfter an ultrasound study with a 22Hz probe, small thickenings of the subcutaneous cellular tissue were seen, partially defined, superficial, without invasion of deep planes, or notable findings on the color Doppler ultrasound (Fig. 2).
HistopathologyThe histopathology of a punch biopsy of the distal nodule revealed the presence of unencapsulated, multiple islands of mature adipose tissue located among the collagen bundles and surrounded by sweat glands, in the mid and deep dermis (Fig. 3A), along with proliferation of non-lymphatic dilated vessels (Fig. 3B), (podoplanin-negative [Fig. 3C]).
Pathological anatomy of a 4mm punch biopsy of the most distal nodule. A. Hematoxylin-eosin staining, ×10. Multiple unencapsulated islands of mature adipose tissue located among the collagen bundles and surrounded by sweat glands in the mid and deep dermis. B. Hematoxylin-eosin staining, ×40. Presence of dilated vessels in the superficial dermis. C. Immunohistochemistry with podoplanin (D 2-40), ×40. Negativity for cytoplasmic podoplanin, ruling out the lymphatic nature of the nodules.
What is your diagnosis?
DiagnosisFibrolipomatous hamartoma.
Diagnostic-therapeutic approachThe diagnosis achieved was congenital fibrolipomatous hamartoma. The benign nature of the condition was explained to the parents, and conservative management was advised.
CommentPrecalcaneal congenital fibrolipomatous hamartoma was initially described as “pedal papules of newborn” back in 1990 by Larralde et al.1. This entity can be found in the medical literature available with different nomenclatures such as piezogenic adult papules, benign anteromedial plantar nodules of childhood, and hypertrophic infantile pedal papules, among others), and in recent years, atypical presentations have been described.2
Fibrolipomatous hamartoma is a rare benign condition that appears at birth, or within the first few weeks of life. Although its exact pathophysiology is still unknown, the incomplete regression of fetal trabecular fibroconnective tissue, herniation of fatty tissue through defects in the plantar fascia, and congenital changes to the trabecular framework of adipose fibroconnective tissue have been suggested, as well as a certain association with genetic defects.3
It often presents as painless, non-pruritic bilateral solitary symmetrical nodules, with normal skin color, averaging 1cm in size and it usually appears on the medial plantar region of the heels.1 However, unilateral, retrocalcaneal, mandibular, and nasal cases have been reported.2 In this article, we describe some uncommon clinical signs such as multiple unilateral nodules on the dorsum of the foot associated with intermittent indolent erythematous-violet changes consistent with infections and febrile processes.
The diagnosis is clinical, although the ultrasound can be used for differential diagnosis (lipoma, neurofibroma, infantile and congenital hemangioma, and vascular malformation).4 Histopathological examination can be useful for the management of unilateral or indurated cases with inflammatory traits to rule out entities such as neonatal cystoesteatonecrosis, fibromatous tumors, or sarcomas.5 In our case, the histopathological and ultrasound findings made are consistent with the description found in the medical literature currently available.1,3,4,6 The increased number of blood vessels, without perivascular changes, could be involved in the skin bruising associated with the lesions we’re describing.
In its evolution, these lesions often increase in size progressively with the child's growth. Due to the absence of symptoms and organ repercussions, their benign course, and the possibility of spontaneous regression in some cases, the best approach is clinical observation. Surgical excision is only considered if lesions persist, become symptomatic, or result in functional consequences or gait disturbances.1,3,5
In conclusion, we described a case of this likely underreported entity with atypical signs regarding the number (multiple), symmetry (unilateral), location (dorsum of the foot), and changes of appearance during infections and febrile events. The number of cases described in the medical literature available should increase to better characterize the pathophysiology and natural evolution of this condition.
Conflicts of interestNone declared.








 
 
		
