La poroqueratosis es un trastorno de la queratinización caracterizado clínicamente por la presencia de placas anulares rodeadas por un borde discretamente queratósico. Fue descrito por primera vez en 1893 por Mibelli y, desde entonces, se han descrito 6 tipos: la poroqueratosis de Mibelli, la poroqueratosis actínica superficial y diseminada, la poroqueratosis palmaris plantaris et diseminata, la poroqueratosis lineal y algunas variantes más raras, como la ptycotrópica y la poroqueratosis gigante1. Todos los subtipos comparten la presencia histológica de la laminilla cornoide. Esta es una columna de paraqueratosis compacta, con una ausencia focal de la granulosa y la presencia concomitante de células disqueratósicas2.
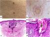
Un hombre de 52 años consultó por una dermatosis diseminada, de forma bilateral y simétrica, en las extremidades tanto superiores como inferiores, con una afectación de la cara dorsal de los antebrazos y la cara anterior de los muslos. Las lesiones le producían prurito de forma ocasional. La exploración clínica evidenció la presencia de unas placas eritematosas redondeadas, con un discreto borde queratósico (fig. 1A). A la dermatoscopia se observaba un eritema y descamación folicular sin un patrón dermatoscópico definido (fig. 1B). Además, el paciente refería haber padecido de 4 carcinomas basocelulares, todos ellos tratados mediante extirpación quirúrgica con cierre directo 2 años atrás, sin signos de recidiva.
A. Imagen clínica de la dermatosis constituida por eritema y escama fina que confluye en placas de forma redondeada y con discreto borde queratósico.
B. Imagen dermatoscópica: observa eritema y escama de distribución folicular sin un patrón dermatoscópico definido.
C. Hematoxilina-eosina (H&E), ×10. Histopatología: epidermis con hiperqueratosis ortoqueratósica y zonas de acantosis regular moderada. En el espesor de la dermis infundíbulos foliculares dilatados que contienen queratina laminar, así como columnas de hiperqueratosis paraqueratósica compacta que corresponden a laminillas cornoides, dichas estructuras conectadas con el epitelio folicular en donde hay ausencia de la capa granulosa.
D. Hematoxilina-eosina (H&E), ×4 y ×40. En otras zonas del corte se observan estructuras quísticas que también contienen laminillas cornoides, con diagnóstico de poroqueratosis folicular.
La sospecha clínica inicial fue de queratosis actínicas múltiples, por lo que se trataron con 5-fluoruracilo tópico durante 12 semanas sin respuesta. Por ello, se realizó una biopsia escisional de una de las lesiones, bajo la sospecha de probable enfermedad de Bowen. Histológicamente se observó una epidermis con una hiperqueratosis ortoqueratósica y zonas de acantosis regular moderada. En el espesor de la dermis se encontraban infundíbulos foliculares dilatados con queratina laminar, así como columnas de hiperqueratosis paraqueratósica compacta que correspondían con laminillas cornoides, conectadas con el epitelio folicular, en donde hay ausencia de la capa granulosa (fig. 2C). En otras zonas del corte se observaban estructuras quísticas que también contenían laminillas cornoides (fig. 2D). Con estos hallazgos el diagnóstico fue de poroqueratosis folicular.
A. Imagen clínica donde se observan lesiones de aspecto papular que confluyen formando placas de color marrón.
B. Imagen dermatoscópica donde se observan estas lesiones milimétricas con un borde periférico hiperqueratósico con escama central, con signo del doble riel, en el centro un área central homogénea de aspecto cicatricial.
C. Hematoxilina-eosina (H&E), ×10. Histopatología: muestra una epidermis con capa córnea laminar, hiperpigmentación de la capa basal y en la parte central del corte se observa un infundíbulo folicular dilatado. En la dermis superficial y media se observan infiltrados moderadamente densos dispuestos en focos.
D. Hematoxilina-eosina (H&E), ×40. A mayor aumento hay áreas donde no se observa capa granulosa y presencia de células disqueratósicas, por lo que esta hiperqueratosis paraqueratósica corresponde a la laminilla cornoide.
Un hombre de 58 años consultó por presentar una dermatosis pruriginosa diseminada, bilateral y simétrica, en las extremidades superiores, el tronco y las extremidades inferiores, de las que afectaba a la cara anterior y posterior de los antebrazos, los flancos, la región lumbar y la cara interna de los muslos. Clínicamente se observaban lesiones de aspecto papular con una escama queratósica en el borde y tendencia a confluir formando pequeñas placas de color marrón, bien delimitadas, de menos de 1cm (fig. 2A). A la dermatoscopia se observó el borde periférico hiperqueratósico, la presencia de una escama central con el signo del doble riel y en el centro un área central homogénea de aspecto cicatricial (fig. 2B). No refería otros antecedentes de importancia. El resto de la piel y los anexos no presentaban alteraciones reseñables.
El estudio histológico de una biopsia incisional de una de las lesiones mostró una epidermis con una capa córnea laminar, una hiperpigmentación de la capa basal y, en la parte central del corte, un infundíbulo folicular dilatado. En la dermis superficial y media se observaban infiltrados focales moderadamente densos (fig. 2C). A mayor aumento se observó una hiperqueratosis paraqueratósica compacta dentro del infundíbulo, áreas en las que no se observa capa granulosa y la presencia de células disqueratósicas coincidiendo con la laminilla cornoide (fig. 2D).
La poroqueratosis folicular fue propuesta como una variedad diferente a las antes descritas en 2009 por Pongpudpunth et al.3. Desde entonces se han comunicado alrededor de 21 casos en la literatura médica mundial. Las lesiones son más frecuentes en mujeres con una relación hombre:mujer de 2:3. La edad de presentación varía desde los 19 a los 85 años, aunque el pico de incidencia por edad se concentra entre los 20-60 años de edad4.
La patogenia del cuadro de la variedad folicular es desconocida. Sin embargo, la implicación de la exposición a la radiación ultravioleta, al igual que ocurre con otras variedades de poroqueratosis, se ha sugerido por el incremento documentado de la proteína P535. Podría haber factores genéticos concomitantes, pues hay un caso publicado con un patrón de herencia autosómico dominante6.
Se localiza predominantemente en las áreas fotoexpuestas. Por orden de frecuencia se ha observado sobre todo en la cara, seguido del tronco y las extremidades, aunque hay 2 casos con afectación de los glúteos7. La clínica más frecuente es de placas anulares, eritematosas, de color marrón o del color de la piel, de aspecto folicular y con un borde discretamente queratósico, con tamaños que van desde 0,2-2cm de diámetro8.
En la mayoría de los pacientes cursan de forma asintomática y solo 4 casos presentaron un prurito ocasional como síntoma predominante9. Esta descripción también corresponde a lo observado en los pacientes presentados en esta carta.
En la histopatología se observa la laminilla cornoide confinada únicamente al folículo piloso, se encuentra una ausencia focal de la capa granulosa y la presencia de células disqueratósicas, como hallazgos principales, aunque también puede haber de forma coincidente una epidermis atrófica, cambios focales de la interfase, depósitos de mucina e infiltrados perivasculares en la dermis superficial10.
El diagnóstico diferencial clínico e histológico de la poroqueratosis folicular incluye otras dermatosis poroqueratósicas: la poroqueratosis de Mibelli, la poroqueratosis lineal y la forma ptycotrópica11, así como otras dermatosis como la queratosis actínica, el lupus discoide o el carcinoma espinocelular superficial8.
Para el tratamiento, al igual que en otros casos de poroqueratosis, se han empleado múltiples modalidades terapéuticas con un resultado variable. Entre ellas destacan la crema de imiquimod al 5%, queratolíticos, la crema de 5-fluoruracilo, el curetaje y la escisión quirúrgica, siendo esta última la que ha brindado una menor tasa de recidivas12.
La poroqueratosis folicular puede ser entendida desde 2 ópticas distintas; en primer lugar, como una variedad histológica de otros subtipos más amplios de poroqueratosis, como es el caso de la poroqueratosis actínica superficial y diseminada (PASD). Así, en una revisión de 61 casos de PASD el 41% de los casos tenía afectación únicamente folicular13. Sin embargo, y por último, después de que Pongpudpunth et al. la propusieran como una variedad diferente, existe la creciente opinión de que debe considerarse como una entidad nueva y sumarse como una variedad más a los subtipos de poroqueratosis ya descritos3,4.
Hasta la fecha tenemos conocimiento de que solo han sido publicados en la literatura médica internacional 21 casos de poroqueratosis con afección folicular. Nuestros casos coinciden en características clínicas e histológicas con los casos previos.
FinanciaciónLa presente invetigación no ha recibido ayuda especifica provenientes de agencias del sector púbilico, sector comercial o entidades sin ánimo de lucro.
Conflicto de interesesLos autores declaran no tener ningún conflicto de intereses.





