A 67-year-old woman with a past medical history of nodular basal cell carcinoma on the right malar region, previously treated with simple surgical excision, presented with a 5-month history of multiple pruritic papules located on the concha of both auricles and in the right external auditory canal (EAC). She had not received any treatment.
Physical examinationClinically, she exhibited multiple indurated, millimetric papules of the same color as the surrounding skin, located on the right auricular concha and EAC (Fig. 1), and on the concha of the left auricle. Dermoscopy revealed homogeneous brownish lesions without specific structures.
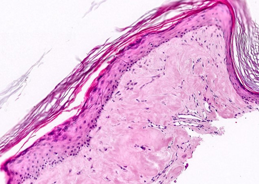
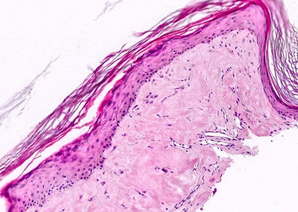
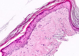
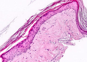
HistopathologyHistologic examination of one lesion revealed the presence of deposits of eosinophilic, amorphous, homogeneous material within the papillary and superficial reticular dermis (Fig. 2). Deposits tested positive with Congo Red staining and exhibited an apple-green birefringence under polarized light (Fig. 3).
Additional testsBlood tests showed a normal complete blood count, with no abnormalities in hepatic or renal function. Autoimmune screening was negative, and serum protein electrophoresis revealed no further changes.
What is your diagnosis?
DiagnosisPrimary amyloidosis of the external ear (PAEE).
Clinical courseMost lesions were removed by curettage, resulting in an excellent cosmetic outcome and resolution of pruritus. One year later, new pruritic lesions appeared and were excised again, yielding the same histological findings.
CommentPAEE, also known as auricular collagen papules, is a rare variant of primary amyloidosis first described by Sánchez in 1983.1 Characteristically, it presents as small unilateral or bilateral papules on the external ear, which may be pruritic or asymptomatic.1–6 It has rarely been associated with macular amyloidosis or lichen amyloidosis.5 In most reported cases, there are no signs of systemic amyloidosis and no past medical history of prior trauma.
Positivity for CK34βE12 suggests that its origin lies in keratinocyte degeneration.6 Unlike nodular amyloidosis—caused by deposition of light chains in the deep dermis and adnexal structures and associated with systemic processes—this entity is not associated with hematologic dyscrasias or connective tissue diseases.6 PAEE is a benign, generally asymptomatic condition that does not require additional diagnostic testing or treatment. When cosmetic concerns arise or pruritus is significant, curettage followed by electrocoagulation may be performed, usually with good esthetic outcomes.3
Because of its nonspecific clinical appearance and location, differential diagnosis includes basal cell carcinoma, seborrheic keratoses, adnexal tumors, and viral warts. The absence of dermoscopic structures and the presence of multiple asymptomatic or pruritic lesions should raise suspicion for this entity.
Definitive diagnosis requires histologic confirmation, characterized by homogeneous hyaline deposits in the dermal papillae that show Congo Red and crystal violet positivity, and apple-green birefringence under polarized light.
Conflict of interestThe authors declare that they have no conflict of interest.





