Reverse isotopic phenomenon is the palindromic version of Köebner isotopic phenomenon, rarely observed and described in dermatology.1,2 We report an erythrodermic adverse cutaneous drug reaction (CDR) with reverse isotopic phenomenon around molluscum contagiousum virus infection.
Case reportA 45-year-old HIV positive patient presented with a generalized erythematous rash developed on day 12 of treatment of retinal toxoplasmosis with sulfadiazine and pyrimethamine.
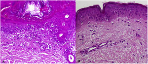
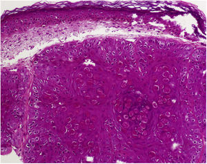
Physical examination revealed a generalized morbilliform rash, preserving several areas around eight flesh umbilicated papules on the upper thorax (Fig. 1). Three biopsies were performed. Skin biopsy from the erythematous exanthema showed superficial perivascular lymphocytic infiltrate with focal vacuolar changes in the dermo-epidermal junction (Fig. 2A). Biopsy from umbilicated papules showed presence of Henderson-Patterson bodies (Fig. 3). Biopsy of clear areas showed no inflammatory infiltrate (Fig. 2B).
The patient was diagnosed of CDR preserving skin areas around molluscum contagiosum virus (reverse isotopic phenomenon).
DiscussionThe Renbeök phenomenon was first reported in 1991 by Happle et al, describing hair growth on psoriatic plaques in a patient with alopecia areata.2 Since then, similar cases have been described.3
The term that encompasses the concept of a lesion protecting against the onset of a new dermatosis in the same anatomical location is called reverse isotopic phenomenon.4
There is a series of similar phenomena to the one we presented, but with different manifestations such as the isomorphic or Köebner phenomenon, the reverse isomorphic or inverse Köebner phenomenon and the isotopic or Wolf phenomenon.
The isotopic or Wolf phenomenon consists of the appearance of a new and different dermatosis on an existing one. Ruhal et al. in 2014 carried out a review of the literature on the Wolf phenomenon where they found 57 reported cases. Only 5 cases from this group described the inverse isotopic phenomenon, all of which were Herpes Zoster (HZ) lesions that protected the compromised skin from developing lesions from other dermatological diseases, such as contact dermatitis and CDRs.5
In 2019, M. Adil et al. reported a similar case about HZ and reverse isotopic phenomenon.6
In our case, the primary disease was MCV and the secondary disease was an erythematous rash sulfadiazine CDR in a HIV patient.
C. Le Treut et al., in 2014, reported a patient with stage IV Sezary syndrome, who presented multiple MCV, spread and surrounded by a pale halo.7 Pastin reported a case of MCV surrounded by a clear area, in a patient with an atopic dermatitis and severe eczema.8
The MCV inhibits the patient's immune response in order to replicate. The virus is capable of creating a homologue to the heavy chain of the class I major histocompatibility complex. This homologue favors the absence of T lymphocytes and cytotoxic cells. In turn, it encodes a cytokine homologous to the macrophage protein (MIP)-IB, thereby inhibiting the body's defensive response. The MCV inhibits the transcription factor NF-Kb through its protein MC159 and MC160. This transcription factor participates in the gene activation of pro-inflammatory substances such as IL-1, TNF-a, IFN-y, IL-6, IL-8, I-CAM1. These two same viral proteins are capable of inhibiting the transcription factor IRF3, directly decreasing the activity of INF-b. Another viral protein implicated in the inhibition of the host inflammatory response is MC54, a direct inhibitor protein of IL-18. IL-18 produces macrophage activation with release of cytokines and IFN-y. Lastly, it is known that the molluscum virus has proteins that inhibit the chemotaxis of monocytes, lymphocytes and neutrophils by interacting with CC and CXC type chemokines through the production of MC148.9,10
The pathogenesis of the MCV infection could explain the respect of the perilesional skin in the CDR described, since the pathways of the immune system that are blocked by MCV to allow its development are shared with the pathogenesis of CDR. The inhibition of NF-Kb, with the consequent decrease in TNF-a, IFN-y, the inhibition of IFN-b and the production of competitive substances of MHC-1 and MIP-IB could be the key to the phenomenon that we describe and could be a possible source of research for the management of CDRs.
To our knowledge, this represents the first association of CDR with reverse isotopic phenomenon around MCV infection.






