Introducción
La micosis fungoide folicular o foliculotropa (MFF) es una variante de la micosis fungoide (MF) caracterizada por la presencia de infiltrados foliculares, a menudo respetando la epidermis, y con afectación preferente de cabeza y cuello1. La actual clasificación de consenso WHO-EORTC de los linfomas cutáneos engloba bajo este término de MFF tanto a la denominada mucinosis folicular asociada a MF como a la MFF o pilotrópica sin presencia de mucina, ya que no se encontraron diferencias en su presentación clínica o pronóstico1.
La MFF afecta con mayor frecuencia a varones adultos. Clínicamente se presenta en forma de lesiones con apariencia de quistes o comedones, hiperqueratosis folicular, pápulas foliculares, placas con acentuación folicular y, a veces, tumores2-15. Estas lesiones a menudo se acompañan de alopecia1,6,9-14. La mayoría de los pacientes tienen prurito moderado a severo10. En algunos casos se acompaña de mucinosis folicular6,10,13.
Se considera que la MFF tiene peor pronóstico1,16,17, comportándose de una manera similar o equivalente al estadio tumoral de la MF clásica1,10.
Presentamos nuestra experiencia con 4 casos de MFF vistos en nuestro Servicio de Dermatología en los últimos años.
Casos clínicos
Caso 1: se trata de una mujer de 68 años que desde hacía 25 presentaba placas rosadas, muchas de ellas con acentuación folicular, no infiltradas, distribuidas en tronco, raíz de miembros y cara (fig. 1). En los dos últimos años aparecieron lesiones de tipo comedón en cara y cuello. El estudio de extensión no evidenció afectación extracutánea y se estableció el diagnóstico de MF estadio IB (T2, N0, M0). Realizó diferentes tratamientos como corticoides tópicos, mecloretamina y carmustina tópica y PUVA, logrando remisiones completas o parciales, pero con recidivas posteriores.
Figura 1. Placa rosada en cara con acentuación folicular.
Caso 2: un varón de 65 años en el que las lesiones se iniciaron hacía 9 años en forma de placas cutáneas eritematosas a nivel de la cintura, que luego se diseminaron por el resto del tegumento cutáneo. Hace tres años, cuando fue visto por primera vez en nuestro Servicio, se apreciaban de manera diseminada en cara, tronco y miembros placas rosadas e infiltradas con acentuación de los folículos, pápulas foliculares y lesiones que simulaban comedones (fig. 2). En labio superior presentaba una lesión tumoral. En la exploración general se hallaron adenopatías pequeñas y rodaderas en ingles, cuyo estudio histopatológico se correspondió con linfadenitis dermopática. El estudio de extensión no mostró afectación de órganos internos. Con el diagnóstico de MF en estadio IIB (T3, N1, M0) se pautó tratamiento con radiación corporal total con haz de electrones, obteniendo respuesta completa. Un año después presentó recidiva de algunas placas y en la actualidad realiza tratamiento con bexaroteno oral.
Figura 2. Placas rosadas y lesiones quísticas que simulan comedones.
Caso 3: un varón de 45 años en el que las lesiones cutáneas se iniciaron 6 años antes en forma de microquistes en cara y frente (fig. 3), placas cutáneas en tronco y alopecia en cuero cabelludo y cejas. Estas lesiones progresaron, y en los últimos años se desarrollaron algunos tumores en cuero cabelludo. En las pruebas complementarias destacaba eosinofilia del 33 % y en la tomografía computarizada (TAC) toraco-abdomino-pélvica múltiples nódulos pulmonares. Las lesiones pulmonares fueron estudiadas por el Servicio de Neumología y se relacionaron con su linfoma, aunque no se pudo realizar confirmación histológica ni citológica. La evolución de las lesiones pulmonares fue paralela con las cutáneas. Con el diagnóstico de MF en estadio IVB (T3, N0, M1) realizó tratamiento con quimioterapia (6 ciclos de CHOP) y posteriormente radiación corporal total con haz de electrones con resolución parcial de las lesiones. En la actualidad presenta múltiples nódulos pulmonares y tumores cutáneos diseminados. Realiza tratamiento con metotrexato 50 mg/semana.
Figura 3. Múltiples quistes en región frontal.
Caso 4: un varón de 68 años que desde hacía año y medio presentaba pápulas foliculares y placas generalizadas que algunas habían evolucionado a tumores. A la palpación se halló adenopatías submandibulares, axilares e inguinales, cuyo estudio histológico mostró borramiento parcial de la estructura ganglionar e infiltración específica por la micosis fungoide. En las exploraciones complementarias destacaba lacticodeshidrogenasa (LDH) elevada de 444 U/l. Se diagnosticó como MF IVA (T3, N3, M0). Se pautó tratamiento con quimioterapia 4 ciclos de CHOP con mejoría de las lesiones cutáneas, pero el paciente falleció de shock séptico.
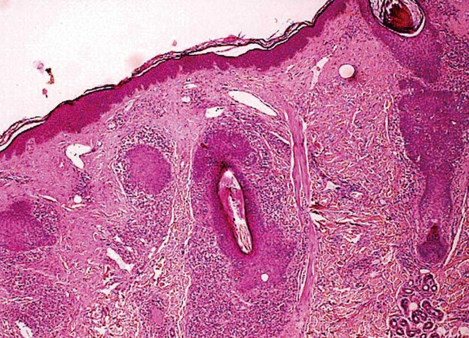
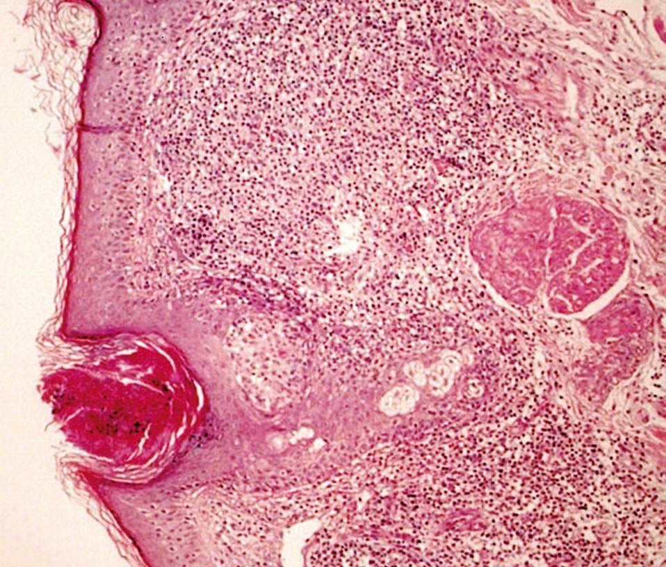
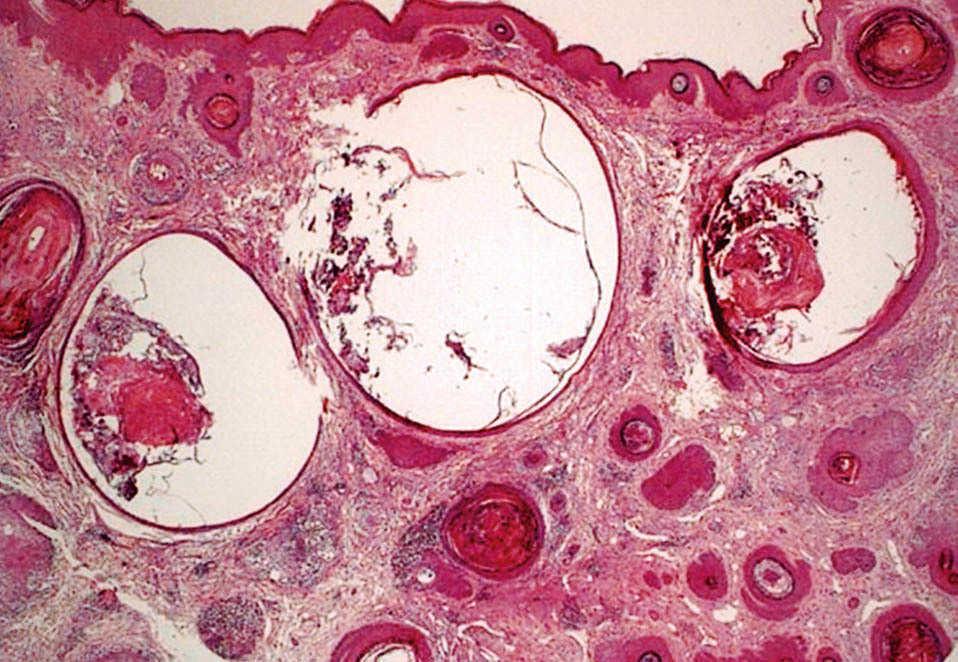
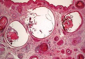
En cuanto a la histopatología, las distintas biopsias de piel realizadas mostraron hallazgos comunes dentro de un amplio abanico con diferentes grados de afectación. Éstos consistieron en un infiltrado de distribución peri e intrafolicular con la epidermis parcial o totalmente respetada (fig. 4). El infiltrado estaba formado predominantemente por linfocitos atípicos de pequeño y mediano tamaño, cerebriformes, que en algún caso formaban pequeños nidos (microabscesos de Pautrier) (fig. 5). Se observaban también, en menor grado, algunos eosinófilos, plasmáticas y células de aspecto histiocitario. A veces, los folículos pilosos afectados presentaban una dilatación de su luz dando lugar a formaciones quísticas revestidas por epitelio escamoso. Coexistiendo con este tipo de quistes en el caso número 4 se observaron también quistes «limpios», sin infiltrado inflamatorio alrededor (fig. 6). En los casos 2, 3 y 4 se apreciaba en algunos de los folículos una estructura lacunar con contenido basófilo claro positivo para azul Alcián (mucinosis folicular). En el caso número 4 se halló también infiltración de linfocitos atípicos alrededor de las glándulas sudoríparas ecrinas (siringotropismo).
Figura 4. Infiltrados de distribución peri e intrafolicular con la epidermis respetada (hematoxilina-eosina ×50).
Figura 5. Infiltrado perifolicular con microabscesos de Pautrier en el epitelio del folículo (hematoxilina-eosina ×200).
Figura 6. Formaciones quísticas en dermis (hematoxilina-eosina ×50).
El estudio inmunohistoquímico se realizó en material parafinado utilizando un sistema de visualización EnVisión de Dako en un aparato automatizado Techmate®. Se utilizó un panel de marcadores pan B (CD20, CD79a) y marcadores de línea T (CD3, CD5, CD8 y CD4), además del antígeno de activación CD30 y de proliferación Ki 67. Observamos positividad para los marcadores CD3, CD5 y CD4 y negatividad para CD30 y CD20, evidenciando un fenotipo T cooperador de memoria.
Discusión
El término MFF fue utilizado por primera vez por Kim en 1985 con la finalidad de resaltar la dificultad diagnóstica de dos casos de MF cuyos infiltrados estaban limitados al folículo piloso y dermis perifolicular18. En la actualidad la MFF es reconocida en la clasificación de consenso WHO/ EORTC para los linfomas cutáneos como una variante clínica inusual de MF en la que los linfocitos neoplásicos rodean e infiltran el epitelio del folículo piloso respetando la epidermis1.
La etiopatogenia de la MFF no se conoce bien. Se ha sugerido que el epitelio del folículo piloso expresaría niveles más elevados de receptores para linfocitos selectivos de la piel (skin-selective homing) y moléculas de adhesión que la epidermis, y esto daría lugar a un tropismo preferencial de los linfocitos neoplásicos hacia el folículo8. En este sentido Hodak et al9 hallaron una expresión exclusiva de ICAM-1 en la membrana del epitelio folicular en lesiones de MFF; sin embargo, y en contraste, las lesiones de MF clásica expresaban ampliamente ICAM-1 en la epidermis. Además, en la formación de los quistes también puede influir la obstrucción mecánica del folículo piloso producida por la infiltración de éste3,19.
Desde el punto de vista clínico la morfología de las lesiones suele ser bastante característica, mostrándose generalmente como pápulas foliculares, placas con acentuación folicular o quistes y comedones2-15. En algunos casos pueden aparecer tumores10 o pseudotumores20. Los pacientes con MFF pueden tener también simultáneamente lesiones de MF clásica o convencional2,4,9.
En todos nuestros pacientes concurrían a la vez manifestaciones de MF convencional en forma de placas, y a veces tumores, con lesiones características de MFF. Éstas últimas, que eran las predominantes, consistieron en microquistes, a veces simulando comedones, pápulas foliculares que en ocasiones confluían en placas, placas con acentuación folicular y alopecia en cuero cabelludo y cejas. Especialmente llamativo fue el caso 1, en el cual durante los dos últimos años únicamente aparecían lesiones de tipo comedón en cara y cuello simulando un acné o erupción acneiforme, y cuyo estudio histológico mostró los hallazgos típicos de la MFF.
El estudio histopatológico de la MFF se caracteriza por un infiltrado dérmico de distribución perivascular y perianexial, con infiltración variable del epitelio folicular por linfocitos atípicos de tamaños variables y núcleo cerebriforme1,10,21. A veces, puede estar acompañado de mucinosis folicular1,10,13,21. La epidermis aparece generalmente respetada10. En algunos casos, además de foliculotropismo, se puede hallar siringotropismo9,10,13,22, e incluso siringometaplasia escamosa22. En tres de nuestros pacientes (casos 2, 3 y 4) se puso de manifiesto, además del infiltrado foliculotropo característico, la presencia de mucinosis folicular y en el caso 4 se observó también un infiltrado linfocitario atípico alrededor de las glándulas sudoríparas ecrinas (siringotropismo).
En la mayoría de los casos los linfocitos T neoplásicos son CD3+, CD4+ y CD8 como en la MF clásica1. Es frecuente hallar también un pequeño número de células blásticas CD30+ dispersas1,10. La presencia de un número considerable de células blásticas CD30+ o CD30 (> 15 %) se ha asociado con peor pronóstico10.
El diagnóstico diferencial clínico es especialmente importante en aquellos casos en los cuales las lesiones aparecen sobre piel sana y sin lesiones típicas de MF. Éste debe establecerse con algunas entidades como liquen plano folicular, enfermedad de Favre-Racouchot, acné y quistes epidérmicos inducidos por mostazas nitrogenadas u otros productos tópicos23.
Una de las características principales de la MFF es el diferente comportamiento pronóstico. Van Doorn et al24, en 32 pacientes con MF asociada a mucinosis folicular, encontraron progresión de la enfermedad a los 10 años en el 89 % frente al 32 % en 277 pacientes con MF sin mucinosis folicular. Bonta et al17 revisaron el pronóstico a propósito de una publicación de MF rápidamente progresiva que se presentó con mucinosis folicular, y encontraron que el 7 % de los casos de MFF progresaron rápidamente a afectación ganglionar comparado con menos del 3 % de la forma clásica de MF. Por su parte van Doorn et al10, en 51 pacientes con MFF, encontraron una tasa de supervivencia relacionada con la enfermedad del 68 % a los 5 años y del 26 % a los 10 años. Cuando estos mismos autores compararon 49 pacientes con MFF limitada a la piel con 122 con MF en placas generalizadas y 36 con MF tumoral encontraron que los pacientes con MFF tuvieron menos remisiones completas a la terapia inicial, y tanto la supervivencia media como la relacionada con la enfermedad en los pacientes con MFF era similar (a los 5 años) o incluso peor (a los 10 años) que aquellos con MF tumoral sin mucinosis folicular asociada.
En los pacientes que nosotros hemos tenido la oportunidad de estudiar a lo largo de estos años hemos podido confirmar el peor pronóstico de esta forma de MF. El caso 1 sería una excepción a esta norma, pues se trata de una paciente con una evolución muy larga (de 25 años) y estable, e indica que la progresión a formas más severas no es algo inevitable.
En lo referente al tratamiento, se admite que la localización perifolicular e intrafolicular, profunda, de los infiltrados hace que las terapias dirigidas hacia la piel como el PUVA y las mostazas nitrogenadas tópicas sean menos eficaces1. Por este motivo se ha considerado la irradiación de toda la superficie cutánea con haz de electrones como un tratamiento efectivo, aunque las remisiones completas se obtienen en pocos casos; alternativamente el PUVA asociado a retinoides o interferón puede ser considerado una buena opción, mientras que los tumores persistentes serían tratados con radioterapia local1,10. La quimioterapia debería reservarse únicamente para aquellos pacientes con enfermedad extracutánea10. Se han comunicado casos aislados con buena respuesta a isotretinoína25,26 y bexaroteno27.
En los casos descritos por nosotros es difícil sacar conclusiones sobre el tratamiento, dado que son pacientes que están en estadios diferentes. Sí nos parece interesante reseñar la buena respuesta a la quimioterapia tópica y PUVA de nuestra primera paciente, probablemente debido a que se trataba de lesiones superficiales, poco o nada infiltradas. En este sentido, la experiencia de Hodak et al9 también fue positiva, pues encontraron que algunos de sus pacientes con MFF se beneficiaron de la fototerapia.
Conflicto de intereses
Declaramos no tener ningún conflicto de intereses.
Correspondencia:
Santiago Gómez Diez.
Cardenal Cienfuegos n.º 2, Esc. 3, 2.ºA.
33007 Oviedo. Asturias.
Correo electrónico: sangodi@telefonica.net
Aceptado el 26 de octubre de 2006.








