Introducción
El liquen plano (LP) es una entidad muy habitual en la práctica clínica diaria. Las formas orales erosivas suelen ser menos habituales pero muy discapacitantes por las molestias que ocasionan a los pacientes. La extensión de dichas lesiones a la mucosa esofágica en muy poco frecuente, traduciéndose clínicamente en disfagia y odinofagia.
Caso clínico
Mujer de 68 años de edad, residente en Madrid, con antecedentes de colecistectomía por litiasis biliar, que es ingresada de urgencias ante la aparición en mayo de 2005 de un dolor retrosternal que es interpretado como angina de pecho. Al alta se le prescribe como tratamiento ácido acetil salicílico (AAS), reingresando en junio de 2005 de nuevo con dolor retrosternal y disfagia. Tras la realización de dos endoscopias digestivas se observó la presencia de úlceras superficiales con membranas y esfacelos fibrinosos (fig. 1) diagnosticándose anatomopatológicamente de esofagitis ulcerada sin signos de especificidad etiológica. Se achacó el cuadro a la ingesta de AAS y se trató con protectores gástricos con mala evolución de los síntomas.
Figura 1. Endoscopia digestiva con afectación esofágica.
En julio de 2005 se traslada al norte de la provincia de Lugo acudiendo al Servicio de Urgencias de nuestro hospital por intenso dolor y disfagia, con la presencia de lesiones orales ulceradas que la paciente ya refería desde mayo de 2004. En la exploración física se observaban varias erosiones de bordes bien definidos afectando a laterales de lengua y mucosa yugal y gingival, muy dolorosas a la manipulación (fig. 2). En el resto de la exploración cutánea destacaba la presencia de pápulas violáceas y máculas marronáceas en la región dorsolumbar, zona genital y área submamaria, que según la paciente tenía desde mayo de 2004 pero que nunca les había dado importancia ni habían sido motivo de consulta (fig. 3).
Figura 2. Erosiones dolorosas en mucosa lingual.
Figura 3. Pápulas violáceas en zona submamaria.
Con la sospecha de liquen plano (LP) con afectación esofágica se realizó una biopsia cutánea de las lesiones orales y lumbares que demostró la presencia de un denso infiltrado linfocitario en la dermis alta y degeneración vacuolar y hendiduras dermoepidérmicas como hechos comunes en ambas biopsias e hiperqueratosis ortoqueratósica, hipergranulosis, acantosis en dientes de sierra y cuerpos de Civatte en las lesiones cutáneas (figs. 4 y 5). Los estudios de inmunofluorescencia directa (IFD) e inmunofluorescencia indirecta (IFI) fueron negativos. Otras pruebas complementarias solicitadas, entre las que se incluyeron hemograma y bioquímica completos, proteinograma, radiografía de tórax, anticuerpos antinucleares (ANA), serología del virus de la hepatitis B (VHB) y de la hepatitis C (VHC), se encontraban dentro de la normalidad. Se instauró tratamiento con corticoides orales en dosis de 30 mg de prednisona oral al día con buena evolución de las lesiones y mejoría de los síntomas orales y esofágicos al mes de evolución, momento en el cual la paciente regresó a su lugar de residencia habitual.
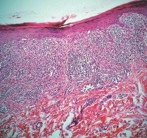
Figura 4. Mucosa oral. Infiltrado linfocitario en dermis alta y degeneración vacuolar (hematoxilina-eosina, x200).
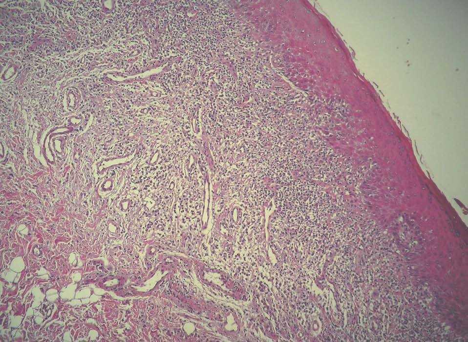
Figura 5. Lesión de la piel. Hipergranulosis con acantosis en dientes de sierra, disqueratosis e infiltrado linfocitario en banda (hematoxilina-eosina, x100).
Discusión
El LP es una enfermedad inflamatoria que afecta a menos del 1 % de la población1. Puede afectar a pacientes de cualquier edad, si bien es característico su comienzo en edades medias, siendo más frecuente en mujeres en torno a la quinta década de la vida. La etiología es desconocida, aunque existen casos asociados a la ingesta de medicamentos y a procesos infecciosos2. En torno al 25 % de los pacientes describen una situación estresante previa3. Característicamente se observan pápulas violáceas poligonales de superficie brillante con finas estriaciones blanquecinas localizadas en muñecas, región lumbar y extremidades inferiores. El LP oral (LPO) se presenta en el 60 % de los pacientes con LP. Las lesiones pueden localizarse en cualquier zona de la mucosa bucal y lingual, siendo más frecuentes en la región oral posterior donde suelen observarse de forma bilateral y simétrica. La presentación más habitual es en forma de placas blanquecinas reticuladas de carácter asintomático4. Otras formas clínicas de LPO que podemos encontrar son lesiones atróficas, erosivas o ampollosas5. El LP cursa con afectación ungueal en el 6 % de los casos y genital en el 11 %3.
La forma oral más invalidante es la erosiva, con número, tamaño y localización muy variable de las úlceras4. El LP erosivo afecta al 6 % de los pacientes con lesiones orales6. Entre las causas están los materiales dentales como el cobre, mercurio, cobalto, oro o resinas, medicamentos como antiinflamatorios no esteroideos (AINE), inhibidores de la enzima de conversión de la angiotensina (IECA), diuréticos o antibióticos, enfermedades hepáticas por virus de la hepatitis A (VHA), VHB, VHC, citomegalovirus (CMV) o virus de Epstein-Barr, factores psicológicos como la ansiedad o la depresión, alergias alimentarias o fenómeno de Koebner por prótesis dentales mal ajustadas, tratamientos dentales, tabaco/calor, fricción o mordeduras4,5. La malignidad en el LPO se produce en el 0,8-10 % de los casos7. La posible transformación cancerígena de las lesiones en mucosas de LP ha sido puesta en tela de juicio, dado que muchos de los casos publicados están mal documentados, son casos aislados y no se puede descartar el papel que desempeñan los tratamientos instaurados a base de inmunosupresores tópicos y sistémicos8, el consumo de tabaco o los traumatismos repetidos con piezas dentarias9.
Como extensión de la forma oral se puede producir afectación esofágica de forma excepcional, habiéndose recogido hasta el año 2004 tan solo 36 casos en la literatura10.
Todos los casos descritos afectan a mujeres en torno a los 50-60 años de edad11. Solo hay un caso en varones asociado a parálisis de pares craneales10. La incidencia varía enormemente de unos estudios a otros. La afectación esofágica puede ser pasada por alto por la dificultad que entraña la exploración endoscópica o porque no se realizan historias clínicas detalladas centradas en la clínica digestiva en pacientes que tienen LP12. En un trabajo realizado sobre 19 pacientes con LP activo, 5 de ellos tenían afectación esofágica consistente en lesiones papulosas sutiles que eran diferentes de los cambios que ocurren en la esofagitis por reflujo, donde las capas superficiales tienden a desprenderse con la biopsia. Solo uno de ellos tenía disfagia. Cuatro de los pacientes con afectación esofágica tenían también enfermedad oral. Según este trabajo, la afectación esofágica asintomática es muy frecuente, dado que solo se presentan síntomas en menos del 10 % de los pacientes con LP13. En otro trabajo de revisión de 584 pacientes diagnosticados de LPO, solo 8 referían disfagia y, de ellos, tan solo 4 tenían cambios esofágicos endoscópicos compatibles con LP4.
Al igual que el LP clásico, la causa es desconocida, aunque existe descrito un caso de erupción LP-like con afectación esofágica tras la administración de cianamida como tratamiento en deshabituación en un paciente alcohólico14.
La mayor parte de los pacientes con LP esofágico (LPE) tienen afectación oral paralela que suele preceder a la afectación esofágica12. Suelen ser formas de LP erosivo. Prácticamente en el 100 % de los casos hay afectación de cavidad oral, un 58 % tienen afectación genital y un 29 % presentan lesiones cutáneas11. Son raros los casos de LPE sin afectación cutánea15. Pueden transcurrir hasta más de 20 años desde el antecedente de LP y el desarrollo de la disfagia, aunque también hay casos descritos de hasta 11 años desde el comienzo de la disfagia hasta la aparición de las lesiones orales16. Se estima que se produce una media de retraso en el diagnóstico de 10 años12.
Los síntomas principales son la disfagia y la odinofagia, que se presentan en dos tercios de los casos11. La estenosis es otra complicación que podemos encontrar en pacientes con LPE1,11,12,16,17. Puede afectar a más del 60 % de los casos con LPE12. Suele localizarse en el tercio superior esofágico. Como datos que orientan hacia el diagnóstico de LP con estenosis esofágica está el hecho de afectar a mujeres de mediana edad, asociación con lesiones en otras mucosas con frecuencia diseminadas y erosivas, localización de la estenosis en el tercio superior del esófago, cambios histológicos compatibles con LP (aunque muchas veces son cambios inespecíficos con un denso infiltrado linfohistiocítico dérmico con interrupción localizada de la capa basal epidérmica), brote de lesiones bucales coincidiendo con las dilataciones terapéuticas y mejoría llamativa con la administración de corticoides sistémicos16. También puede establecerse el diagnóstico mediante la presencia de lesiones mucocutáneas, junto con clínica de inflamación, ulceración y formación de estenosis en el tercio superior del esófago en la ausencia de reflujo esofágico7.
Las descripciones macroscópicas esofágicas presentan erosiones o lesiones en placas blanquecinas con mucosa hemorrágica y friable12. La histología del LPE puede ser similar a la del LP11 o mostrar un infiltrado linfocítico inespecífico12,13,17. Esto último sucede en la mayor parte de los casos6,12. La inmunofluorescencia directa demuestra la presencia de IgM en los cuerpos coloides subepidérmicos y con menos frecuencia IgA, IgG y C312 si bien en muchos casos descritos no se recoge la realización de esta técnica7,11,13,14,17-19 o bien es negativa10,16.
El diagnóstico diferencial de LPE con estenosis debe realizarse con la esofagitis péptica y el adenocarcinoma esofágico17. Es muy importante descartar la esofagitis péptica, dado que en este cuadro los corticoides están contraindicados6.
Con respecto al tratamiento, la mayor parte de los casos descritos en la literatura fueron tratados con corticoides sistémicos7,11,12,14-17 y de forma aislada con etretinato16, inyecciones intraesofágicas de acetato de triamcinolona1, tacrolimus oral1 y ciclosporina. La respuesta al tratamiento fue rápida y efectiva en los casos tratados con corticoides, siendo más irregular en los tratados con etretinato. Los inhibidores de la bomba de protones, los anti-H2 o el sucralfato suelen ser ineficaces11,12. Aunque en muchos trabajos se recogen las dilataciones esofágicas como tratamiento en caso de estenosis, no son recomendables por el riesgo de fenómeno de Koebner12. De nuevo, los corticoides sistémicos serían el mejor tratamiento, reservándose las dilataciones en casos extremos que amenacen la vida de los pacientes12.
Si bien no hay casos descritos de transformación maligna de LPE, dado el riesgo teórico de malignidad de estos pacientes, hay que hacer un seguimiento periódico de los mismos7,16. Algunos autores recomiendan la realización de endoscopias repetidas para descartar una degeneración maligna16.
Por último, creemos importante, ante toda mujer con lesiones de LPO, interrogar sobre la presencia de clínica esofágica y, en caso positivo, realizar una endoscopia digestiva.
Conflicto de intereses
Declaramos no tener ningún conflicto de intereses.
Correspondencia:
Fernando Valdés.
Unidad de Dermatología.
Hospital da Costa.
Rafael Vior, s/n. 27880 Burela. Lugo.
Fernando.Valdes.Tascon@sergas.es
Aceptado el 15 de septiembre de 2006.







