Un varón de 72 años, sin antecedentes de interés, consultó por la aparición de una lesión en el hélix derecho, de crecimiento progresivo y 5 años de evolución. No refería dolor asociado, ni prurito. Negaba sangrado espontáneo ni recordaba haber sufrido traumatismos en la zona.
Exploración físicaEn el tercio superior de hélix derecho, presentaba una lesión nodular excrecente del color de la piel, de 1,5cm de tamaño, con unos bordes bien definidos, de consistencia firme, móvil, no infiltrada y no dolorosa a la palpación (fig. 1). La exploración dermatoscópica no mostraba ninguna estructura característica, siendo totalmente inespecífica.
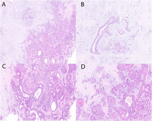
HistopatologíaSe realizó una biopsia por sacabocados que informó de la existencia de un tumor bien delimitado localizado en la dermis y con un doble componente, epitelial y estromal. Se observaban células cuboidales que se disponían formando cordones y estructuras túbulo-alveolares, rodeadas por un estroma que evidenciaba una diferenciación condroide (fig. 2).
¿Cuál es el diagnóstico?
DiagnósticoSiringoma condroide.
Evolución y tratamientoCon el diagnóstico final de siringoma condroide, se realizó la extirpación quirúrgica del mismo con un adecuado resultado estético.
ComentarioEl siringoma condroide, también denominado tumor mixto cutáneo, es un tumor anexial benigno infrecuente que deriva de las glándulas sudoríparas con una incidencia aproximada de 0,098-0,01%1. En 1859, Billroth, describió por primera vez un tumor de la glándula salivar con unas características morfológicas similares. Un siglo más tarde, en 1961, Hirsch y Helwig, introdujeron el término de siringoma condroide1. La etiología y los factores de riesgo son todavía desconocidos. Clínicamente es un nódulo tumoral subcutáneo de lento crecimiento, cubierto de una piel de apariencia normal o ligeramente eritematosa, que suele presentarse de forma solitaria. No produce síntomas y tiene una consistencia firme. Suele tener un tamaño comprendido entre 0,5 y 3cm. Los mayores de 3cm se consideran gigantes y, con una frecuencia relativamente alta, son malignos. Se presenta habitualmente entre los 20 y los 60 años y es más frecuente en hombres que en mujeres con una ratio 2:11,2. Es muy poco frecuente en los niños, en los que se describió por primera vez en 20073. Las localizaciones más habituales son la nariz, las mejillas, el labio superior, el cuero cabelludo, la frente, el mentón, los párpados, las orejas y el cuello. Con menor frecuencia, puede afectar al tronco, las extremidades y los genitales. La presentación clínica es inespecífica, lo que supone un reto para los dermatólogos1,2. El diagnóstico diferencial incluye quistes epidérmicos, neurofibromas, dermatofibromas, pilomatrixomas, tricoepiteliomas, histiocitomas y carcinomas basocelulares1,2. El diagnóstico de confirmación es histológico, objetivándose un doble componente, uno epitelial, que incluye unas células dispuestas en cordones o estructuras túbulo-alveolares, y otro estromal con un componente fibroso, mixoide y/o condroide1,2,4. A veces pueden encontrarse islotes de células escamosas, quistes de queratina, focos de calcificación, focos de osificación e incluso focos de metaplasia adiposa. Puede ser clasificado como ecrino o apocrino según el componente epitelial. El tipo ecrino consta de pequeños espacios luminales cubiertos por una única capa de células epiteliales cuboidales, mientras el tipo apocrino consta de estructuras túbulo-alveolares revestidas por una doble capa de células epiteliales cuboidales, la externa de las cuales es más aplanada y de origen mioepitelial1,2. Los hallazgos típicos de malignidad incluyen la atipia celular, el aumento del número de mitosis, la presencia de invasión neural y vascular, la infiltración de de los tejidos subyacentes y la existencia de necrosis5,6. El tratamiento de elección es la escisión quirúrgica completa, tras la que la recurrencia es excepcionalmente rara. Otras opciones terapéuticas son la electrocoagulación, la dermoabrasión o la vaporización con láser argón o láser de CO24. El siringoma condroide maligno es extremadamente raro, predomina en las mujeres y en las extremidades y el tronco. Tiene un potencial de extensión local y a distancia. Los lugares frecuentes de metástasis son los ganglios linfáticos, el pulmón y el hueso5,6.





