INTRODUCCION
Las infecciones necrotizantes de partes blandas se sitúan entre las infecciones potencialmente más peligrosas que pueden adquirirse en la comunidad o en el medio hospitalario, y engloban un espectro de infecciones de los tejidos blandos en el que puede variar el grado de profundidad del tejido destruido, y que incluye las celulitis, las fascitis y las miositis 1. Las que se adquieren en la comunidad se dan con mayor frecuencia en pacientes inmunodeprimidos, con neoplasia subyacente o diabéticos, y en la mayoría de ocasiones se deben al estreptococo β -hemolítico del grupo A, o Streptococcus pyogenes2,3. Es muy importante el diagnóstico precoz y la instauración de un tratamiento intensivo dada la elevada mortalidad asociada a este tipo de infecciones.
CASO CLINICO
Un varón de 74 años, con antecedentes de leucemia linfoide crónica estadio A, diagnosticada hacía 8 años y sin necesidad de tratamiento, y diabetes mellitus tipo 2, ingresó por presentar flictenas de contenido serohemático, junto a edema y aumento de la temperatura local en el miembro inferior derecho. Las lesiones eran intensamente dolorosas. El paciente refería que el cuadro clínico se inició unos 10 días antes con el edema de la pierna, y que las ampollas aparecieron hacía 24 horas, con posterioridad a que le realizaran una ecografía del miembro inferior afectado.
En la exploración de la extremidad inferior derecha se apreciaba un marcado edema de la misma, con ampollas tensas y flictenas (fig. 1), y con áreas necróticas y lesiones purpúricas en el tobillo y en los pies (fig. 2). Presentaba asimismo una herida abierta de pequeño tamaño en el codo izquierdo, con signos inflamatorios alrededor de la misma, secundaria a un traumatismo con un objeto metálico según refería. El paciente tenía fiebre de 38 °C. Las constantes vitales estaban mantenidas.
Fig. 1.--Flictenas localizadas en la región pretibial.
Fig. 2.--Área necrótica en el tobillo junto a lesiones lineales purpú-ricas en el pie.
Un hemograma reveló una leucocitosis (28.900/μl), con linfocitosis de un 85 %, compatible con su proceso hematológico subyacente. La bioquímica hemática, incluyendo la determinación de transaminasas, lactato deshidrogenasa y creatinfosfoquinasa (CPK) fue anodina. Se practicaron hemocultivos que resultaron negativos. Se realizó una biopsia de piel adyacente a una flictena, remitiendo un fragmento a anatomía patológica y otro para estudio microbiológico. Al realizar la incisión quirúrgica se apreció la salida de un líquido acuoso y maloliente, por lo que también se recogió una muestra del exudado obtenido del fondo de la herida quirúrgica. Se vaciaron las ampollas, se realizaron curas con antibioterapia tópica y se instauró tratamiento con amoxicilina-ácido clavulánico a dosis de 1 g cada 8 horas por vía endovenosa.
Dos días después las lesiones continuaban empeorando y se apreciaron signos de crepitación en la herida del codo, por lo que se solicitó una resonancia magnética nuclear (RMN) urgente, tanto del brazo como de la pierna afectada, con la sospecha diagnóstica de una infección necrotizante de partes blandas. La RMN del miembro inferior derecho puso en evidencia una alteración de la señal de la grasa subcutánea y de la fascia profunda, apreciándose una colección abscesificada en el grupo de músculos peroneos, y una importante celulitis asociada. La RMN del codo demostró importantes cambios inflamatorios en el tejido celular subcutáneo junto a miositis del tríceps braquial en su inserción en el olécranon, donde se observaba una pequeña colección abscesificada de menos de 1 cm de tamaño.
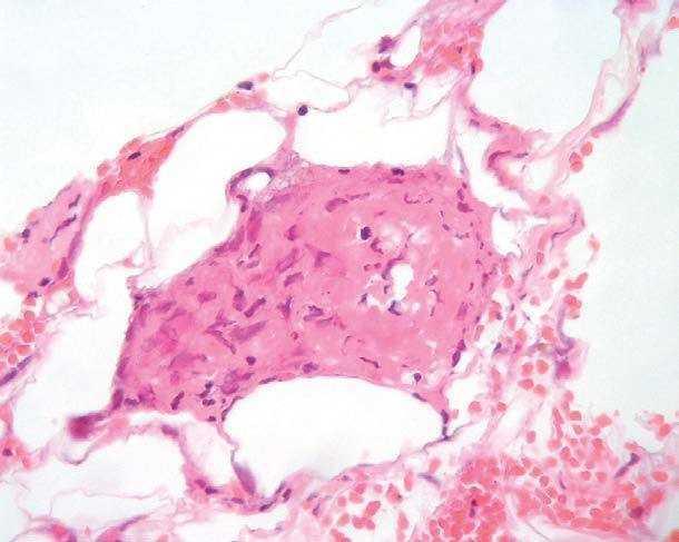
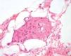
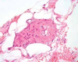
Se delimitaron las lesiones y se realizó desbridamiento de las áreas necróticas del tobillo. En el exudado obtenido al realizar la biopsia se evidenció el crecimiento de Streptococcus agalactiae (estreptoco β -hemolítico del grupo B), y se añadió clindamicina endovenosa a dosis de 600 mg cada 8 horas, según el antibiograma. El estudio histológico demostró un prominente infiltrado neutrofílico subcutáneo, con presencia de trombos y neutrófilos en vasos adyacentes y necrosis epidérmica suprayacente (figs. 3 y 4).
Fig. 3.--Imagen panorámica de la biopsia que muestra áreas de necrosis epidérmica y un denso infiltrado inflamatorio subcutáneo (H&E, x 25).
Fig. 4.--Los vasos de pequeño y mediano calibre presentan necrosis de la pared vascular con escaso componente neutrofílico (H&E, x 400).
Tras añadir la clindamicina a la amoxicilina-ácido clavulánico desapareció la fiebre en 48 horas y las lesiones no continuaron progresando. Tras dos semanas de la instauración de la antibioterapia endovenosa, y ante la marcada mejoría del cuadro clínico, se decidió el alta hospitalaria.
DISCUSION
Las infecciones necrotizantes de los tejidos blandos son potencialmente graves e incluso letales, por lo que es preciso un diagnóstico precoz y un tratamiento enérgico. Aunque el organismo patogénico más frecuente es el Streptococcus pyogenes, también pueden estar causadas por otras bacterias como el Staphylococcus aureus, anaerobios, gramnegativos, y como ha sucedido en este caso, por estreptococos β -hemolíticos de grupos diferentes del A. Los mecanismos por los que se produce la necrosis no están del todo esclarecidos, aunque pueden estar implicados fenómenos de trombosis vascular o la presencia de toxinas bacterianas entre otros 2.
Los principales factores de riego para padecer este tipo de infecciones graves de la piel son la edad avanzada, diabetes mellitus, alcoholismo, cardiopatías crónicas, enfermedad vascular periférica, malnutrición, hipoalbuminemia, obesidad, leucemia, linfoma, uso de glucocorticoides sistémicos, insuficiencia renal, cirrosis, uso de drogas endovenosas, infección por el virus de la varicela zóster e inmunosupresión 1,4. Las infecciones necrotizantes por estreptococos β -hemolíticos del grupo A afectan frecuentemente a individuos sanos, a diferencia de lo que sucede con las debidas a otros microorganismos 5. Los pacientes diabéticos son particularmente susceptibles a este tipo de infecciones debido a la presencia de isquemia en los miembros inferiores por su micro y macroangiopatía, y a la frecuencia con la que desarrollan lesiones cutáneas aparentemente mínimas pero que representan puertas de entrada de infecciones graves. La infección puede producirse después de una herida penetrante o un traumatismo cerrado en los lugares afectados, o sin antecedentes de lesión. La tasa de mortalidad oscila entre un 20-40 % 1,4.
La secuencia de la infección empieza con una zona de celulitis muy sensible, eritematosa, caliente y edematosa, que acostumbra a localizarse con mayor frecuencia en las extremidades. Las lesiones no responden a antibióticos, aplicación de calor o elevación del miembro, y la enfermedad progresa a una velocidad alarmante. En 24-48 horas se aprecia un cambio de coloración de la piel de purpúrico a grisáceo, con aparición de ampollas y áreas de necrosis cutánea que se extienden con rapidez. La necrosis de la fascia superficial y de la grasa produce un líquido acuoso y maloliente, y los tejidos subcutáneos aparecen duros y leñosos a la palpación. El paciente puede presentar fiebre, escalofríos, mal estado general, leucocitosis, shock y taquicardia. Histológicamente, se aprecia una necrosis del tejido celular subcutáneo de la epidermis y de la capa media de los vasos. Se observan asimismo trombos de fibrina y abundantes polimorfonucleares neutrófilos 4.
Al principio es difícil diferenciar la celulitis de la fascitis necrosante. Una RMN puede ayudar a precisar la profundidad del tejido afectado. El dolor intenso, el edema que se extiende con rapidez, la formación de ampollas, un estado séptico, la elevación de la CPK, la asociación con varicela o el uso de antiinflamatorios no esteroideos sugieren fascitis necrosante más que celulitis 4.
La elevación de los niveles plasmáticos de CPK por encima de 600 U/l se ha demostrado hasta en un 60 % de los pacientes con fascitis necrotizantes debidas a estreptococos del grupo A e indica gravedad, con un curso clínico más explosivo y afectación extensa de los tejidos más profundos. Generalmente, en las infecciones producidas por gérmenes diferentes del estreptococo b -hemolítico del grupo A no existe elevación de la CPK, y suelen asociarse con un curso clínico menos agresivo y un mejor pronóstico. Se cree que estas diferencias se deben a la capacidad que tiene el estreptococo b -hemolítico del grupo A de producir exotoxinas pirogénicas de tipo A, B y C, que se diferencian en su capacidad de producir eritema, pirogenicidad, toxicidad sistémica, fallo sistémico multiorgánico, cambios en la permeabilidad vascular y shock 5.
El tratamiento antibiótico aislado puede enlentecer la progresión de la enfermedad, aunque no la suele curar. Es imprescindible realizar un desbridamiento del tejido necrótico y asociar antibioterapia endovenosa según antibiograma y medidas generales de sostén. La mayoría de autores coinciden en que es recomendable realizar el desbridamiento quirúrgico de forma precoz para evitar la progresión del proceso, y no esperar a que el tejido necrótico se delimite bien para proceder a su posterior extirpación 6. Incluso con tratamiento la mortalidad es elevada y aumenta si el diagnóstico y la realización del desbridamiento se retrasan 6-14.
Declaración de conflicto de intereses
Declaramos no tener ningún conflicto de intereses.
Correspondencia:
José M.ª Martín.
Servicio de Dermatología.
Hospital Clínico Universitario.
Avda. Blasco Ibáñez, 17. 46010 Valencia. España.
jmMart@eresmas.com
Recibido el 13 de octubre de 2005.
Aceptado el 13 de septiembre de 2006.






