Introducción
El virus del papiloma humano (VPH) puede provocar diferentes patologías en la mucosa oral, que se caracterizan por una proliferación epitelial, la mayoría de las cuales son benignas1, y entre las cuales las más frecuentes son los papilomas, condilomas y verrugas víricas y, más raramente, la hiperplasia epitelial focal (HEF) o enfermedad de Heck. A veces está implicado en enfermedades premalignas o malignas, como la leucoplasia o el carcinoma epidermoide. Las lesiones orales benignas se han asociado con VPH 2, 4, 6, 11, 13 y 32 y las malignas con VPH 16 y 181.
La HEF es una enfermedad rara de la mucosa oral, de curso benigno, que habitualmente aparece en la infancia, asociado claramente con los serotipos VPH 13 y 32.
Presentamos el caso de una chica ecuatoriana de 17 años con HEF que acudió a nuestra consulta.
Caso clínico
Chica de 17 años, procedente de Ecuador, sin antecedentes personales ni familiares de interés. Consultó por lesiones asintomáticas en labio superior e inferior presentes desde los 11 años de edad, que se habían extendido lenta y progresivamente. En la exploración física presentaba numerosas pápulas, de entre 3-7 mm, bien definidas, del color de la mucosa adyacente o blanco-rosadas, de superficie lisa, localizadas únicamente en labio superior e inferior (figs. 1 y 2).
Figura 1. Pápulas color mucosa, planas, de superficie lisa.
Figura 2. Detalle de las pápulas.
No tenía lesiones en la piel u otras mucosas. Negaba contactos sexuales de riesgo y no existía historia familiar de las mismas lesiones.
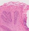
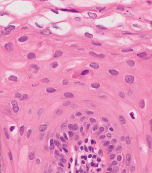
En el estudio histológico se observaba una hiperplasia epidérmica, acantosis, paraqueratosis leve, proyecciones papilares con zonas de anastomosis horizontal (fig. 3). Aparecían coilocitos y células disqueratósicas o apoptóticas que simulan la mitosis (fig. 4) en las capas superficiales de la epidermis.
Figura 3. Hiperplasia epidérmica, paraqueratosis, acantosis. Hematoxilina-eosina, ×100.
Figura 4. Coilocitos y células mitosis-like en epidermis. Hematoxilina-eosina, ×400.
El análisis por PCR detectó VPH 13.
Se inició tratamiento con imiquimod 3 veces por semana durante 3 semanas sin obtener respuesta. La paciente no acudió a las sucesivas revisiones.
Discusión
La HEF es una enfermedad proliferativa benigna de la mucosa oral, poco frecuente en caucasianos, aunque existe una gran variabilidad en cuanto la prevalencia según el área geográfica, llegando en determinados grupos étnicos a ser hasta de un 35 %2. Hay un claro predominio en indios americanos, esquimales y en algunas comunidades de Sudáfrica3,4.
Habitualmente aparece en la infancia y adolescencia, fundamentalmente entre los 3 y los 18 años, más frecuentemente en mujeres1. Es causada por el VPH, asociándose el 90 % de los casos a los serotipos 13 y 32, siendo el primero el encontrado más a menudo5.
Se trata de una entidad que tiene unas características clínicas e histológicas distintivas.
Clínicamente se caracteriza por múltiples pápulas color piel de 3 a10 mm, que tienden a confluir, dando un aspecto en empedrado a la mucosa. La localización más frecuente es el labio inferior6,7, y en menor medida el labio superior, la lengua y la mucosa yugal. Es rara la afectación del paladar, el suelo de la boca y la orofaringe6,8.
En cuanto a las características histológicas, aparece una hiperplasia epitelial, elongación y anastomosis de las crestas interpapilares, con paraqueratosis, acantosis focal, coilocitosis focal, y figuras mitosoidales (células que muestran cambios degenerativos nucleares y que simulan la mitosis) en queratinocitos superficiales.
Aunque la patogenia es desconocida, se ha visto que los factores del huésped, tales como el sistema inmunológico, malnutrición y factores genéticos, son muy importantes en la patogénesis de esta entidad3. En adultos hay casos asociados a virus de la inmunodeficiencia humana (VIH)9,10. Se cree que existe una predisposición genética para padecer esta enfermedad, ya que se ha visto una clara historia familiar y una asociación con determinados HLA3,7. En un estudio mexicano se evidenció una asociación significativa con el HLA DR44. Este alelo es relativamente frecuente en indios americanos de México, Guatemala y Colombia. Parece que hay una susceptibilidad genética, que confiere una anomalía inmunológica específica en la respuesta a ciertos tipos VPH.
En el diagnóstico diferencial habría que considerar múltiples patologías de la cavidad oral, fundamentalmente condiloma, verruga viral, neuroma mucoso, nevus blanco esponjoso, papiloma por mordedura, papilomatosis oral florida, e hiperplasia epitelial difusa en mascadores de tabaco6,11.
Para diferenciarlo de otras infecciones por VPH en mucosa oral es de gran ayuda conocer el serotipo implicado, puesto que la HEF es la única patología en la que se ha observado especificidad entre serotipos y patología, ya que se asocia a VPH 13 y 32. Aunque sí se ha observado que ciertos serotipos aparecen con mayor frecuencia en determinadas patologías1: por ejemplo, el papiloma se asocia fundamentalmente con VPH 6, 11, 13, 16 y 32, siendo los más comunes el 6 y 11; la verruga vulgar con VPH 2 y 4; el condiloma con VPH 2, 6, 11, 16, 32, pero con mayor frecuencia con el 6 y el 11.
La HEF presenta un curso benigno, tendiendo a la resolución espontánea en meses o pocos años, aunque a veces es más prolongado7,8. Por tanto, no es necesario realizar tratamiento, además no se ha demostrado ninguno eficaz, aunque se ha descrito buena respuesta con métodos destructivos como láser CO212,13, resina de podofilino e interferón14.
Creemos que el caso de nuestra paciente se trata de una HEF, por su origen étnico, la edad a la que aparecen las lesiones, la ausencia de contactos sexuales, es clinica e histológicamente compatible y por detectarse el serotipo 13 en el estudio por PCR. Todos estos datos nos llevaron a hacer el diagnóstico de HEF.
Conclusión
La HEF es una entidad infrecuente y poco conocida en nuestro medio, y que debe entrar dentro del diagnóstico diferencial de las lesiones orales, especialmente de las provocadas por VPH. Es probable que con el aumento de la inmigración de ciudadanos centro y sudamericanos podamos encontrarnos esta patología en nuestra consulta. El curso es benigno y se asocia a serotipos de VPH sin riesgo o con bajo riesgo oncogénico, por lo que no debe realizarse un tratamiento agresivo. Es importante por tanto hacer diagnóstico diferencial con condilomas, sobre todo en pacientes jóvenes, para evitar erróneas implicaciones sexuales o de abuso2,11.
Conflicto de intereses
Declaramos no tener ningún conflicto de intereses.
Correspondencia:
Elena Vera Iglesias.
Avda. Torreón del Alcázar, 11; 5 B.
3004 Ciudad Real. España.
everaigl@hotmail.com
Aceptado el 8 de noviembre de 2006.






