HISTORIA CLINICA
Un varón de raza blanca de 30 años de edad acudió al servicio de urgencias por dolor abdominal y una erupción de pápulas amarillentas. Refería antecedentes familiares y personales de hipertrigliceridemia, así como madre afectada de diverticulosis y tía paterna con diabetes mellitus. Entre los antecedentes personales relataba, además, alergia a la penicilina, hiperuricemia e ingesta etílica de aproximadamente 200 g/día desde hacía varios años. No tenía antecedentes familiares ni personales de pancreatitis, enfermedades cardiovasculares ni lesiones cutáneas.
Debido a la dislipemia había realizado tratamiento con hipolipemiantes orales pero últimamente sólo seguía tratamiento dietético, aunque persistía la ingesta etílica.
El paciente refería poliuria, polidipsia, polifagia y discreta astenia sin incremento de peso en los últimos meses, lo cual no fue motivo de consulta médica.
Acudió al servicio de urgencias de nuestro hospital por presentar un dolor abdominal intenso localizado en la zona lumbar izquierda, que se irradiaba a modo de cinturón hacia la zona interescapular, acompañado de náuseas, de 3 días de evolución. Coincidiendo con este episodio el paciente notó la aparición de múltiples lesiones papulosas, inicialmente pruriginosas y posteriormente asintomáticas, localizadas preferentemente en la zona posterior del cuello, los glúteos y las extremidades, que habían permanecido estables desde su aparición.
EXPLORACION FISICA
En la exploración física se apreciaron múltiples pápulas amarillentas, redondeadas, induradas al tacto, de 3-5 mm de diámetro, algunas de ellas con un halo eritematoso, localizadas en la cara posterior del cuello (fig. 1), los flancos abdominales, las axilas, los glúteos y la zona posterior de los muslos (fig. 2).
Fig. 1.--Pápulas amarillentas en la cara posterior del cuello.
Fig. 2.--Pápulas en la zona posterior de los muslos.
La exploración general puso de manifiesto una obesidad moderada y signos ligeros de deshidratación. La auscultación cardiopulmonar fue normal. A la palpación abdominal se observó un abdomen blando y depresible, intenso dolor y cierta defensa en epigastrio, hipocondrio y vacío izquierdos, con peristaltismo disminuido pero presente. La puñopercusión renal izquierda fue discretamente positiva.
EXPLORACIONES COMPLEMENTARIAS
En el hemograma destacó una leucocitosis de 20.100/ml, con 78 % neutrófilos y 18 % linfocitos. La velocidad de sedimentación globular (VSG) fue de 89 mm en la 1.ª hora.
En la bioquímica destacaban: glucosa, 357 mg/dl; creatinina, 1,4 mg/dl; amilasa, 380; hemoglobina glucosilada A1c, 14 % (normal, < 5 %); creatinfosfocinasa, 435, y gammaglutamiltranspeptidasa (GGT), 60.
El lipidograma mostró colesterol de 405 mg/dl; triglicéridos, 1.144, y colesterol unido a las lipoproteínas de alta densidad (HDL), 20. El aspecto del suero tras 24 h a 4 °C era turbio, lechoso y con capas en el sobrenadante.
En el proteinograma se detectó una disminución de la albúmina y de las gammaglobulinas y un aumento de las alfa y betaglobulinas.
En el análisis de orina se detectó glucosuria (+ + +), amilasuria de 3.739, 1-5 leucocitos/campo, uratos amorfos + + y 1-2 cilindros granulosos/campo. El sedimento fue normal.
La radiografía de abdomen no mostró alteraciones significativas.
En la ecografía abdominal se detectó esteatosis hepática, sin que pudiera visualizarse el páncreas.
La tomografía computarizada (TC) abdominal reveló la presencia de una pancreatitis aguda tipo C-D y esteatosis hepática.
El estudio oftalmológico fue normal.
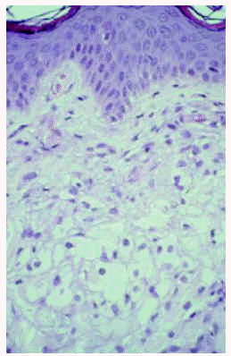
Se realizó una biopsia cutánea de una de las lesiones del muslo izquierdo (fig. 3).
Fig. 3.--Acumulaciones dérmicas de histiocitos de citoplasmas amplios y espumosos. (Hematoxilina-eosina, x20.)
DIAGNOSTICO
Xantomas eruptivos. Éstos fueron una manifestación de hiperlipoproteinemia (HLP) familiar combinada (HLP tipo V) en un paciente con principio diabético, pancreatitis aguda e hipertrigliceridemia familiar (HLP tipo IV).
HISTOPATOLOGIA
En el examen histopatológico, con la tinción de hematoxilina-eosina, se observó una epidermis normal y acumulaciones dérmicas de histiocitos de citoplasmas amplios y espumosos (fig. 3), localizados en la dermis papilar y reticular alta.
EVOLUCION Y TRATAMIENTO
Además del tratamiento de su episodio de pancreatitis, el paciente realizó tratamiento con insulina y posteriormente antidiabéticos orales y dieta, controlándose así la diabetes y secundariamente el exceso de lípidos. Las lesiones cutáneas disminuyeron de manera progresiva de intensidad hasta desaparecer por completo en un mes, sin dejar cicatrices residuales.
COMENTARIO
Los xantomas constituyen un grupo de lesiones caracterizadas por el depósito de lípidos en la piel. Clínicamente se pueden presentar en forma de xantomas cutáneos tendinosos, planos, eruptivos y/o tuberosos1,2. Los eruptivos se caracterizan por la aparición brusca de pápulas amarillentas con un halo eritematoso, de 1-4 mm de diámetro, de consistencia firme, localizadas preferentemente en los glúteos, en las zonas de extensión de las extremidades y con menos frecuencia en otras localizaciones. Ocasionalmente producen prurito y dolor y puede observarse un fenómeno de Koebner3. En general, su presencia implica la existencia de una hipertrigliceridemia4, aunque también se han descrito asociados a normolipemia5. Histológicamente, los xantomas eruptivos se caracterizan por la presencia de histiocitos espumosos que contienen sobre todo triglicéridos, mientras que en los otros tipos de xantomas predomina el colesterol. Acompañando a estas células se observa un infiltrado inflamatorio con abundantes linfocitos6. En algunos casos, más frecuentemente en los de más larga evolución, se aprecia la presencia de lípidos extracelulares7.
Los xantomas eruptivos suelen asociarse a hipertrigliceridemias con niveles elevados de quilomicrones (QM) o niveles muy elevados de lipoproteínas de muy baja densidad (VLDL) en el plasma. Los xantomas eruptivos son característicos de las HLP tipo I (déficit congénito de lipoproteinlipasa) y tipo V (hiperlipoproteinemia familiar combinada). Se han descrito también asociados a la HLP tipo IV (hipertrigliceridemia familiar endógena) y tipo III (enfermedad por defecto de eliminación de los remanentes)8,9.
Sin embargo, las causas más frecuentes de hiperquilomicronemia son las formas secundarias entre las que destacan, por su frecuencia, la diabetes mellitus y la ingesta de alcohol, aunque también aparecen en los estados de excesiva ingesta de hidratos de carbono y/o grasas, tratamientos farmacológicos (estrógenos y retinoides orales) y enfermedades autoinmunes, entre otras9. Los xantomas eruptivos involucionan en varias semanas si se corrige el estado de hiperquilomicronemia. En primer lugar desaparece el halo eritematoso, pero puede quedar o no una hiperpigmentación residual en la zona.
Consideramos que el diagnóstico de xantomas eruptivos no ofrece dudas en este paciente debido a la típica morfología, forma de aparición y localización de las lesiones. El paciente presentaba antecedentes de HLP tipo IV. Se trata de un defecto monogénico frecuente transmitido de forma autosómica dominante1,7 en el que existe una sobreproducción hepática de VLDL y un defecto en su catabolismo. Lo más frecuente es el defecto en la depuración de las VLDL, que se acumulan en el plasma originando una HLP tipo IV, con cifras de triglicéridos que oscilan entre 250 y 500 mg/dl. Sin embargo, y como en el caso de nuestro paciente, ciertos factores exógenos como la diabetes mellitus y/o el alcohol, pueden provocar un aumento en la síntesis hepática de triglicéridos ocasionando una hipertrigliceridemia masiva. Esto originará una saturación de la lipoproteinlipasa, enzima encargada de eliminar de la circulación sanguínea los QM y las VLDL, que ocasionará un aumento de quilomicrones y en consecuencia una HLP tipo V1,7,10.
El síndrome clínico viene definido por la presencia de episodios de pancreatitis, xantomas eruptivos, obesidad, diabetes mellitus, gota e hipertensión arterial.
En conclusión, la presencia de xantomas en la piel constituye un indicador muy valioso para la detección de alteraciones del metabolismo lipídico. Este hecho permitirá adoptar medidas terapéuticas adecuadas y prevenir las posibles complicaciones que puedan asociarse.





