Digital fibrokeratoma is a benign fibroblastic tumor first described by Bart et al. in 1968.1 It presents as a pink, slightly keratotic, exophytic papulonodular lesion, sometimes with a raised collarette of skin. These lesions typically occur in middle-aged adults and most often involve the fingers – particularly the periungual region – followed by the toes. When located beneath the nail plate, they may compress the matrix, producing longitudinal erythronychia or onycholysis.2–4 They are usually solitary, except in the setting of tuberous sclerosis complex, in which they appear as multiple lesions known as Koenen tumors. Although benign, these tumors may occasionally cause discomfort and even impair gait.
Differential diagnosis includes ungual fibromas, periungual warts, supernumerary digits, and the rare superficial acral fibromyxoma, which can invade adjacent bone in up to 3% of cases.4,5
We conducted a descriptive, observational, retrospective study. All patients with a histopathologic diagnosis of fibrokeratoma who underwent preoperative cutaneous ultrasound at Hospital de Fuenlabrada (Madrid, Spain) between 2002 and 2023 were included. Ultrasound examinations were performed using an 18-MHz probe, and in 1 case, additionally, with a 22-MHz probe. Surgical excision was performed under digital nerve block using 1% lidocaine or 2% mepivacaine. The lesion was removed by wedge excision and submitted for histopathologic evaluation. Data were obtained from the digital health record and the hospital photographic archive.
Four patients were identified, none with relevant dermatologic history.
The first patient was a 33-year-old man with a several-month history of nail abnormalities on the 4th finger of his left hand. Examination revealed onycholysis of the medial nail plate and multiple splinter hemorrhages, with a skin-colored papule on the proximal nail fold from which an ectopic nail emerged (Fig. 1A).
(A) Ectopic nail emerging from a skin-colored papule on the proximal nail fold, with onycholysis of the medial nail plate and multiple splinter hemorrhages. (B) Ultrasound with 18-MHz probe: elongated 3-mm lesion on the dorsum of the distal interphalangeal joint, without connection to the matrix and without internal Doppler flow.
Cutaneous ultrasound using an 18-MHz probe showed a 3-mm elongated lesion on the dorsum of the distal interphalangeal joint of the 4th finger, without connection to the matrix or Doppler vascular flow, which is a finding consistent with an ungual fibroma (Fig. 1B). The lesion was surgically excised, and histopathologic findings confirmed an ungual fibrokeratoma.
The 2nd patient was a 72-year-old woman presenting with a long-standing periungual nodule that was intermittently painful. She reported no changes in size or consistency and no drainage. Examination showed a well-defined, firm 5-mm subcutaneous nodule on the proximal nail fold of the 2nd finger of her right hand, with normal overlying skin. Ultrasound with an 18-MHz probe revealed the presence of a 5.6mm×1.6mm hypoechoic mass on the proximal nail fold, overlying the nail plate, without matrix involvement and minimal basal vascularity (Fig. 2A). With a presumptive diagnosis of acquired digital fibrokeratoma, excision was performed, and histology confirmed a periungual fibrokeratoma.
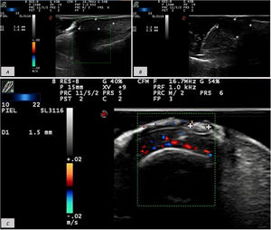
(A) Hypoechoic 5.6mm×1.6mm mass on the proximal nail fold overlying the nail plate without matrix involvement and minimal basal vascularity. (B) Well-defined 5.2mm×2.8mm hypoechoic lesion. (C) Frontal view of a 1.5-mm hyperechoic lesion, unrelated to underlying structures and without Doppler flow.
The 3rd patient was a 37-year-old woman who presented with a 2-year history of a stable, asymptomatic lesion on the 2nd toe of her left foot. Examination showed a 5-mm skin-colored, smooth-surfaced papule lateral to the nail of the 2nd toe, without inflammatory signs. Cutaneous ultrasound was performed with 18-MHz and 22-MHz probes. The 18-MHz probe demonstrated intact bone and nail plate. The 22-MHz probe revealed the presence of a 5.2mm×2.8mm well-defined hypoechoic lesion without Doppler flow (Fig. 2B). As in the previous cases, histopathology after excision confirmed an acquired digital fibrokeratoma.
The final patient was a 55-year-old man with a 5-month history of a lesion adjacent to the supraungual fold of the 2nd finger of his left hand, associated with pain upon contact. Examination showed a crusted, firm lesion of at least 4mm with hyperkeratosis and dystrophic changes, accompanied by a secondary, regular 2-mm gray-brown melanonychia.
Suspecting a subungual wart, dermatologic ultrasound was performed, demonstrating the presence of a 1.7mm×1.5mm soft tissue thickening beneath the proximal fold with no apparent relationship to underlying structures and no Doppler vascular flow (Fig. 2C). Wedge excision was performed, and histopathology revealed an ungual fibrokeratoma.
Fibrokeratomas are benign tumors that may occasionally present atypically. Most are excised without complementary testing, which, in some cases, may lead to misdiagnosis – either overlooking more invasive pathology requiring more extensive intervention, or excising lesions such as warts or supernumerary digits that would not have required surgery. Likewise, some asymptomatic fibrokeratomas have been removed due to diagnostic uncertainty regarding malignancy; if malignancy had been excluded beforehand, a conservative approach might have been chosen.
When lesions resemble an ungual fibrokeratoma – especially when atypical features are present – cutaneous ultrasound should be considered to clarify the diagnosis, determine lesion depth, and assess matrix involvement. This allows more precise surgical planning and enables clinicians to counsel patients regarding risks of nail dystrophy.
On ultrasound, fibrokeratomas typically appear as well-circumscribed, rounded, hypoechoic lesions that do not originate from the nail matrix, show absent or minimal vascularity on Doppler, and display neither posterior shadowing nor enhancement. With these imaging features, clinicians may approach the diagnosis of fibrokeratoma and determine whether excision is warranted or whether a conservative, expectant strategy is preferable.
Differential diagnosis includes viral warts, which appear as fusiform, poorly defined hypoechoic lesions that may contain internal hyperechoic foci and may be associated with nail plate thickening. It is also important to distinguish these lesions from glomus tumors – typically well-defined, hypoechoic, oval lesions with marked central vascularity – and onychomatricomas, which usually show eccentric, poorly defined hypoechoic lesions in the matrix and nail bed, with variable vascularization.
The present cases illustrate the diagnostic utility of cutaneous ultrasound and the advantage of having this tool available in dermatology practice to facilitate rapid, noninvasive evaluation and management.
Conflict of interestThe authors declare no conflict of interest.
Uncited reference6.


