Una niña de 11 años se presentó con una lesión de 3cm de crecimiento lento en la región ilíaca derecha, desde su nacimiento. Reportó episodios intermitentes de dolor, sangrado e hinchazón. Por lo demás, la paciente era sana, y ninguno de sus familiares exhibió dichas anomalías.
Exploración físicaLa exploración física reveló la presencia de un tumor localizado compuesto de agregados dispersos de vesículas pequeñas de color amarillento translúcido, rojizo y rojizo oscuro, y pápulas, con sangrado ocasional y supuración de un líquido serosanguíneo (fig. 1).
Pruebas adicionalesLa dermatoscopia de las vesículas de color rojizo oscuro reflejó lagunas de color rojo oscuro/azulado, mientras que la dermatoscopia de las vesículas translúcidas reveló lagunas de color marrón claro rodeadas de septos más pálidos, zonas rojizas focales y características de tipo hipopión (fig. 2a y b). La ecografía Doppler reveló un ligero engrosamiento de 3mm de tejido subcutáneo compuesto de estructuras quísticas milimétricas sin señal Doppler en su interior, lo cual fue consistente con una malformación vascular de crecimiento lento (fig. 2c).
Dermatoscopia e imágenes ecográficas. (a) La dermatoscopia de las vesículas de color rojizo oscuro mostró lagunas de color rojo oscuro/azuladas. (b) La dermatoscopia de las vesículas translúcidas reflejó lagunas de color marrón claro rodeadas de septos más pálidos, zonas rojizas focales y características de tipo hipopión. (c) La ecografía Doppler reveló un ligero engrosamiento de 3mm de tejido subcutáneo, compuesto de estructuras quísticas milimétricas sin señal Doppler en su interior, consistente con una malformación vascular de crecimiento lento.
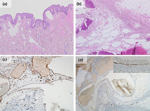
La histopatología reflejó vasos linfáticos dilatados de pared fina y tamaño variable en la dermis superficial e hipodermis, positivos para CD31 y CD34, focalmente positivos para podoplanina D2-40, y negativos para marcadores epiteliales y WT-1 (fig. 3).
El examen histológico reveló la presencia de una proliferación vascular benigna compuesta de canales vasculares dilatados irregulares de tamaño variable en la dermis e hipodermis. Las estructuras vasculares son principalmente canales revestidos de endotelio fino (c) positivas para CD31 y focalmente positivas para (d) podoplanina D2-40 sin estroma de soporte. (a y b) Hematoxilina y eosina, amplificación original (a) 40×; (b) 100×; (c) CD31 100×; (d) podoplanina D2-40 100×.
¿Cuál es su diagnóstico?
Malformación linfática microquística cutánea.
Curso y tratamiento de la enfermedadDebido a la presencia de episodios intermitentes de dolor y sangrado, se utilizó láser pulsado de colorante en los componentes hemorrágicos superficiales de la lesión, con extirpación quirúrgica posterior de la misma, que transcurrió sin incidentes. No se reportó recidiva de la lesión durante el seguimiento a los 18 meses.
ComentarioLas malformaciones linfáticas quísticas son malformaciones vasculares congénitas raras de crecimiento lento derivadas del desarrollo embriológico anormal de los vasos linfáticos, que pueden afectar a las vísceras, tejidos blandos y/o piel1. Conforme a la International Society for the Study of Vascular Anomalies, actualmente se categorizan sobre la base del tamaño de cada quiste, como microquísticas, macroquísticas y quísticas mixtas1,2.
Las malformaciones linfáticas pueden producirse como hallazgo aislado, o como parte de síndromes tales como el síndrome de Turner, el síndrome de Noonan, el síndrome de Klippel-Trenaunay y el síndrome de Down1. Recientemente, se han reportado mutaciones de activación somática en el gen (PIK3CA) fosfatidilinositol-4,5-bisfosfato alfa subunidad catalítica 3-quinasa (PIK3CA) en muchos pacientes con malformaciones linfáticas en las células endoteliales que revisten los vasos linfáticos con malformación1.
Las malformaciones linfáticas microquísticas cutáneas se producen al nacer o durante la infancia o la infancia temprana. Se presentan como clústeres que van de vesículas translúcidas a pápulas de color carne y que pueden derivar a color púrpura o negro en presencia de sangrado. La superficie de las lesiones puede exhibir hiperqueratosis verrugosa. Dichas lesiones se encuentran comúnmente en las nalgas, región inguinal, pliegues axilares, extremidades proximales y cavidad oral. Las complicaciones más comunes son supuración, sangrado, dolor, hinchazón e infección secundaria3.
La dermatoscopia muestra la presencia de un patrón lagunar/sacular. Las lesiones que contienen líquido claro muestran dermatoscópicamente lagunas de color claro rodeadas de septos pálidos. Las diferentes cantidades de sangre dentro de dichas lagunas son causantes de áreas rojizas focales, coloración rosa difusa, estructuras lagunares rojizas/violáceas/azuladas y/o características de tipo hipopión4.
La histopatología se caracteriza por acantosis y papilomatosis epidérmica con numerosos canales linfáticos dilatados en la dermis superior, que a menudo pueden extenderse a la dermis inferior, e incluso al tejido subcutáneo. El marcador endotelial linfático podoplanina D2-40 destaca los canales. Los marcadores más fiables para el endotelio linfático están relacionados con prospero homeobox-1 (Prox-1), el receptor 1 de hialuronano endotelial de los vasos linfáticos (LYVE-1), y el receptor 3 del factor de crecimiento endotelial vascular (VEGFR3), aunque raramente se dispone de ellos5.
El tratamiento de las malformaciones linfáticas microquísticas es difícil, debido a la infiltración de tejido blando por parte de canales microlinfáticos que no pueden visualizarse bien mediante las modalidades de imagen actuales. Aunque no existen guías de práctica clínica para el manejo de estas malformaciones, la extirpación quirúrgica se considera a menudo la terapia de primera línea, habiéndose reportado que cura el 75% de los linfangiomas cutáneos. Pueden elegirse otras modalidades terapéuticas sobre la base de la localización, extensión y síntomas, tales como escleroterapia, ablación por radiofrecuencia, láser de dióxido de carbono, láser Nd-YAG de pulso largo, láser pulsado con colorante, cauterización y crioterapia, con resultados variables. Por último, el sirólimus —un potente inhibidor de mTOR— es realmente prometedor para el tratamiento de las malformaciones linfáticas2,3,6.
Consentimiento informadoLa paciente a la que hace referencia este documento ha otorgado su consentimiento informado escrito para la publicación de los detalles de su caso.
FinanciaciónEste estudio no ha recibido ninguna ayuda específica procedente de entidades de los sectores público, comercial o sin ánimo de lucro.
Conflicto de interesesLos autores no tienen conflictos de intereses que declarar.
Disponibilidad de los datosEl intercambio de datos no es aplicable a este artículo, ya que no existe creación ni análisis de datos nuevos en este estudio.
Queremos agradecer a la paciente su otorgamiento de consentimiento escrito para el uso de fotografías clínicas.
Agradecemos a Rodrigo Carvalho, MD, del Departamento de Dermatología del Centro Hospitalar Lisboa Central, la evaluación inicial y la realización de la biopsia cutánea de la paciente.
Agradecemos a André Pinto, MD del Servicio de Cirugía Reconstructiva y Plástica del Centro Hopitalar Lisboa Norte, la extirpación quirúrgica de la lesión.
Agradecemos a Katarína Kieselová, MD, del Departamento de Dermatología del Centro Hospitalar Garcia de Orta, la aportación de las imágenes dermatoscópicas.





