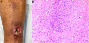
Un varón de 58 años acude a consulta con úlceras dolorosas de dos meses de evolución en la pierna izquierda, desarrolladas tras un traumatismo menor. En el examen físico se evidencian dos úlceras bien definidas, de 1 y 3 cm de diámetro, con bordes elevados de color rojo violáceo (fig. 1a). La biopsia de la úlcera reveló un incremento en el número de capilares de paredes gruesas agrupados en todo el espesor de la dermis, con células endoteliales prominentes, eritrocitos extravasados e intersticio con depósitos de hemosiderina (fig. 1b). La tinción para herpesvirus 8 humano fue negativa. La ecografía Doppler venosa demostró incompetencia de la unión safeno femoral y de la vena poplítea en la extremidad inferior izquierda. Finalmente, se diagnosticó acroangiodermatitis de Mali. Se realizó un tratamiento local de la herida y se remitió al paciente a cirugía vascular.
La acroangiodermatitis de Mali, también conocida como pseudosarcoma de Kaposi, es una afección cutánea poco frecuente, asociada a un proceso inflamatorio crónico que implica una proliferación reactiva de capilares y fibrosis dérmica por hipoxia tisular crónica. Las lesiones suelen aparecer como máculas, pápulas o placas circunscritas de color rojo violáceo que pueden evolucionar a úlceras dolorosas. En la mayoría de los casos, se ha vinculado con insuficiencia venosa y el tratamiento se basa en la corrección de la patología vascular subyacente. La acroangiodermatitis de Mali es una causa inusual de úlcera dolorosa persistente que el dermatólogo debe considerar para el diagnóstico.



