Dermatofibrosarcoma protuberans (DFSP) is a rare tumor that affects the head in 10–15% of cases. Head DFSP is often associated with more complex surgery and a higher rate of local recurrence.
ObjectiveTo compare the clinical, histopathologic, and surgical characteristics of head DFSP vs body DFSP in order to identify potential risk factors.
MethodsRetrospective study.
ResultsOf 235 DFSP, 32 (13.6%) were located on the head. Histologically, 71.0% of head DFSP vs 7.4% of body DFSP were purely subcutaneous with no dermal involvement (P<.001). Tumor infiltration of the superficial muscle and/or periosteum was observed in 81.4% of head tumors vs 18.7% of body tumors (P<.001). Focal muscle involvement was present in 90.0% of facial DFSP, and periosteal involvement was present in 50.0% of scalp DFSP. Two or more stages of modified Mohs surgery were required in 71.0% of head DFSP vs 35.9% of body DFSP (P=.002). After a mean follow-up of 6.7 years, recurrences were significantly more common in head DFSP (3/32, 9.4% vs 3/203, 1.5%; P=.035). Head tumors recurred significantly later than body tumors (mean, 7.2 vs 1.5 years; P<.001).
LimitationsRetrospective design.
ConclusionsHead DFSP is typically subcutaneous and often focally infiltrates the superficial muscle in facial lesions and the periosteum in scalp lesions. Longer follow-up for head DFSP is advisable.
Dermatofibrosarcoma protuberans (DFSP) is a rare, slow-growing cutaneous sarcoma that accounts for 0.1% of all malignancies.1 DFSP typically occurs on the trunk and the proximal extremities, with only 10–15% of cases arising on the head.2 No significant differences in clinicopathologic features have been reported between head DFSP and tumors located elsewhere on the body,3 although head DFSP is occasionally located deeper in the subcutaneous tissue and often infiltrates deep structures such as muscle and periosteum.4,5
Head DFSP is associated with a higher recurrence rate and more complex surgery,6,7 possibly because of the difficulty in obtaining adequate surgical margins while preserving functional and aesthetic outcomes.3,8 The recommended treatment for DFSP is Mohs surgery (MS), especially for tumors located on the head.9–11 Wide local excision (WLE) with 2- to 3-cm margins12–15 may be an acceptable alternative, but this approach can result in significant facial disfigurement in head DFSP and does not ensure complete clearance because of the characteristic asymmetric growth pattern of these tumors. The use of MS for DFSP has significantly reduced local recurrence rates, with some studies reporting rates as low as 0–1.5%.11,16,17 However, higher recurrence rates (2.4–10%) are still reported for head DFSP.10,15
Currently, studies comparing the clinicopathologic and therapeutic characteristics of DFSP located on the head with those of DFSP on the body are lacking. The aim of this study was to review 235 DFSP treated at our hospital between 2006 and 2023 and to compare the clinical, histopathologic, and surgical aspects of tumors located on the head vs elsewhere on the body in order to identify potential prognostic factors associated with local recurrence in head DFSP. We analyzed facial and scalp DFSP separately because we believe that tumors in these locations do not share the same anatomic characteristics or the same surgical and cosmetic complexity as those in the supraclavicular region.
Patients and methodsWe conducted a retrospective observational study of all patients with DFSP treated at the Department of Dermatology of the Fundación Instituto Valenciano de Oncología (FIVO), Valencia, Spain, between 2006 and 2023. We collected data on 284 patients registered in the hospital DFSP database, including both primary and recurrent tumors. Informed consent was obtained from all patients according to current regulations. The study was approved by the local research ethics committee (CEIm FIVO No. 2024-07).
All available hematoxylin–eosin-stained slides were reviewed by three authors (V.T., A.B., and B.L.). Cases with sufficient histopathologic material – defined as at least three hematoxylin–eosin-stained slides (range, 3–16) showing epidermis, dermis, and subcutaneous tissue on the same slide – were included. Review was blinded to tumor location. Disagreements were discussed until consensus was reached. The final sample comprised 235 DFSP. All tumors were immunostained with anti-CD34 antibody (1:50; BioGenex, San Ramon, California, USA).
Tumors were divided into two categories according to location: head DFSP (tumors located on the face and scalp) and body DFSP (tumors located elsewhere, including the neck). The forehead was considered part of the scalp because of anatomic similarities. The neck was included in the body category because precise anatomic boundaries are often not described, and some studies even include supraclavicular tumors in the head and neck category.18
We recorded demographic, clinical, and histopathologic variables, including age, sex, time from lesion detection by the patient to diagnosis, tumor type (primary vs recurrent), depth of invasion, predominant histologic pattern in the dermis, infiltrative growth pattern in the subcutaneous tissue,19 number of mitoses per 10 high-power fields (1 field=0.173mm2), and presence of fibrosarcomatous areas.20 Tumors were also classified as dermal (D-DFSP) or subcutaneous (SC-DFSP). The latter category included tumors located exclusively in the subcutaneous tissue or deeper, without evidence of dermal involvement in multiple step sections (3–16 per case), as described previously.4,21,22
Patients were treated using the modified Mohs surgery technique.9,20 Binary variables (head vs body DFSP) were used in the statistical analysis. Associations between histopathologic and clinical categorical variables were assessed using the Pearson chi-square test or Fisher's exact test, as appropriate. The independent-samples t test was used to compare quantitative variables between two categories. Analysis of variance (ANOVA) was used for quantitative variables with three or more categories. Recurrence-free survival was evaluated using the Kaplan–Meier method and the log-rank test. A value of P<.05 was considered statistically significant. All analyses were performed using SPSS version 23.0 (SPSS Inc, Chicago, Illinois).
ResultsOf the 235 DFSP analyzed, 32 tumors (13.6%) were located on the head and 203 tumors (86.4%) were located elsewhere on the body (134 [57.0%] on the trunk, 56 [23.8%] on the extremities, and 13 [5.6%] on the neck). Overall, 193 tumors (82.1%) were primary tumors (13 [6.7%] on the face, 14 [7.3%] on the scalp, and 166 [86.0%] elsewhere on the body), and 42 tumors (17.9%) were recurrent (3 [7.1%] on the face, 2 [4.8%] on the scalp, and 37 [88.1%] elsewhere on the body).
Clinically, head DFSP often presented as ill-defined indurated tumoral plaques (13/32, 40.6%) or as subcutaneous nodules (6/32, 18.8%) without surface skin changes or alopecia, thereby mimicking lipomas or cysts (Fig. 1). In contrast, body DFSP more frequently showed the classic appearance of a plaque with protuberant nodules (98/203, 48.3%; P<.001). No significant differences in age, sex, or tumor size were observed between head and body DFSP (Table 1). Mean time to diagnosis was 132.7 months and was shorter for head DFSP than for body DFSP (104.1 vs 137.3 months, respectively; P=.047).
Characteristics of 235 DFSP overall and by location (head vs body).
| Number of DFSP, no. (%) | Total | Head | Body | ||||
|---|---|---|---|---|---|---|---|
| 235 (100%) | 32 (13.6%) | 203 (86.4) | |||||
| Total, mean | SD | Head, mean | SD | Body, mean | SD | P value | |
| Characteristic | |||||||
| Age, y | 42.9 | 13.6 | 45.4 | 14.1 | 42.4 | 13.5 | .25 |
| Diameter, cm | 4.7 | 2.7 | 5.3 | 2.3 | 4.7 | 2.8 | .12 |
| MMS stages | 1.5 | 0.7 | 2.03 | 0.9 | 1.43 | 0.6 | <.001 |
| Mitotic rate, per 10 HPF | 2.04 | 6.8 | 2.69 | 4.7 | 1.9 | 6.8 | .5 |
| Time to diagnosis, monthsa | 132.7 | 123.3 | 104.1 | 121.1 | 137.3 | 123.3 | .047 |
| Follow-up, months | 79.8 | 59.7 | 87.5 | 74.9 | 78.6 | 57.0 | .5 |
| Characteristic | Total N | Total % | Head N | Head % | Body N | Body % | P value |
|---|---|---|---|---|---|---|---|
| Sex | .06 | ||||||
| Male | 110 | 46.8 | 20 | 62.5 | 90 | 44.3 | |
| Female | 125 | 53.2 | 12 | 37.5 | 113 | 55.7 | |
| Clinical aspect | <.001 | ||||||
| Ill-defined plaque | 71 | 30.2 | 13 | 40.6 | 58 | 28.6 | |
| Subcutaneous nodule | 13 | 5.5 | 6 | 18.8 | 7 | 3.4 | |
| Scar | 49 | 20.9 | 9 | 28.1 | 40 | 19.7 | |
| Protuberant tumor(s) | 102 | 43.4 | 4 | 12.5 | 98 | 48.3 | |
| Tumor type | .39 | ||||||
| Primary | 193 | 82.1 | 28 | 87.5 | 165 | 81.3 | |
| Recurrent | 42 | 17.8 | 4 | 12.5 | 38 | 18.7 | |
| Fibrosarcomatous areas present | .6 | ||||||
| Yes | 38 | 16.2 | 6 | 18.8 | 32 | 15.8 | |
| No | 197 | 83.8 | 26 | 81.2 | 171 | 84.2 | |
| Subtype | <.001 | ||||||
| Dermal | 197 | 83.8 | 9 | 28.1 | 188 | 92.6 | |
| Subcutaneous | 38 | 16.2 | 23 | 71.9 | 15 | 7.4 | |
| Infiltrating pattern | .005 | ||||||
| Honeycomb | 131 | 55.7 | 13 | 40.6 | 118 | 58.1 | |
| Digitiform | 40 | 17.0 | 5 | 15.6 | 35 | 17.2 | |
| Parallel bands | 26 | 11.1 | 2 | 6.3 | 24 | 11.8 | |
| Compressive | 38 | 16.2 | 12 | 37.5 | 26 | 12.8 | |
| Depth of invasion | <.001 | ||||||
| Subcutaneous tissue | 141 | 60.0 | 5 | 15.6 | 136 | 67.0 | |
| Fascia | 30 | 12.8 | 1 | 3.1 | 29 | 14.3 | |
| Superficial muscle | 52 | 22.1 | 15 | 46.9 | 37 | 18.2 | |
| Periosteum | 12 | 5.1 | 11 | 34.4 | 1 | 0.5 | |
| MMS stages | .002 | ||||||
| 1 | 136 | 59.4 | 9 | 29.0 | 127 | 64.1 | |
| ≥2 | 93 | 40.6 | 22 | 71.0 | 71 | 35.9 | |
| Closure technique | <.001 | ||||||
| Direct suture | 162 | 68.9 | 8 | 25.0 | 154 | 75.9 | |
| Graft | 53 | 22.6 | 18 | 56.3 | 35 | 17.2 | |
| Local flap | 11 | 4.7 | 6 | 18.7 | 5 | 2.5 | |
| Secondary intention | 5 | 2.1 | 0 | 0 | 5 | 2.5 | |
| Unspecified | 4 | 1.7 | 0 | 0 | 4 | 1.9 | |
| Recurrence in our series | 6 | 2.5 | 3 | 9.4 | 3 | 1.5 | .035 |
DFSP, dermatofibrosarcoma protuberans; HPF, high-power fields; IQR, interquartile range; MMS, modified Mohs surgery.
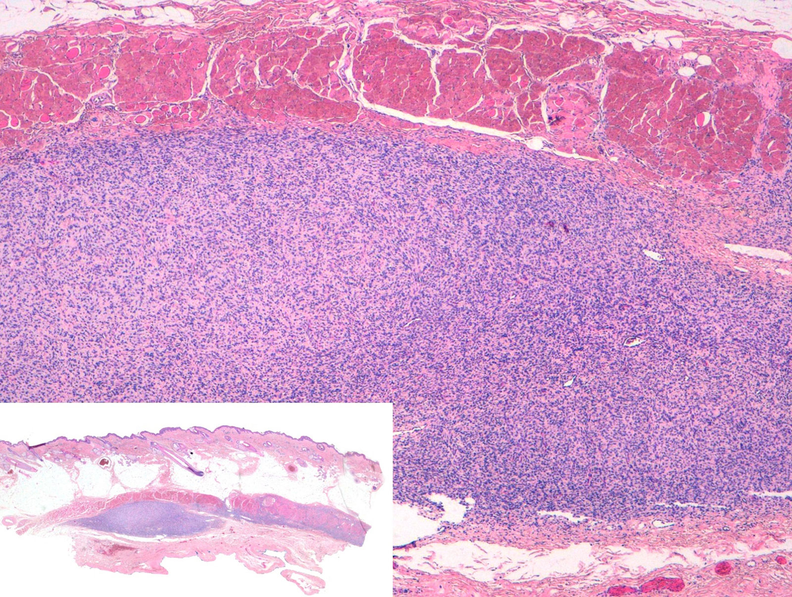
Histologically, all lesions showed a moderate proliferation of spindle cells with mild pleomorphism and CD34 positivity. No differences in CD34 staining pattern or intensity were observed according to tumor location. Most tumors showed storiform and cartwheel patterns (204/235, 86.8%). The compressive pattern of subcutaneous tissue infiltration was more common in head DFSP than in body DFSP (12/32, 37.5% vs 26/203, 12.8%; P=.005). No association was found between histologic subtypes previously described in the literature and tumor location. SC-DFSP was significantly more common on the head than elsewhere on the body (23/32, 71.9% vs 15/203, 7.4%; P<.001) (Figs. 2 and 3). Among head DFSP, time to diagnosis was shorter for SC-DFSP than for D-DFSP (68.3 vs 195.4 months; P=.005) (Table 2). Head DFSP also showed a greater tendency to invade deep structures, with focal infiltration of muscle or periosteum more frequently than body DFSP (26/32, 81.3% vs 38/203, 18.7%; P<.001) (Fig. 4).
Clinical and histopathologic features of 32 head DFSP.
| Head DFSP | |||||
|---|---|---|---|---|---|
| Subcutaneous | Dermal | ||||
| Mean | SD | Mean | SD | P value | |
| Time to diagnosisa (months) | 68.3 | 66.9 | 195.4 | 177.4 | .005 |
| Diameter (cm) | 5.4 | 2.4 | 4.9 | 2.3 | .7 |
| Head DFSP | |||||
|---|---|---|---|---|---|
| Subcutaneous | Dermal | ||||
| N | % | N | % | P value | |
| Depth of invasion | .4 | ||||
| Subcutaneous tissue | 3 | 13.0 | 2 | 22.2 | |
| Fascia | 0 | 0 | 1 | 11.1 | |
| Superficial muscle | 12 | 52.2 | 3 | 33.3 | |
| Periosteum | 8 | 34.8 | 3 | 33.3 | |
| MMS stages | .6 | ||||
| 1 | 7 | 30.4 | 2 | 22.2 | |
| ≥2 | 16 | 69.6 | 7 | 77.8 | |
| Face | Scalp and forehead | ||||
|---|---|---|---|---|---|
| N | % | N | % | P value | |
| Subtype | .3 | ||||
| Dermal | 4 | 40.0 | 5 | 22.7 | |
| Subcutaneous | 6 | 60.0 | 17 | 77.3 | |
| Depth of invasion | .009 | ||||
| Subcutaneous tissue | 1 | 10.0 | 4 | 18.2 | |
| Fascia | 0 | 0 | 1 | 4.5 | |
| Superficial muscle | 9 | 90.0 | 6 | 27.3 | |
| Periosteum | 0 | 0 | 11 | 50.0 | |
| MMS stages | .7 | ||||
| 1 | 2 | 20.0 | 7 | 31.8 | |
| ≥2 | 8 | 80.0 | 15 | 68.2 | |
DFSP, dermatofibrosarcoma protuberans; MMS, modified Mohs surgery.
Focal muscle infiltration, involving superficial muscle fibers immediately beneath the fascia, was observed in 9 of 10 facial DFSP (90.0%). However, none of the facial DFSP infiltrated the periosteum. In scalp DFSP, tumor extension reached the periosteum in 11 of 22 cases (50.0%; P=.009). No bone involvement was found in any of the 235 tumors. The fibrosarcomatous subtype was present in 38 of 235 tumors (16.2%), with no difference according to tumor location.
Modified Mohs surgery (MMS) was performed in 229 tumors (97.5%) (31/32 [96.9%] of head DFSP and 198/203 [97.5%] of body DFSP). Two or more MMS stages were required to achieve clear margins in 22 of 31 head DFSP (71.0%; mean, 2.03) compared with 71 of 198 body DFSP (35.9%; mean, 1.43) (P=.002). Surgical defects in body DFSP were repaired by direct suture in 154 cases (75.9%), whereas head DFSP required a skin graft in 18 cases (56.3%) and a local flap in 6 cases (18.7%) (P<.001) (Table 1).
Ten patients (4.3%) received imatinib as neoadjuvant therapy because the tumors were considered unresectable. Of these, 7 of 10 tumors (70.0%) were located on the head. None of the 10 patients achieved a complete response with imatinib, but all subsequently became candidates for MMS and achieved tumor clearance (mean, 2.8 stages; range, 1–8). None of the patients in our series received radiotherapy.
In our series, 6 of 235 local recurrences (2.5%) were detected at a mean of 52.7 months (range, 6–156 months). Recurrences were significantly more common in head DFSP than in body DFSP (3/32, 9.4% vs 3/203, 1.5%; P=.035) and also occurred later in head DFSP than in body DFSP (87.3 vs 18 months; P<.001). All recurrent tumors had additional high-risk features (3/6 [50.0%] were previously recurrent, 3/6 [50.0%] were fibrosarcomatous, and 3/6 [50.0%] had received imatinib) (Table 3).
Recurrent DFSP in our series and associated high-risk factors.
| Age (y) | Sex | Type | Location | Diameter(cm) | Subtype | Depth of invasion | FS areas | Previous imatinib | Previous MMS stages | Recurrence(months) | Follow-up after treating recurrence(months) | |
|---|---|---|---|---|---|---|---|---|---|---|---|---|
| 1 | 48 | M | Primary | Neck | 2.5 | D-DFSP | Muscle | Yes | No | 3 | 25 | 149 |
| 2 | 42 | F | Primary | Shoulder | 6 | D-DFSP | Periosteum | Yes | Yes | 2 | 23 | 174 |
| 3 | 53 | F | Recurrent | Hand | 5 | D-DFSP | Subcutis | No | Yes | 2 | 6 | 71 |
| 4 | 45 | M | Recurrent | Cheek | 3 | SC-DFSP | Muscle | Yes | No | 2 | 40 | 22 |
| 5 | 50 | F | Recurrent | Forehead | 7 | SC-DFSP | Periosteum | No | Yes | 2 | 66 | 139 |
| 6 | 33 | M | Primary | Cheek | 6.5 | D-DFSP | Muscle | No | No | 4 | 156 | 69 |
D-DFSP, dermal dermatofibrosarcoma protuberans; FS, fibrosarcomatous; SC-DFSP, subcutaneous dermatofibrosarcoma protuberans.
Furthermore, recurrence rates associated with specific risk factors were evaluated. Fibrosarcomatous transformation was associated with a recurrence rate of 7.9% (3/38) compared with 1.5% (3/197) for non-fibrosarcomatous tumors. Previously recurrent tumors showed a recurrence rate of 7.1% (3/42) compared with 1.6% (3/193) for primary tumors. Among imatinib-treated patients, the recurrence rate was 30.0% (3/10) compared with 1.3% (3/225) in untreated patients. Regarding depth of invasion, the recurrence rate was 7.8% (5/64) when the tumor invaded muscle or periosteum and 0.7% (1/141) when the tumor was confined to the subcutis.
Recurrences were treated again with MMS, and all patients remain disease-free after a median follow-up of 75 months (IQR, 22–122 months). Recently, 22 years after excision of a primary subcutaneous scalp DFSP, one patient was found to have lung metastases without fibrosarcomatous transformation and with no current clinical or histologic evidence of local recurrence. The patient was treated with imatinib.
DiscussionHead DFSP is rare and challenging to treat. To our knowledge, this is the only single-center series comparing the clinical, histopathologic, and surgical aspects of head DFSP with those of DFSP located elsewhere on the body.
DFSP typically occurs in middle-aged adults with an equal sex distribution, although a slight male predominance in head DFSP was noted in our series, similar to previous reports.3,6
Interestingly, in our series, head DFSP was frequently purely subcutaneous, whereas this subtype was uncommon in body DFSP. Previous studies describing SC-DFSP are limited. In 1998, Díaz-Cascajo et al.21 reported 3 cases of SC-DFSP. Subsequently, several case reports and small series described this subtype.22,23 In a previous series of 18 cases published in 2017, our group reported that SC-DFSP was predominantly located on the head.4 In addition, tumors on the head were significantly more likely to focally invade muscle or periosteum, although there were no significant differences in tumor size or high-risk histopathologic features (fibrosarcomatous areas or mitotic rate). We believe this trend may partly explain why head tumors require more complex procedures and more Mohs stages to achieve deep clearance. Therefore, we believe that deep biopsies are essential when DFSP is suspected on the head.
Recently, Gassenmaier et al.5 reported that tumors located on the head or neck were independently associated with fascial infiltration, and only 14% of tumors in this region had a completely suprafascial location. The authors hypothesized that the thinner subcutaneous tissue of the head and neck may facilitate invasion of deeper structures such as muscle and periosteum. In contrast, we hypothesize that these tumors may initially arise in the subcutaneous tissue or deeper layers and subsequently spread to the dermis. In fact, only 29% of head DFSP in our series had dermal involvement. We also observed that head D-DFSP had a longer time to diagnosis than head SC-DFSP, which supports our hypothesis.
The recommended treatment for DFSP is MS or, alternatively, WLE with margins of at least 2cm.11,24 However, many authors recommend MS for DFSP located in cosmetically sensitive areas such as the head.11,13,14,16,25–27 Currently, no standard surgical approach has been established regarding the depth of excision in DFSP. European clinical practice guidelines recommend excision of the fascia in the first stage of MS regardless of tumor location,24 whereas NCCN, German, and Spanish guidelines do not specify the recommended depth of excision.27–29
In our series, head DFSP required more MMS stages than body DFSP, in agreement with previous reports,9,30 probably because of their deeper location. We observed that 90.0% of facial tumors focally invaded the superficial muscle immediately beneath the fascia. Therefore, we recommend including the fascia in the first stage of MS for facial DFSP. In scalp DFSP, 50.0% of tumors showed periosteal involvement. Loss et al.7 recommended always excising the periosteum. However, the periosteum is rich in pluripotent mesenchymal cells that play an important role in wound healing and may act as a barrier to tumor spread.31,32 Therefore, we suggest excision down to, but not including, the periosteum during the first Mohs stage for scalp tumors. By contrast, when only WLE is available, excision of the periosteum should be considered. Regarding body DFSP, only 33% infiltrated the fascia or deeper structures. Therefore, we propose preserving the fascia in the first stage of MS for body DFSP. Intracranial extension of DFSP has been reported in recurrent tumors after removal of the underlying bone.33,34 Because none of the 235 tumors in our series invaded bone, we advise against bone excision.
MS results in smaller surgical defects and generally facilitates closure vs conventional WLE.9,15,16 More complex reconstructive techniques, however, are often required to optimize functional and cosmetic outcomes in tumors located on the head. In our series, 75% of head tumors required a graft or local flap, whereas 75.9% of body tumors were closed by direct suture. At our institution, grafts are preferred to flaps for reconstruction of head defects because they preserve function, facilitate follow-up, and allow earlier detection of local recurrences, which are relatively common in this setting.
Recurrence has been reported more frequently in head and neck tumors, even after MS. In a series of 82 DFSP treated with MS, Lowe et al.15 reported a recurrence rate of 10% for head and neck tumors, similar to the rate observed in our series (9.4%). Tom et al.30 reported 9 cases and Verbruggen et al.35 reported 20 cases, with no recurrences in either series. However, follow-up in these studies was 3.9 and 3.1 years, respectively. Gonzalez et al.10 reported a larger series of 41 cases, with 1 recurrence (2.4%) and a mean follow-up of 7.7 years. In general, 75% of recurrences occur within 3 years after surgery,36 but tumors have been reported to recur as late as 20 years after treatment. In our series, similar to a previous report by Dai et al.,6 head DFSP recurred significantly later than body DFSP (mean, 7.2 vs 1.5 years). Although the recommended minimum follow-up for DFSP is 5 years,37 we recommend extending follow-up for head DFSP to at least 10 years.
The risk of metastasis in DFSP is low compared with that in other cutaneous tumors. Metastases are more common in head DFSP and usually occur after cumulative recurrences and fibrosarcomatous transformation.38 However, we identified a surprisingly late metastasis 22 years after excision of a primary scalp DFSP without other risk factors and without local recurrence. This observation reinforces the importance of prolonged follow-up in head DFSP.
The main limitation of this study is its retrospective design. In addition, the relatively small number of head DFSP and recurrences in our series did not allow multivariable analysis or strong conclusions regarding associated risk factors. Further studies with larger series and longer follow-up are needed to validate our findings.
ConclusionsDermatologic surgeons should be aware of the distinct characteristics of head DFSP when planning surgery. Head DFSP is typically confined to the subcutaneous tissue and often focally infiltrates the superficial muscle in facial lesions and the periosteum in scalp lesions. Longer follow-up is recommended for head DFSP.
Conflict of interestThe authors declare no conflict of interest.










